• Thực phẩm chức năng

  • Dược mỹ phẩm

  • Thuốc

  • Chăm sóc cá nhân

  • Thiết bị y tế

  • Tiêm chủng

  • Bệnh & Góc sức khỏe

  • Hệ thống nhà thuốc

    1. /
    2. Góc sức khỏe/
    3. Phòng bệnh & Sống khoẻ/
    4. Kiến thức y khoa

    Nguyên nhân khiến răng lộn xộn và cách khắc phục hiệu quả

    Thị Thu

    12/06/2024

    Kích thước chữ

    Răng lộn xộn không chỉ là vấn đề về mặt thẩm mỹ mà còn có thể ảnh hưởng đến sức khỏe răng miệng. Đối với nhiều người, việc sở hữu một hàng răng đều đặn và hoàn hảo không chỉ là điều mơ ước mà còn là yếu tố quyết định đến vẻ đẹp của nụ cười và sự tự tin trong giao tiếp.

    Với sự phát triển của công nghệ trong ngành nha khoa, có nhiều phương pháp và công nghệ mới được áp dụng để giải quyết các bệnh răng miệng. Tuy nhiên, việc lựa chọn phương pháp điều trị phù hợp và hiệu quả vẫn là một sự băn khoăn to lớn đối với nhiều người. Trong bài viết này, chúng ta sẽ tìm hiểu về răng lộn xộn, nguyên nhân gây ra vấn đề này và cùng nhau khám phá các phương pháp điều trị hiện đại. Hãy cùng nhau khám phá và giải quyết thách thức này để bạn có thể tự tin hơn trong nụ cười và sức khỏe của mình.

    Nguyên nhân khiến răng lộn xộn

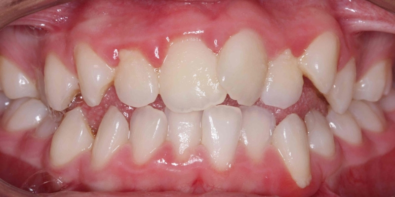
    Trước khi chúng ta đi vào chi tiết về răng mọc lộn xộn, hãy cùng tìm hiểu về định nghĩa và lý do tại sao vấn đề này lại xuất hiện. Răng lộn xộn, hay còn được gọi là tình trạng răng không đều, là hiện tượng mà các răng không đứng thẳng và cân đối trong hàm răng. Điều này có thể bao gồm các vấn đề như răng chồng lên nhau hoặc lệch lạc khỏi dãy răng còn lại.

    Tình trạng răng mọc lộn xộn có thể xuất hiện ở hàm trên/hàm dưới hoặc cả 2 hàm
    Tình trạng răng mọc lộn xộn có thể xuất hiện ở hàm trên/hàm dưới hoặc cả 2 hàm

    Nguyên nhân gây ra tình trạng răng lộn xộn có thể đa dạng, sự mọc không đều của răng thường bắt đầu từ thời niên thiếu khi răng vẫn trong quá trình phát triển và có thể trở nên trầm trọng hơn khi người đó trưởng thành. Và các nguyên nhân phổ biến nhất bao gồm:

    • Di truyền: Gen di truyền đóng vai trò quan trọng trong sự phát triển của răng miệng. Nếu có tiền sử về vấn đề nha khoa trong gia đình, khả năng cao con cái cũng sẽ gặp phải tình trạng tương tự. Ngoài ra, các vấn đề như răng hô, răng móm, hoặc men răng yếu cũng có thể được di truyền từ người thân.
    • Răng sữa không rụng đúng thời gian: Nếu các răng sữa không rụng đúng thời điểm, răng vĩnh viễn sẽ không có đủ không gian để mọc. Điều này dẫn đến tình trạng răng chen chúc và lệch lạc khiến chúng không đứng thẳng.
    • Thói quen xấu khi còn nhỏ: Một số thói quen xấu khi còn nhỏ như mút tay, đẩy lưỡi, hoặc ngậm ti giả có thể làm thay đổi hình dạng của cung hàm, khiến răng mọc lệch lạc và không đều.
    • Cấu trúc xương hàm: Cấu trúc của xương hàm cũng có ảnh hưởng đáng kể đến sự phát triển của răng. Nếu khung xương hàm quá nhỏ, răng sẽ không có đủ không gian để mọc đúng vị trí, dẫn đến tình trạng răng chồng lên nhau. Ngược lại, nếu xương hàm phát triển quá rộng, có thể dẫn đến tình trạng răng thưa.

    Hậu quả của răng lộn xộn

    Răng mọc lộn xộn hay không đều không chỉ ảnh hưởng đến thẩm mỹ khuôn mặt mà còn có thể gây ra nhiều vấn đề răng miệng khác nhau, bao gồm:

