Tốt nghiệp loại giỏi trường Đại học Y Dược Huế. Từng tham gia nghiên cứu khoa học đề tài về Dược liệu. Nhiều năm kinh nghiệm làm việc trong lĩnh vực Dược phẩm. Hiện đang là giảng viên cho Dược sĩ tại Nhà thuốc Long Châu.
Văn Khang
03/06/2024
Mặc định
Lớn hơn
U nang xương phình mạch là một loại tổn thương phồng xương xuất hiện ở người trẻ dưới 25 tuổi. Đây là một vấn đề nghiêm trọng, chúng ta sẽ tìm hiểu thêm về nó trong bài viết này.
Nang xương phình mạch là một căn bệnh hiếm gặp, thường xuất hiện ở những người trẻ dưới 25 tuổi, đặc biệt là phụ nữ. Nếu không được điều trị kịp thời, bệnh có thể gây nguy hiểm. Hãy cùng Nhà Thuốc Long Châu tìm hiểu thêm về nang xương phình mạch trong bài viết dưới đây nhé!
Bệnh nang xương phình mạch, hay còn gọi là ABCs theo tên khoa học, là một loại u lành tính trong xương, thuộc nhóm bệnh xương ung thư thoái hoá.
Đặc điểm chính của bệnh là sự hình thành các tổn thương u lành tính trong xương, chứa nhiều máu hoặc huyết thanh và có xu hướng phát triển và lan rộng, tạo ra các khoảng trống trong xương được lấp đầy bởi máu, tế bào khổng lồ, bè xương và nguyên bào sợi tăng sinh.
Điều này làm cho xương trở nên mỏng yếu và dễ gãy. Bệnh này phát triển chậm và nguyên nhân cũng như cơ chế sinh bệnh vẫn chưa được hiểu rõ, và chỉ chiếm ít hơn 1% trong tổng số các trường hợp u xương. Thường thì bệnh này xuất hiện ở người trẻ dưới 25 tuổi, đặc biệt là ở trẻ em (90% xảy ra trước tuổi 30) và thường gặp nhiều hơn ở phụ nữ so với nam giới.

Bệnh có thể phát sinh ở bất kỳ phần xương nào trong cơ thể. Tuy nhiên, các vị trí như xương chậu, đầu gối, phần đầu của các xương dài (như xương cánh tay, xương đùi, xương chày và xương bắp chân), xương ức và vùng xương gần cột sống thường gặp nhất.
Trong 70% trường hợp u phình mạch xương, tổn thương ban đầu xuất phát từ sự tăng sinh mạch máu trong u. Còn lại 30% trường hợp phát triển từ các loại u khác như u tế bào khổng lồ, u sụn, u xương,…
Tổn thương có thể tồn tại từ vài tuần đến vài năm trước khi được chẩn đoán, thường ở giai đoạn muộn. Ban đầu, u chỉ là một khối nhỏ, không gây hại bám vào xương. Tuy nhiên, nếu không được điều trị kịp thời, chúng có thể phát triển và gây ra các vấn đề nghiêm trọng, ảnh hưởng đến cột sống và gây liệt tứ chi.
Nang xương phình mạch xảy ra khi mạch máu mở rộng và tạo ra một lớp vỏ xương mới xung quanh vùng tổn thương.
Điều này thường làm cho kích thước của xương tăng lên so với ban đầu và gây ra đau và sưng ở các vị trí gần nang xương. Nếu nang xương mở rộng, có thể gây ra tình trạng xương yếu, tăng nguy cơ gãy xương và các triệu chứng nghiêm trọng hơn.
Ví dụ, nếu tổn thương xảy ra ở cột sống, có thể làm ép vào tủy sống gây ra tình trạng yếu liệt, hoặc làm ép vào các dây thần kinh gây ra tê bì, mất cảm giác và mất khả năng vận động.

Đặc biệt, khi nang xương phình mạch xuất hiện ở tuổi vị thành niên, có thể gây tổn thương cho sụn và dẫn đến sự biến dạng và chênh lệch chiều dài của cánh tay sau này.
Có nhiều phương tiện cận lâm sàng giúp chẩn đoán nang xương phình mạch.
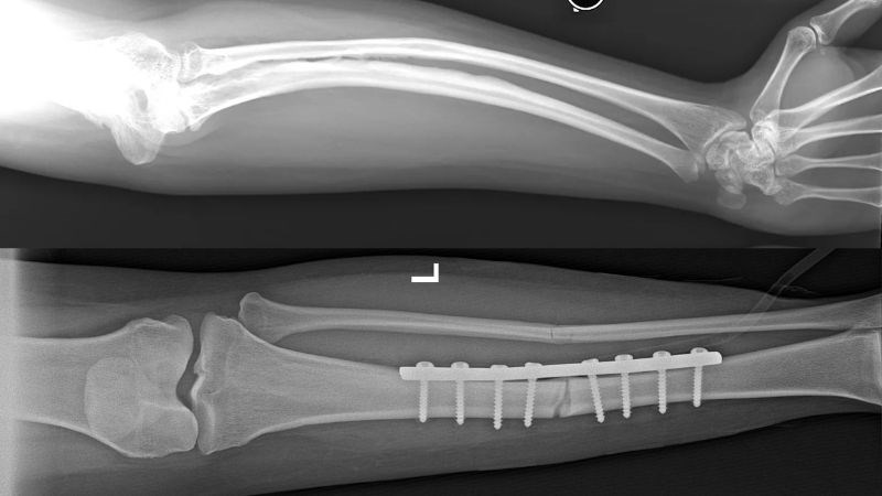
X quang thường là phương pháp chẩn đoán đầu tiên được sử dụng khi có triệu chứng mới xuất hiện. U nang xương phình mạch có một số đặc điểm đặc trưng trên hình ảnh X quang:

