• Thực phẩm chức năng

  • Dược mỹ phẩm

  • Thuốc

  • Chăm sóc cá nhân

  • Thiết bị y tế

  • Tiêm chủng

  • Bệnh & Góc sức khỏe

  • Hệ thống nhà thuốc

    1. /
    2. Góc sức khỏe/
    3. Phòng bệnh & Sống khoẻ/
    4. Kiến thức y khoa

    Ký sinh trùng sốt rét là gì? Chu kỳ sống của ký sinh trùng sốt rét

    Bảo Yến

    27/11/2025

    Kích thước chữ

    Ký sinh trùng sốt rét là tác nhân chính gây nên căn bệnh nguy hiểm này, ảnh hưởng đến hàng triệu người mỗi năm. Bài viết sẽ cung cấp cái nhìn toàn diện về đặc điểm sinh học, cơ chế lây truyền và những tiến bộ trong chẩn đoán, điều trị sốt rét hiện nay.

    Ký sinh trùng sốt rét là nguyên nhân gây ra hàng triệu ca nhiễm mỗi năm, đặc biệt tại các vùng nhiệt đới. Loài sinh vật đơn bào này xâm nhập vào máu, phá huỷ hồng cầu và dẫn đến các triệu chứng nghiêm trọng như sốt cao, ớn lạnh, thiếu máu và có thể gây tử vong nếu không điều trị kịp thời.

    Ký sinh trùng sốt rét là gì? Cơ chế gây bệnh của ký sinh trùng sốt rét

    Ký sinh trùng sốt rét là loài sinh vật đơn bào thuộc chi Plasmodium, gây ra bệnh sốt rét ở người thông qua vết đốt của muỗi Anopheles cái. Có năm loài Plasmodium có khả năng gây bệnh ở người, phổ biến nhất là P. falciparum, P. vivax, P. ovale, P. malariae và P. knowlesi. Trong đó, P. falciparum là loài nguy hiểm nhất, có thể gây sốt rét ác tính và tử vong nếu không được điều trị kịp thời.

    Ký sinh trùng sốt rét là loài sinh vật đơn bào thuộc chi Plasmodium
    Ký sinh trùng sốt rét là loài sinh vật đơn bào thuộc chi Plasmodium

    Sau khi muỗi nhiễm bệnh đốt người, ký sinh trùng dạng bào tử (sporozoite) được truyền vào máu và nhanh chóng di chuyển đến gan. Tại đây, chúng xâm nhập vào tế bào gan và phát triển thành thể phân liệt (schizont), sau đó vỡ ra và giải phóng ký sinh trùng dạng thể hoa cúc (merozoite) vào máu. Giai đoạn này đánh dấu sự khởi đầu của chu kỳ hồng cầu - giai đoạn gây ra các triệu chứng lâm sàng của bệnh sốt rét.

    Trong máu, các merozoite xâm nhập vào hồng cầu, phát triển theo các giai đoạn vòng đời (vòng dinh dưỡng, phân chia và giải phóng), gây phá huỷ hồng cầu và giải phóng độc tố vào máu. Chính quá trình phá huỷ hồng cầu hàng loạt là nguyên nhân gây sốt định kỳ, thiếu máu và các biến chứng nghiêm trọng khác. Một số ký sinh trùng phát triển thành giao bào (gametocyte), khi muỗi hút máu người bệnh sẽ tiếp tục chu trình lây nhiễm sang cá thể khác.

    Các loài ký sinh trùng sốt rét thường gặp ở người

    Các loài ký sinh trùng sốt rét thường gặp ở người bao gồm năm loài chính thuộc chi Plasmodium, mỗi loài có đặc điểm sinh học và mức độ gây bệnh khác nhau:

