Dược sĩ Đại học có nhiều năm kinh nghiệm trong việc tư vấn Dược phẩm và hỗ trợ giải đáp thắc mắc về Bệnh học. Hiện đang là giảng viên cho Dược sĩ tại Nhà thuốc Long Châu.
Ngọc Trang
15/01/2024
Mặc định
Lớn hơn
Nang thận là bệnh lý thường được phát hiện khi siêu âm thận. Vì thế kiểm tra nang thận định kì giúp kiểm soát các biến chứng nguy hiểm. Một trong những phương pháp chẩn đoán nang thận chính xác là siêu âm. Hình ảnh nang thận trên siêu âm hỗ trợ rất nhiều trong việc điều trị bệnh.
Nang thận cũng là một bệnh lý thường gặp do nhiều nguyên nhân gây ra, có thể gây biến chứng nhiễm trùng, xuất huyết trong nang, vỡ nang, chèn ép thận gây ứ nước thận, tăng huyết áp,... Việc chẩn đoán phát hiện bệnh sớm qua hình ảnh nang thận trên siêu âm sẽ hỗ trợ điều trị bệnh hiệu quả hơn.
Có nhiều giả thiết gây nên bệnh nang thận. Nguyên nhân hình thành nang có thể do quá trình viêm, xơ, sỏi thận,... làm tắc nghẽn một số đơn vị thận dẫn đến nước tiểu bị ứ lại, hình thành nên một bọc chứa nước gọi là nang thận. Ngoài ra, cũng có thể nang được hình thành từ vị trí điểm yếu trên thành của các đơn vị thận, áp lực của dòng nước tiểu lâu ngày đã tạo nên các nang chứa dịch bên trong.
Nang thận có hình tròn, chứa dịch màu trong và không nối với đài bể thận. Người trên 50 tuổi thường bị bệnh nang thận và tỷ lệ xuất hiện nang thận tăng dần theo tuổi tác. Ngoài ra, trẻ em hoặc trẻ mới sinh ra cũng có thể bị nang thận gọi là bệnh nang thận bẩm sinh. Các trường hợp bị nang thận chủ yếu là lành tính, chỉ được phát hiện tình cờ khi đi khám sức khỏe.

Nang thận được phân thành 3 loại là:
Một số ít triệu chứng của bệnh nang thận gồm:

Có nhiều phương pháp để chẩn đoán nang thận gồm: CT-scan, siêu âm, thực hiện các xét nghiệm bổ sung như tổng phân tích nước tiểu, xét nghiệm chức năng thận, xét nghiệm công thức máu,... Trong đó, siêu âm ổ bụng và siêu âm hệ tiết niệu là cần thiết được áp dụng rộng rãi hiện nay để phát hiện vị trí và kích thước nang thận.
Siêu âm thận là phương pháp chẩn đoán hình ảnh dùng dòng sóng siêu âm có tần số lớn để tạo ra những hình ảnh về kích thước, cấu trúc của thận, từ đó có thể tìm được các dấu hiệu bệnh lý của thận. Việc chẩn đoán sớm các bệnh lý của thận như nang thận chẳng hạn sẽ hỗ trợ bác sĩ trong việc điều trị phù hợp, giúp hiệu quả chữa bệnh nâng cao. Siêu âm là phương pháp không xâm lấn nên an toàn cho người bệnh.
Khi siêu âm thận, những bệnh lý thường được phát hiện gồm: U thận, sỏi thận, bệnh lý suy thận mạn tính, bất thường mạch máu thận, bệnh lý bất thường giải phẫu thận, bệnh lý chấn thương thận. Đặc biệt, hình ảnh nang thận trên siêu âm giúp phát hiện ra bệnh lý này kịp thời.
Các nang thường có kích thước nhỏ và số lượng ít, không gây đau hay làm suy giảm chức năng thận. Tuy nhiên một số bệnh lý sẽ gây các biến chứng như nhiễm khuẩn tiết niệu, suy thận, đau lưng gồm thận đa nang, nang thận lớn hay nang thận chảy máu. Ngoài ra nguy cơ tiến triển ác tính xảy ra khi các nang thận có vách dày hay nụ sùi. Vì thế kiểm tra nang thận định kỳ sẽ giúp kiểm soát các biến chứng gặp phải.
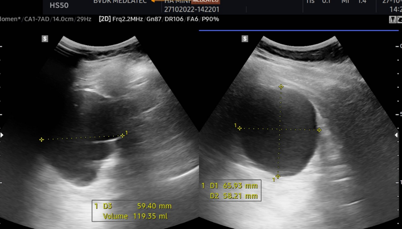
Chẩn đoán nang thận chủ yếu bằng cách siêu âm hệ tiết niệu, giúp bác sĩ đánh giá được kích thước, số lượng nang và thành của nang thận.
Hình ảnh thận bình thường khi:
Hình ảnh thận bệnh lý:

