Từng làm ở Viện ISDS, nhiều năm cộng tác với CDC Thái Nguyên triển khai dự án phòng chống HIV/AIDS, 2 năm cộng tác với WHO.
Ánh Vũ
11/10/2024
Mặc định
Lớn hơn
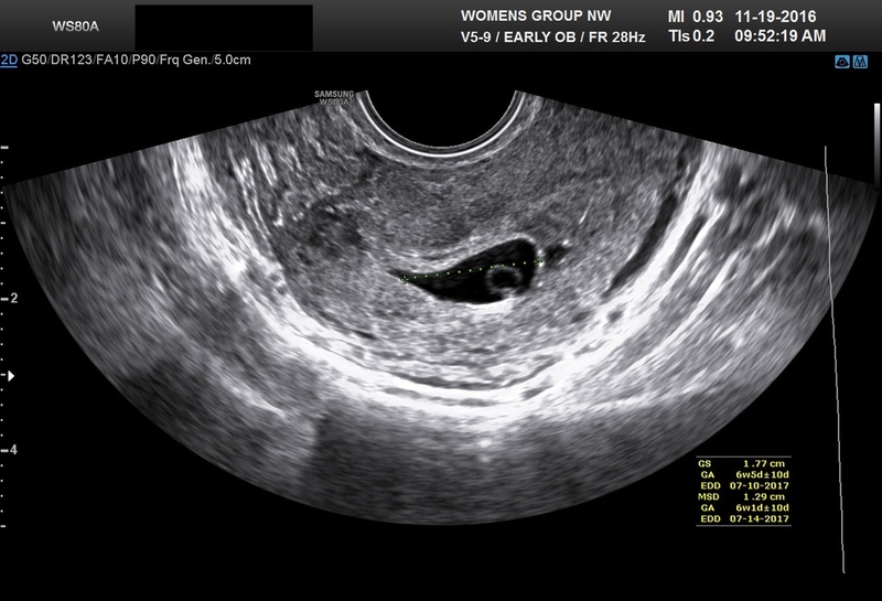
Thông thường, túi ối có hình bầu dục hoặc hình tròn. Tuy nhiên, nhiều mẹ bầu sau khi siêu âm thai được bác sĩ thông báo đang gặp phải hiện tượng túi ối méo. Điều này gây ra nhiều nỗi hoang mang và lo lắng cho thai phụ. Vậy tình trạng túi ối méo có nguy hiểm không?
Túi ối méo là một hiện tượng bất thường trong thai kỳ và gây ra nhiều lo lắng cho mẹ bầu. Vậy túi ối méo có nguy hiểm cho thai phụ và thai nhi không? Tình trạng này có khắc phục được không? Bài viết dưới đây Nhà thuốc Long Châu sẽ giúp bạn đọc giải đáp các vấn đề trên nhé!
Túi ối (túi thai) là một bọc có chứa chất mỏng nằm trong tử cung có tác dụng bao bọc và nuôi dưỡng thai nhi trong suốt thai kỳ khi bé còn nằm trong bụng mẹ.
Nước ối là một hợp chất bao gồm các chất như lipid, protein, carbohydrate và ure . Nó giống như một lớp màng đệm để giúp cho bào thai di động trong bụng mẹ một cách dễ dàng hơn, bảo vệ thai nhi trước các tác động ngoại lực từ bên ngoài.
Theo các chuyên gia, túi ối thường sẽ bắt đầu phát triển từ tuần thứ 2 của thai kỳ và dần dần sẽ đầy cho đến tuần thứ 10 của thai kỳ thì đã hoàn thiện. Thực tế, trong 3 tháng đầu của thai kỳ, thai nhi sẽ thường xuyên nuốt phải nước ối, lọc qua cơ quan thận và bài tiết ra ngoài như nước tiểu. Ngoài ra, trong thành phần của nước ối có chứa một chút dịch từ phổi của thai nhi đào thải ra ngoài. Lượng nước ối sẽ tăng lên đến tam cá nguyệt thứ 2 rồi giảm dần cho đến khi trẻ chào đời.
Tình trạng thiếu nước ối có thể là do thiếu oxy trong thời gian dài, rỉ ối, thai bất thường hoặc thai quá ngày dự kiến sinh. Hiện tượng thiếu ối có thể dẫn đến thai suy dinh dưỡng, thai chết lưu, thai nhi tử vong trong hoặc sau quá trình chuyển dạ. Ngược lại, tình trạng đa ối xảy ra có thể do người mẹ mắc phải một số bệnh lý trong quá trình mang thai như đái tháo đường, rối loạn huyết áp, bệnh thận… hoặc có thể do phù nhau thai, thai nhi dị dạng hoặc nhiễm khuẩn… Đa ối có thể dẫn đến hiện tượng sinh non, vỡ ối sớm, băng huyết sau sinh hoặc tăng tỷ thai nhi tử vong.
Túi ối méo là hiện tượng túi ối có hình dạng méo mó và có dịch ở phía dưới lớp màng đệm. Túi ối méo được xem là một biểu hiện cho thấy thai nhi đang phát triển bất thường? Vậy túi ối méo có gây nguy hiểm cho mẹ và thai nhi không?

Theo các chuyên gia, túi ối méo là một trong những nguyên nhân khiến cho trẻ mắc phải các dị tật bẩm sinh như hở hàm ếch, biến dạng khuôn mặt, cánh tay hoặc bàn chân, khuyết tật ở ngực hoặc bụng…
Ngoài ra, hiện tượng túi ối méo có thể gây ra một số biến chứng thai kỳ rất nguy hiểm như:

Như đã nói ở trên, túi ối có vai trò cung cấp chất dinh dưỡng cho thai nhi, giúp bé có thể cử động và di chuyển dễ dàng trong bụng mẹ, đồng thời bảo vệ thai nhi tránh được các tổn thương từ những va đập bên ngoài.
Trong một số trường hợp sau khi siêu âm cho mẹ bầu, bác sĩ phát hiện túi ối bị méo. Đây là một hiện tượng bất thường và có thể gây nguy hiểm cho thai nhi. Vậy túi thai méo có thể tròn lại không? Theo các bác sĩ sản khoa, túi ối bị méo có tròn lại không còn phụ thuộc vào thời gian phát hiện ra tình trạng này. Nếu phát hiện ra tình trạng này càng sớm (khi thai nhi được khoảng 4 tuần) thì vẫn có thể khắc phục được. Vậy làm thế nào để khắc phục hiệu quả hiện tượng túi ối méo?

Nếu sau siêu âm thai, mẹ bầu được chẩn đoán túi ối méo thì bác sĩ sẽ kê đơn thuốc nhằm điều trị tình trạng. Bên cạnh đó, mẹ bầu cần lưu ý đến một số vấn đề sau để hỗ trợ khắc phục hiệu quả tình trạng túi ối méo, cụ thể là:

Tóm lại, túi ối méo là một hiện tượng bất thường trong thai kỳ và có thể gây ra nhiều biến chứng cho thai nhi. Sau khi được chẩn đoán có túi thai méo, mẹ bầu cần sử dụng thuốc theo đúng đơn kê của bác sĩ chuyên khoa và cần lưu ý đến chế độ sinh hoạt cũng như chế độ ăn uống để khắc phục tình trạng này.
Dược sĩ Đại học Nguyễn Tuấn Trịnh
Từng làm ở Viện ISDS, nhiều năm cộng tác với CDC Thái Nguyên triển khai dự án phòng chống HIV/AIDS, 2 năm cộng tác với WHO.