    • Plasmodium falciparum: P. falciparum là loài ký sinh trùng sốt rét nguy hiểm nhất, phổ biến chủ yếu tại khu vực cận Sahara châu Phi. Loài này gây ra dạng sốt rét ác tính với tốc độ nhân lên nhanh trong máu, dễ dẫn đến các biến chứng nặng như hôn mê, suy thận, suy hô hấp và tử vong nếu không được điều trị kịp thời. Đây là nguyên nhân hàng đầu gây tử vong do sốt rét trên toàn cầu.
    • Plasmodium vivax: Loài P. vivax thường gặp ở châu Á, châu Mỹ Latin và một số vùng châu Đại Dương. Đặc điểm nổi bật là khả năng tạo dạng ngủ (hypnozoite) trong gan, gây tái phát bệnh sau nhiều tháng hoặc thậm chí vài năm. Mặc dù ít gây tử vong hơn P. falciparum, nhưng P. vivax ảnh hưởng lớn đến sức khỏe cộng đồng do số ca mắc và tỷ lệ tái phát cao.
    • Plasmodium ovale: P. ovale chủ yếu lưu hành ở châu Phi vùng hạ Sahara và một số khu vực ở Đông Nam Á. Giống như P. vivax, loài này cũng có thể tồn tại dưới dạng hypnozoite trong gan, gây tái phát bệnh. Các biểu hiện lâm sàng thường nhẹ hơn, tuy nhiên việc chẩn đoán chính xác vẫn cần thiết để ngăn ngừa tái phát và lây truyền.
    • Plasmodium malariae: P. malariae ít phổ biến hơn và phân bố rải rác trên toàn thế giới. Loài này thường gây sốt rét thể nhẹ, nhưng có thể tồn tại dai dẳng trong máu nhiều năm mà không gây triệu chứng rõ ràng. Một biến chứng hiếm nhưng nghiêm trọng của P. malariae là viêm cầu thận mạn tính, có thể dẫn đến suy thận.
    • Plasmodium knowlesi: Ban đầu được cho là chỉ gây bệnh ở khỉ, P. knowlesi hiện được ghi nhận có thể lây sang người, đặc biệt tại các quốc gia Đông Nam Á như Malaysia, Indonesia và Philippines. Loài này có chu kỳ phát triển trong hồng cầu ngắn (khoảng 24 giờ), khiến bệnh tiến triển nhanh và có thể gây tử vong. Việc chẩn đoán bằng kính hiển vi dễ nhầm với P. malariae, nên cần xét nghiệm phân tử để xác định chính xác.
    P. falciparum là loài ký sinh trùng sốt rét nguy hiểm nhất
    P. falciparum là loài ký sinh trùng sốt rét nguy hiểm nhất

    Chu kỳ sống của ký sinh trùng sốt rét

    Chu kỳ sống của ký sinh trùng sốt rét là một quá trình phức tạp, gồm hai giai đoạn chính: Giai đoạn trong muỗi truyền bệnh (Anopheles cái) và giai đoạn trong cơ thể người. Toàn bộ chu trình bao gồm ba pha: Giai đoạn gan (exoerythrocytic), giai đoạn máu (erythrocytic), và giai đoạn giao bào (gametocyte).

    • Giai đoạn gan: Sau khi muỗi nhiễm bệnh đốt người, ký sinh trùng dạng bào tử (sporozoite) được truyền vào máu và nhanh chóng di chuyển đến gan. Tại đây, chúng xâm nhập vào tế bào gan, phát triển và phân chia thành nhiều thể phân liệt (schizont). Mỗi schizont khi vỡ sẽ giải phóng hàng nghìn thể hoa cúc (merozoite) vào máu. Riêng P. vivax và P. ovale có thể tạo dạng ngủ trong gan gọi là hypnozoite, có khả năng tái hoạt động sau nhiều tháng hoặc năm.
    • Giai đoạn máu: Các merozoite xâm nhập vào hồng cầu, trải qua các giai đoạn phát triển: Thể non (ring stage) → thể tư dưỡng (trophozoite) → thể phân liệt (schizont). Sau đó, hồng cầu vỡ, giải phóng thêm merozoite vào máu để tiếp tục chu kỳ mới. Quá trình phá hủy hồng cầu này là nguyên nhân chính gây ra các triệu chứng như sốt, ớn lạnh, thiếu máu và mệt mỏi.
    • Giai đoạn giao bào: Một số merozoite không tiếp tục chu kỳ phân chia mà phát triển thành giao bào (gametocyte) - dạng sinh dục của ký sinh trùng. Khi muỗi hút máu người nhiễm bệnh, các giao bào này sẽ được hút vào và tiếp tục phát triển trong cơ thể muỗi.
    • Giai đoạn trong muỗi: Trong dạ dày muỗi, giao bào đực và cái kết hợp tạo thành hợp tử (zygote), sau đó phát triển thành trứng di động (ookinete), xuyên qua thành dạ dày và hình thành nang trứng (oocyst). Oocyst phát triển và vỡ ra, giải phóng hàng nghìn sporozoite di chuyển lên tuyến nước bọt, sẵn sàng truyền sang người khi muỗi đốt lần tiếp theo.