Bác sĩ sẽ đưa ra hướng điều trị phù hợp dựa vào hình ảnh nang thận trên siêu âm. Các cách điều trị như sau:
Trước đây, phần lớn các trường hợp bị nang thận đều được điều trị bằng phẫu thuật gồm cắt bỏ nang, cắt bán phần thận có nang hoặc nội soi cắt bỏ một phần. Hiện nay, việc điều trị bệnh có nhiều tiến bộ nhờ có kỹ thuật siêu âm.
Dưới hướng dẫn của siêu âm, bác sĩ dùng phương pháp chọc hút dịch qua da kết hợp bơm cồn tuyệt đối (Ethanol 95%) nhằm xơ hóa vỏ nang đã mang lại hiệu quả đáng kể. Tuy nhiên tỷ lệ tái phát của phương pháp này còn tương đối cao so với điều trị phẫu thuật, bệnh nhân cần được theo dõi lâu dài.
Kỹ thuật chọc hút dịch qua da được áp dụng cho các trường hợp có kích thước nang từ 6cm trở lên. Đây là một kỹ thuật có thể được thực hiện ở tất cả các bệnh viện đã có máy siêu âm với ưu điểm đơn giản dễ làm, chi phí thấp và an toàn.
Với những trường hợp nang thận có kích thước lớn hơn 45mm, gây đau tức khó chịu, bác sĩ sẽ chỉ định phẫu thuật cắt chóp nang thận. Đây là phương pháp điều trị tốt cho các bệnh nhân được thực hiện qua phẫu thuật nội soi sau phúc mạc.
Hiện bệnh nang thận không có biện pháp dự phòng đặc hiệu. Khi phát hiện mắc bệnh, qua hình ảnh nang thận trên siêu âm bác sĩ có thể biết được nang thận loại nào. Với trường hợp nang đơn độc, có kích thước nhỏ, người bệnh nên kiểm tra khoảng 6 tháng một lần, kết hợp uống khoảng 2 lít nước/ngày, nghỉ ngơi hợp lý và kiêng bia, rượu, thuốc lá,...

Bên cạnh đó, trong các trường hợp nang to, người bệnh cần tránh vận động quá sức hoặc bị chấn thương vùng bụng để tránh nguy cơ nhiễm trùng nang thận hoặc gây vỡ nang. Ngoài ra, để dự phòng hiệu quả bệnh nang thận, người bệnh cần kiểm soát tốt huyết áp, phòng ngừa nhiễm trùng tiết niệu, bảo vệ chức năng thận,...
Nang thận là bệnh lý không có triệu chứng đặc hiệu nên khó phát hiện bệnh. Khi phát hiện những dấu hiệu bất thường, người bệnh cần đến bệnh viện để được thăm khám. Nếu phát hiện ra bệnh, qua hình ảnh nang thận trên siêu âm, bác sĩ sẽ có hướng điều trị kịp thời tránh gây biến chứng nghiêm trọng.
Xem thêm: Thắc mắc: Vì sao phải siêu âm kiểm tra vòng tránh thai định kỳ?
Dược sĩ Đại họcNguyễn Mỹ Huyền
Dược sĩ Đại học có nhiều năm kinh nghiệm trong việc tư vấn Dược phẩm và hỗ trợ giải đáp thắc mắc về Bệnh học. Hiện đang là giảng viên cho Dược sĩ tại Nhà thuốc Long Châu.