    • Lệch khớp cắn: Răng mọc lộn xộn khiến cho khớp cắn bị sai lệch, gây khó khăn trong quá trình ăn uống. Người bị sai khớp cắn thường gặp khó khăn khi nhai thức ăn, cần kiêng khem các loại thức ăn cứng, dai dẻo. Điều này không chỉ gây ra khó khăn trong việc tiêu hóa mà còn có thể dẫn đến các vấn đề về hệ tiêu hóa như viêm dạ dày và viêm ruột non.
    • Khó vệ sinh răng miệng: Răng không đều tạo ra các kẽ răng mắc thức ăn, làm cho việc làm sạch răng trở nên khó khăn, đặc biệt là đối với răng mọc khấp khểnh. Mảng bám hình thành trên răng có thể làm tăng nguy cơ mắc các bệnh lý răng miệng như sâu răng và viêm nướu.
    • Ảnh hưởng đến thẩm mỹ: Răng không đều có ảnh hưởng không tốt tới tính thẩm mỹ khuôn mặt. Người có răng mọc không đều thường cảm thấy tự ti khi giao tiếp và thiếu tự tin trong cuộc sống hàng ngày.
    • Tổn thương xương hàm: Răng không đều có thể gây tổn thương cho xương hàm bằng cách làm hàm trên hoặc dưới bị đẩy về phía trước, gây căng thẳng cho cơ quai hàm khi ăn uống. Điều này có thể dẫn đến tổn thương xương hàm và các vấn đề răng miệng như viêm lợi và chảy máu chân răng.
    Việc chăm sóc răng miệng định kỳ là cách tốt để ngăn ngừa và giải quyết các vấn đề liên quan đến răng không đều
    Việc chăm sóc răng miệng định kỳ là cách tốt để ngăn ngừa và giải quyết các vấn đề liên quan đến răng không đều

    Các phương pháp phục hình răng lộn xộn hiệu quả và an toàn

    Trong quá trình điều trị răng mọc không đều, việc lựa chọn phương pháp phù hợp và an toàn là điều vô cùng quan trọng. Hiện nay, có một loạt các phương pháp phục hình răng không đều được áp dụng với mục tiêu mang lại kết quả tối ưu và đảm bảo an toàn cho sức khỏe răng miệng:

    Phục hình bằng răng sứ thẩm mỹ

    Một lựa chọn phổ biến để khắc phục răng lộn xộn đó là sử dụng răng sứ thẩm mỹ để phục hình răng không đều. Phương pháp này thường được áp dụng cho các trường hợp răng không đều ở mức độ nhẹ và mang lại hiệu quả nhanh chóng. Răng sứ thẩm mỹ không chỉ giải quyết vấn đề về răng không đều mà còn cải thiện màu sắc của răng, giúp tạo nên nụ cười tự tin với hàm răng trắng sáng. Tuy nhiên, cần lưu ý rằng việc mài nhỏ răng thật để bọc sứ có thể tiềm ẩn nguy cơ cho sức khỏe răng miệng, vì vậy, việc thực hiện phương pháp này cần được tiến hành tại các phòng khám nha khoa có uy tín và đảm bảo chất lượng để giảm thiểu các rủi ro có thể phát sinh.

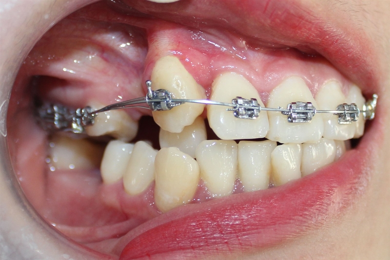
    Niềng răng thẩm mỹ

    Niềng răng thẩm mỹ là một trong những phương pháp phổ biến nhất và hiệu quả nhất trong việc điều trị răng mọc không đều. Quá trình này thường sử dụng các thiết bị như dây cung, mắc cài hoặc khay niềng trong suốt để tiến hành điều chỉnh vị trí của các răng. Trước khi bắt đầu quá trình niềng răng, bác sĩ sẽ tiến hành một cuộc kiểm tra tổng quát và các hình ảnh như chụp X – quang và scan 3D răng để đánh giá tình trạng hiện tại của răng và xác định kế hoạch điều trị phù hợp nhất. Để đảm bảo kết quả điều trị tốt nhất, việc chọn lựa một cơ sở y tế uy tín và có kinh nghiệm là vô cùng quan trọng.

    Niềng răng thẩm mỹ để khắc phục tình trạng răng lộn xộn
    Niềng răng thẩm mỹ để khắc phục tình trạng răng lộn xộn

    Tóm lại, răng lộn xộn không chỉ ảnh hưởng đến thẩm mỹ mà còn có thể gây ra các vấn đề sức khỏe răng miệng nghiêm trọng. Tuy nhiên, với các phương pháp điều trị hiện đại như niềng răng thẩm mỹ và phục hình bằng răng sứ thẩm mỹ, vấn đề này có thể được khắc phục hiệu quả. Đồng thời, việc duy trì sức khỏe răng miệng hàng ngày và thăm khám định kỳ sẽ giúp ngăn ngừa tình trạng răng mọc lộn xộn từ ban đầu, giúp mang lại nụ cười đẹp và sức khỏe toàn diện cho mọi người.

    Xem thêm: Thế nào là răng cánh bướm? Cách khắc phục tình trạng răng cánh bướm

    Có thể bạn quan tâm

    Thông tin và sản phẩm gợi ý trong bài viết chỉ mang tính chất tham khảo, vui lòng liên hệ với Bác sĩ, Dược sĩ hoặc chuyên viên y tế để được tư vấn cụ thể. Xem thêm

    Dược sĩ Đại họcTrần Huỳnh Minh Nhật

    Đã kiểm duyệt nội dung

    Dược sĩ chuyên khoa Dược lý - Dược lâm sàng. Tốt nghiệp 2 trường đại học Mở và Y Dược TP. Hồ Chí Minh. Có kinh nghiệm nghiên cứu về lĩnh vực sức khỏe, đạt được nhiều giải thưởng khoa học. Hiện là Dược sĩ chuyên môn phụ trách xây dựng nội dung và triển khai dự án đào tạo - Hội đồng chuyên môn tại Nhà thuốc Long Châu.

    Xem thêm thông tin