    Triệu chứng bệnh sốt rét thường gặp

    Bệnh sốt rét do ký sinh trùng Plasmodium gây ra thường khởi phát với những biểu hiện lâm sàng dễ nhầm lẫn với các bệnh nhiễm trùng khác. Tuy nhiên, có một số triệu chứng đặc trưng mà người bệnh cần lưu ý để được chẩn đoán và điều trị kịp thời. Dưới đây là các triệu chứng thường gặp trong bệnh sốt rét:

    Sốt theo chu kỳ

    Một trong những dấu hiệu điển hình nhất của sốt rét là các cơn sốt xuất hiện theo chu kỳ. Triệu chứng này bắt đầu với cảm giác lạnh run, sau đó người bệnh lên cơn sốt cao, rồi đổ mồ hôi nhiều. Chu kỳ thường lặp lại mỗi 48 giờ với P. vivax, P. ovale, và 72 giờ với P. malariae. Riêng P. falciparum có thể gây sốt không theo chu kỳ rõ ràng, làm triệu chứng kéo dài hoặc tái phát không đều.

    Một trong những dấu hiệu điển hình nhất của sốt rét là các cơn sốt xuất hiện theo chu kỳ
    Một trong những dấu hiệu điển hình nhất của sốt rét là các cơn sốt xuất hiện theo chu kỳ

    Rét run

    Rét run là phản ứng ban đầu của cơ thể trước khi bước vào cơn sốt. Giai đoạn này xảy ra do sự nhân lên và giải phóng ồ ạt của ký sinh trùng trong máu, khiến hệ miễn dịch kích hoạt mạnh mẽ. Cảm giác ớn lạnh kèm theo run rẩy toàn thân khiến người bệnh cảm thấy kiệt sức.

    Vã mồ hôi

    Khi cơn sốt giảm, cơ thể sẽ đổ mồ hôi nhiều để làm mát, dẫn đến mất nước nhanh chóng. Người bệnh có thể cảm thấy da ẩm, khô sau khi mồ hôi bốc hơi và thường có cảm giác khát nước kéo dài. Đây là giai đoạn kết thúc một chu kỳ sốt điển hình.

    Đau đầu và đau cơ

    Ký sinh trùng xâm nhập gan và hồng cầu gây viêm và phá hủy tế bào, làm phát sinh các cơn đau đầu âm ỉ hoặc dữ dội, kèm theo đau cơ, nhất là ở vùng lưng và chi dưới. Những triệu chứng này thường nặng hơn vào thời điểm ký sinh trùng phá hủy hồng cầu hàng loạt.

    Mệt mỏi toàn thân

    Người mắc sốt rét thường cảm thấy kiệt sức kéo dài, ăn kém, mất ngủ và suy giảm khả năng tập trung. Tình trạng buồn nôn, tiêu chảy nhẹ hoặc rối loạn tiêu hóa có thể đi kèm, làm tăng mức độ suy nhược.

    Vàng da

    Do sự phá hủy hồng cầu, nồng độ bilirubin trong máu tăng cao, gây nên hiện tượng vàng da và vàng mắt. Đây là dấu hiệu cảnh báo biến chứng gan hoặc rối loạn chuyển hóa. Trẻ em có thể biểu hiện nghiêm trọng hơn với các rối loạn thần kinh và chậm phát triển nếu không được điều trị kịp thời.

    Thiếu máu

    Thiếu máu là hậu quả trực tiếp của việc hồng cầu bị ký sinh trùng tiêu diệt. Biểu hiện thường thấy gồm da nhợt nhạt, tim đập nhanh, thở gấp và dễ mệt khi gắng sức. Trẻ nhỏ và phụ nữ mang thai là đối tượng dễ bị ảnh hưởng nghiêm trọng do thể tích máu thấp và nhu cầu dinh dưỡng cao.

