Tốt nghiệp Khoa Dược trường Đại học Nam Cần Thơ. Có nhiều năm kinh nghiệm công tác trong lĩnh vực Dược phẩm. Hiện đang giảng viên cho Dược sĩ tại Nhà thuốc Long Châu.
Thanh Hương
11/10/2024
Mặc định
Lớn hơn
Một trong những chỉ số trong siêu âm thai được các bác sĩ quan tâm đặc biệt là chiều dài xương đùi (FL) của thai nhi. Vậy chiều dài xương đùi thai 36 tuần là bao nhiêu và có ý nghĩa gì?
Trong quá trình mang thai, việc theo dõi sự phát triển của thai nhi là vô cùng quan trọng. Việc xác định chiều dài xương đùi thai nhi ở tuần thứ 36 là một việc làm quan trọng trong để đánh giá sự phát triển bình thường của bé. Theo dõi chiều dài xương đùi giúp phát hiện sớm các vấn đề tiềm ẩn. Vậy chiều dài xương đùi thai 36 tuần là bao nhiêu và cần làm gì khi chỉ số này không đạt chuẩn?
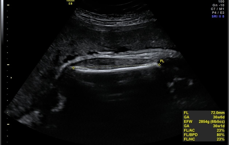
Chỉ số chiều dài xương đùi hay chỉ số FL trong siêu âm thai là một chỉ số quan trọng cần theo dõi trong quá trình phát triển của thai nhi. Đây là chỉ số đo lường chiều dài từ đầu trên đến đầu dưới của xương đùi - xương dài nhất trong cơ thể. Thông thường, việc đo chiều dài xương đùi được thực hiện qua siêu âm thai. Hình ảnh siêu âm sẽ cho biết thông tin chính xác về kích thước và tốc độ tăng trưởng của xương đùi thai nhi.
Việc theo dõi chỉ số này giúp bác sĩ và các bậc cha mẹ yên tâm sự phát triển của thai nhi tuần thứ 36. Khi kết hợp với các thông số khác như chu vi đầu và chiều dài đầu mông, chiều dài xương đùi giúp xác định kích thước chính xác của thai nhi. Trong trường hợp chiều dài xương đùi thai nhi phát triển không đúng chuẩn, bác sĩ sẽ tư vấn cho mẹ bầu điều chỉnh chế độ dinh dưỡng và chăm sóc nếu cần thiết.

Ngoài ra, việc đo chiều dài xương đùi còn giúp phát hiện các bất thường tiềm ẩn như: Thai nhi chậm phát triển trong tử cung, dị tật bẩm sinh thai nhi… Điều này giúp bác sĩ có các biện pháp can thiệp kịp thời, đảm bảo sự phát triển tốt nhất cho thai nhi và sức khỏe của mẹ bầu.
Khi siêu âm đánh giá kích thước phôi thai theo tuần, bác sĩ sẽ kết luận chiều dài xương đùi thai 36 tuần trong giới hạn bình thường khi chiều dài đo được dao động từ 6.8 cm đến 7.8 cm. Chiều dài xương đùi của mỗi em bé sẽ khác nhau và do nhiều yếu tố chi phối như di truyền, chế độ dinh dưỡng và tình trạng sức khỏe của mẹ bầu.
Các trường hợp đo được chiều dài xương đùi thai trong giai đoạn 36 tuần nhỏ hơn 6.8 cm hoặc lớn hơn 7.8 cm, bác sĩ có thể nghi ngờ đó là dấu hiệu bất thường và chỉ định thai phụ thực hiện thêm các xét nghiệm khác để có thể xác định chính xác tình trạng sức khỏe của thai nhi.

Chiều dài xương đùi thai nhi 36 tuần ngắn hơn đáng kể so với tiêu chuẩn có thể là dấu hiệu của một số vấn đề như:
Chiều dài xương đùi thai nhi 36 tuần dài hơn đáng kể so với tiêu chuẩn có thể là dấu hiệu của một số vấn đề như:

Trong các giai đoạn phát triển của thai nhi đều cần đo chiều dài xương đùi. Nếu chiều dài xương đùi thai 36 tuần không đạt chuẩn, mẹ bầu nên làm gì?
Việc đầu tiên mẹ bầu cần làm là tham khảo tư vấn của bác sĩ chuyên khoa. Bác sĩ sẽ căn cứ vào chiều dài xương đùi, cân nặng, chu vi vòng đầu, chỉ số nước ối và các xét nghiệm khác để đề xuất các giải pháp phù hợp.
Một số xét nghiệm có thể được chỉ định như: Siêu âm Doppler để đánh giá lưu lượng máu đến thai nhi. Xét nghiệm nước ối để kiểm tra các bất thường nhiễm sắc thể hoặc các bệnh lý di truyền của thai nhi. Xét nghiệm máu để kiểm tra lượng đường trong máu của mẹ nhằm đánh giá bệnh tiểu đường thai kỳ…
Mẹ bầu cần quan tâm hơn đến chế độ dinh dưỡng, tăng cường ăn các thực phẩm giàu canxi, protein, vitamin D và các dưỡng chất cần thiết khác để hỗ trợ sự phát triển của thai nhi. Chế độ dinh dưỡng của mẹ sẽ quyết định dinh dưỡng truyền qua nhau thai vào thai nhi. Khi dinh dưỡng của mẹ đầy đủ, thai nhi cũng nhận được các dưỡng chất cần thiết để phát triển tối ưu.

Mẹ bầu cũng không nên quá lo lắng nếu chiều dài xương đùi thai nhi không đạt chuẩn. Trong nhiều trường hợp, đây chỉ là sự khác biệt về tốc độ phát triển của từng bé. Khi quá lo lắng, giấc ngủ, bữa ăn, tinh thần của mẹ bầu sẽ bị ảnh hưởng và điều này không tốt cho sức khỏe của cả mẹ và bé. Mẹ cần đảm bảo tuân thủ lịch khám thai định kỳ của bác sĩ để phát hiện sớm và xử lý kịp thời các vấn đề bất thường nếu có
Việc theo dõi chiều dài xương đùi thai 36 tuần là rất quan trọng để đảm bảo sự phát triển toàn diện của thai nhi và phát hiện sớm các vấn đề tiềm ẩn. Tuy nhiên, đây chỉ là một trong nhiều yếu tố cần được xem xét. Bác sĩ sẽ kết hợp nhiều chỉ số khác như cân nặng, chu vi đầu, chỉ số nước ối... để đưa ra đánh giá chính xác về tình trạng sức khỏe và sự phát triển của thai nhi.
Xem thêm:
Dược sĩ Đại họcNguyễn Thị Thảo Nguyên
Tốt nghiệp Khoa Dược trường Đại học Nam Cần Thơ. Có nhiều năm kinh nghiệm công tác trong lĩnh vực Dược phẩm. Hiện đang giảng viên cho Dược sĩ tại Nhà thuốc Long Châu.