Hình ảnh X quang thường không đủ để mô tả u nang xương phình mạch, nên cần phối hợp với chụp cộng hưởng từ để đưa ra chẩn đoán chính xác. MRI giúp xác định tính chất của u nang bằng cách:
Các hình ảnh trên phim X quang hoặc phim MRI không đặc trưng đối với nang xương phình mạch, vì chúng cũng có thể xuất hiện ở các loại u xương khác như u tế bào khổng lồ, nang xương đơn độc hoặc ung thư xương dạng xương.
Đặc biệt, ung thư xương dạng xương có thể gây ra sự phình tĩnh mạch, làm cho việc phân biệt với nang xương phình mạch trên hình ảnh trở nên khó khăn. Vì vậy, việc tiến hành sinh thiết mô u để phân tích là biện pháp chẩn đoán chính xác nhất.
Trong quá trình chẩn đoán nang xương phình mạch, mô bệnh học là cần thiết. Khối u và nang thường là một khối mô xốp, chứa nhiều máu và được bao bọc bởi vỏ xương mỏng.
Khi nhìn vào mẫu mô u dưới kính hiển vi, bạn sẽ thấy các tế bào hồng cầu chứa hemosiderin có màu nâu nhạt ở các giai đoạn phát triển khác nhau. Những tế bào này khiến cho không gian nở ra và hình thành các nang. Cấu trúc của các nang xương được biến đổi bởi tế bào xương, sợi nguyên bào, việc canxi hóa, và các tế bào nhân khổng lồ.
Cách tốt nhất để chữa trị nang xương phình hiệu quả là phẫu thuật để loại bỏ hoàn toàn nang. Việc sử dụng ghép xương hay không sẽ phụ thuộc vào sự ổn định của cấu trúc xương và mức độ tổn thương.

Nếu chỉ cắt bỏ một phần của nang, bệnh có thể tái phát. Tránh sử dụng xạ trị vì có thể gây ra sarcoma xương. Tuy nhiên, trong trường hợp tổn thương ở đốt sống không thể loại bỏ hoàn toàn bằng phẫu thuật, xạ trị có thể là lựa chọn.
Hiện nay, phương pháp thông thường để chữa nang xương phình là sử dụng curet để lấy toàn bộ u nang. Tuy vậy, tỷ lệ tái phát của bệnh này rất cao, với báo cáo lên tới 59% chỉ sau khi sử dụng curet.
Do đó, ngày nay đã có nhiều phương pháp điều trị bổ trợ khác nhau được phát triển như can thiệp qua da và ít xâm lấn hơn để cải thiện hiệu quả điều trị và giảm nguy cơ tái phát.
Các phương pháp điều trị bổ trợ bao gồm:
Ngoài ra, phẫu thuật áp lạnh sử dụng nitơ dạng khí hoặc lỏng để làm đóng băng các tế bào u nang xương còn lại sau khi đã loại bỏ chúng bằng curet.
Xi măng polymethylmethacrylate (PMMA) trong ghép xương cũng đóng vai trò quan trọng bằng cách tạo ra nhiệt khi đông cứng, giúp điền vào các khoảng trống và tạo sự vững chắc cho cấu trúc xương.
Nang xương phình mạch là một vấn đề y tế phổ biến ảnh hưởng đến sức khỏe và vẻ đẹp của người mắc phải. Việc điều trị kịp thời và chăm sóc đúng cách có thể giúp giảm thiểu tác động của nang và cải thiện tình trạng sức khỏe. Tuy nhiên, việc phòng tránh bằng cách duy trì lối sống lành mạnh và tăng cường vận động cũng rất quan trọng. Chúc bạn thành công!
Xem thêm: Phình mạch máu ở tay do đâu, có nguy hiểm không?
Dược sĩ Đại họcNgô Kim Thúy
Tốt nghiệp loại giỏi trường Đại học Y Dược Huế. Từng tham gia nghiên cứu khoa học đề tài về Dược liệu. Nhiều năm kinh nghiệm làm việc trong lĩnh vực Dược phẩm. Hiện đang là giảng viên cho Dược sĩ tại Nhà thuốc Long Châu.