    Thiếu máu là hậu quả trực tiếp của việc hồng cầu bị ký sinh trùng tiêu diệt
    Thiếu máu là hậu quả trực tiếp của việc hồng cầu bị ký sinh trùng tiêu diệt

    Cách xét nghiệm và chẩn đoán ký sinh trùng sốt rét

    Chẩn đoán bệnh sốt rét cần được thực hiện sớm và chính xác để đảm bảo hiệu quả điều trị, ngăn ngừa biến chứng và giảm lây lan trong cộng đồng. Việc xác định nhiễm ký sinh trùng sốt rét dựa trên lâm sàng là chưa đủ, vì vậy các kỹ thuật xét nghiệm đóng vai trò then chốt. Dưới đây là các phương pháp xét nghiệm và chẩn đoán thường dùng:

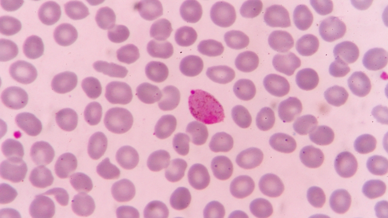
    Phết máu ngoại vi

    Phết máu ngoại vi là phương pháp truyền thống và phổ biến nhất. Bác sĩ sẽ lấy máu đầu ngón tay để làm hai loại phết máu:

    • Phết máu giọt mỏng giúp xác định loài Plasmodium và mức độ nhiễm.
    • Phết máu giọt dày có độ nhạy cao hơn, dùng để phát hiện ký sinh trùng khi mật độ thấp.

    Phương pháp này đòi hỏi kỹ thuật viên có kinh nghiệm và kính hiển vi đạt chuẩn, nhưng vẫn là “tiêu chuẩn vàng” trong chẩn đoán sốt rét ở nhiều quốc gia.

    Test chẩn đoán nhanh

    Đây là phương pháp tiện lợi, thường dùng tại vùng sâu vùng xa không có điều kiện làm xét nghiệm kính hiển vi. Test này sử dụng que thử chứa kháng thể phát hiện kháng nguyên đặc hiệu của ký sinh trùng sốt rét trong máu.

    • Ưu điểm: Nhanh (có kết quả sau 15 - 20 phút), dễ sử dụng.
    • Hạn chế: Không phân biệt được loài ký sinh trùng rõ ràng, độ nhạy giảm khi mật độ ký sinh trùng thấp hoặc đã điều trị trước đó.

    Xét nghiệm PCR

    PCR là kỹ thuật sinh học phân tử giúp phát hiện DNA của Plasmodium với độ nhạy và độ đặc hiệu rất cao.

    • Ưu điểm: Xác định chính xác loài ký sinh trùng, kể cả khi mật độ rất thấp.
    • Hạn chế: Chi phí cao, yêu cầu phòng xét nghiệm hiện đại và thời gian chờ kết quả lâu hơn.

    PCR thường được sử dụng trong nghiên cứu, các ca bệnh khó chẩn đoán, hoặc giám sát dịch tễ học.

    Xét nghiệm huyết thanh học

    Dùng để phát hiện kháng thể kháng Plasmodium, tuy nhiên không có giá trị chẩn đoán nhiễm cấp tính vì kháng thể có thể tồn tại lâu sau khi nhiễm. Do đó, phương pháp này chủ yếu dùng trong nghiên cứu dịch tễ hoặc sàng lọc cộng đồng.

    Xét nghiệm huyết thanh học chủ yếu dùng trong nghiên cứu dịch tễ hoặc sàng lọc cộng đồng
    Xét nghiệm huyết thanh học chủ yếu dùng trong nghiên cứu dịch tễ hoặc sàng lọc cộng đồng

    Việc hiểu rõ về ký sinh trùng sốt rét, cơ chế gây bệnh, các loài thường gặp, biểu hiện lâm sàng và phương pháp chẩn đoán là yếu tố then chốt trong công tác phòng ngừa và kiểm soát bệnh hiệu quả. Sự phối hợp chặt chẽ giữa kiến thức y học và ứng dụng lâm sàng sẽ góp phần giảm thiểu gánh nặng bệnh tật toàn cầu.

    Thông tin và sản phẩm gợi ý trong bài viết chỉ mang tính chất tham khảo, vui lòng liên hệ với Bác sĩ, Dược sĩ hoặc chuyên viên y tế để được tư vấn cụ thể. Xem thêm

    Dược sĩ Đại họcTrần Huỳnh Minh Nhật

    Đã kiểm duyệt nội dung

    Dược sĩ chuyên khoa Dược lý - Dược lâm sàng. Tốt nghiệp 2 trường đại học Mở và Y Dược TP. Hồ Chí Minh. Có kinh nghiệm nghiên cứu về lĩnh vực sức khỏe, đạt được nhiều giải thưởng khoa học. Hiện là Dược sĩ chuyên môn phụ trách xây dựng nội dung và triển khai dự án đào tạo - Hội đồng chuyên môn tại Nhà thuốc Long Châu.

    Xem thêm thông tin