Thảo Hiền
06/03/2024
Mặc định
Lớn hơn
Tắc ruột là một bệnh lý gây rất nhiều khó chịu và bất tiện cho người bệnh, các triệu chứng như buồn nôn, nôn ói, đau bụng, chướng bụng, đại tiện khó khăn,... Để chẩn đoán được bệnh lý này cần thực hiện xét nghiệm chụp X quang tắc ruột.
Chụp X quang tắc ruột là một xét nghiệm cận lâm sàng được thực hiện khá phổ biến ở nhiều cơ sở y tế, đây là một phương pháp hiệu quả trong chẩn đoán liên quan đến cấu trúc ruột với thời gian thực hiện nhanh chóng và không xâm lấn. Hãy cùng với Nhà thuốc Long Châu tìm hiểu rõ hơn về phương pháp chụp X quang tắc ruột nhé.
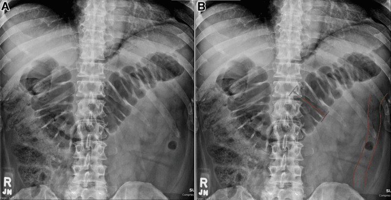
Chụp X quang tắc ruột là một phương pháp hình ảnh y học sử dụng tia X để tạo ra hình ảnh về tình trạng của ruột và các cấu trúc xung quanh. Quá trình này nhằm mục đích đánh giá các vấn đề liên quan đến hệ tiêu hóa, như tắc đường ruột, bóng hơi, hoặc các dạng khối u trong ruột.

Ứng dụng của chụp X quang tắc ruột trong y học nhằm mục đích như chẩn đoán tình trạng tắc ruột ở các bộ phận như ruột non (tiểu tràng) hoặc đại trực tràng. Hiển thị toàn bộ cấu trúc ruột để xem xét các bộ phần như quai ruột, trực tràng và các chi tiết khác.
Khi đã có kết quả chụp X quang cũng như cấu trúc của các bộ phận liên quan trong hệ tiêu hoá, từ đó đưa ra được các đánh giá y tế để bác sĩ phát hiện, chẩn đoán ra được một số vấn đề như viêm nhiễm, polyp, bất thường cấu trúc, tắc nghẽn hay các bệnh lý khác liên quan đến ruột
Chụp X quang tắc ruột thường được sử dụng như một phương pháp chẩn đoán sơ bộ và có thể kết hợp với các phương pháp hình ảnh khác hoặc kiểm tra lâm sàng để có cái nhìn toàn diện và chính xác về tình trạng của hệ tiêu hóa.
Triệu chứng của tắc ruột có thể biến động tùy thuộc vào loại tắc ruột và mức độ nghiêm trọng của tình trạng. Dưới đây là một số triệu chứng phổ biến của tắc ruột:

Do các tình trạng trên dẫn đến người bệnh có thể cảm thấy mệt mỏi, kiệt sức do khó chịu và đau đớn. Thêm vào đó, do tình trạng khó chịu của đường tiêu hoá, người bệnh thường cảm thấy khó ăn uống, bụng lúc nào cũng căng tức do đại tiện khó khăn hoặc tiêu chảy táo bón xen kẽ dẫn đến tình trạng sụt cân. Trong trường hợp tắc ruột nặng, có thể xuất hiện các dấu hiệu như giảm huyết áp, tim đập nhanh, hoặc sốt.
Bác sĩ có thể chỉ định các phương pháp chụp X quang khác nhau tùy thuộc vào loại và vị trí của tắc ruột. Cần kết hợp nhiều kỹ thuật chẩn đoán hình ảnh cùng với các xét nghiệm khác để có cái nhìn đầy đủ và chính xác về tình trạng của bệnh nhân.
Tắc ruột non đoạn gần:
Tắc ruột non đoạn giữa và xa:
Tắc đại trực tràng:
Tắc ruột thắt nghẹt:

Phương pháp chụp X quang tắc ruột thực hiện rất nhanh chóng, thời gian chụp và trả kết quả trong thời gian rất ngắn, thông thường là trong một buổi. Để thực hiện được xét nghiệm chụp X quang tắc ruột, quy trình mà bệnh nhân cần trải qua gồm có các bước như sau:
Thăm khám lâm sàng: Người bệnh được thăm khám để bác sĩ đánh giá các triệu chứng và xác định khả năng nghi ngờ về tắc ruột.
Hướng dẫn và tư vấn: Bác sĩ sẽ tư vấn về quy trình chụp X quang tắc ruột và giải thích lợi ích của nó. Người bệnh không cần nhịn ăn trước khi chụp X quang.
Chuẩn bị trang phục và tư thế: Người bệnh được hướng dẫn thay đổi trang phục để phù hợp với quy trình chụp, sẽ có yêu cầu tháo bỏ các vật thể như trang sức trên người. Nếu cần, người bệnh sẽ được đặt vào các tư thế khác nhau tùy thuộc vào mục đích chụp.
Chụp X quang: Quá trình chụp nhanh chóng, thường kéo dài từ 3 - 5 phút cho trường hợp không sử dụng thuốc cản quang. Đối với trường hợp có sử dụng thuốc cản quang, thời gian có thể kéo dài khoảng 15 phút.
Đợi kết quả: Người bệnh sẽ được hướng dẫn ngồi đợi kết quả sau khi hoàn thành chụp X quang. Thông thường, kết quả sẽ có trong vòng 1 - 2 tiếng sau khi chụp. Vì đây là kỹ thuật không xâm lấn, người bệnh có thể về nhà ngay sau khi nhận kết quả, không cần lưu viện hoặc nằm lại để theo dõi sau khi chụp.

Phương pháp chụp X quang tắc ruột là một trong những phương tiện chẩn đoán hiệu quả và thuận tiện, giúp bác sĩ đánh giá tình trạng của ruột và các cấu trúc xung quanh. Nếu người bệnh trải qua các triệu chứng nghi ngờ về tắc ruột như đau bụng, buồn nôn, ói, chướng bụng, việc đi thăm bác sĩ để được đánh giá và nhận chỉ định chụp X quang tắc ruột.
Xem thêm: Chụp X quang bụng không chuẩn bị và những điều bạn cần biết