Tốt nghiệp loại giỏi trường Đại học Y Dược Huế. Từng tham gia nghiên cứu khoa học đề tài về Dược liệu. Nhiều năm kinh nghiệm làm việc trong lĩnh vực Dược phẩm. Hiện đang là giảng viên cho Dược sĩ tại Nhà thuốc Long Châu.
21/06/2023
Mặc định
Lớn hơn
Bệnh viêm lợi khiến người mắc bệnh có mùi hôi miệng, gây tình trạng sưng đỏ, chảy dịch rất khó chịu. Đồng thời, viêm lợi khiến bạn mất tự tin trong giao tiếp, ảnh hưởng đáng kể đến chất lượng cuộc sống. Vậy khi mắc viêm lợi cần làm gì? Nguyên nhân của bệnh do đâu?
Bệnh viêm lợi là tình trạng nhiễm trùng phần mô xung quanh răng. Bệnh này do vi khuẩn ở trong mảng bám hoặc cao răng tồn tại lâu trong miệng.
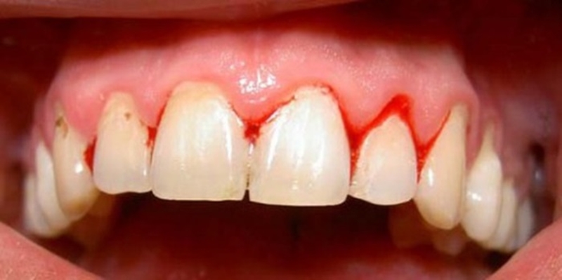
Viêm lợi là một chứng bệnh viêm có biểu hiện lâm sàng là lợi răng sưng đỏ, mép lợi tròn tù, tổ chức chân răng lỏng, dễ chảy máu, kèm hôi miệng, người bệnh có cảm giác đau hoặc ngứa căng lợi răng.
Viêm lợi lâu dài sẽ khiến cho lợi răng phì đại, tăng sinh gọi là viêm lợi dạng phì đại. Nếu không được điều trị có thể dẫn tới các bệnh nặng hơn về răng miệng và có thể sẽ mất răng.

Viêm lợi là một chứng bệnh viêm có biểu hiện lâm sàng là lợi răng sưng đỏ
Hiện nay, viêm lợi không còn là một căn bệnh xa lạ với nhiều người nữa. Đây là chứng bệnh viêm phát sinh ở lợi chân răng mà nguyên nhân chủ yếu là do vi khuẩn.
Lợi có nhiệm vụ bảo vệ, che chở và giữ cho chân răng được chắc chắn. Nguyên nhân gây bệnh viêm lợi là do vi khuẩn ở trong mảng bám hoặc cao răng tồn tại lâu trong miệng.
Khi vi khuẩn ở trong mảng bám hoặc cao răng tồn tại lâu trong miệng có thể gây ra bệnh viêm lợi. Đây là các nguyên nhân khiến lợi dễ bị tổn thương, điều kiện cho vi khuẩn xâm nhập gây viêm nhiễm. Vi khuẩn phát triển phần lớn từ các mảng bám trên răng bao gồm cả mảng bám không thể nhìn thấy bằng mắt thường.
Trong vòng 24 tiếng, các mảng bám tích tụ trong răng, sẽ cứng lại và tạo thành cao răng. Với các biện pháp vệ sinh răng miệng thông thường thì không thể làm sạch chúng được, mà cần phải dùng các thiết bị nha khoa chuyên dụng.
Vi khuẩn mảng bám tồn tại càng lâu thì mức độ nghiêm trọng mà chúng có thể gây ra càng lớn. Tuy nhiên bệnh viêm lợi không nguy hiểm nó chỉ gây cho người bệnh cảm giác khó chịu, mất tự tin trong giao tiếp.
Ở giai đoạn viêm lợi cục bộ, lợi sẽ sưng tấy, có màu đỏ và dễ bị đau và chảy máu khi va chạm. Dù đây là giai đoạn đầu của bệnh viêm lợi nhưng cũng khiến cho việc ăn uống hàng ngày của bạn khó khăn. Đau buốt, khó chịu khi bạn ăn uống là cảm giác không hề dễ chịu.
Ở giai đoạn viêm cận răng, lợi của chúng ta dễ dàng bị viêm sưng đỏ, chảy máu bất chợt gây đau nhức. Nhất là sau khi đánh răng hay xỉa răng bằng tăm, chân răng hoặc đầu tăm thường có máu. Nếu bạn thường xuyên thấy xuất hiện máu ở vùng lợi, chúng ta nên đi khám nha khoa để được chẩn đoán và có các biện pháp điều trị.
Lâu ngày, lợi sẽ bị tụt xuống làm chân răng lộ ra. Khi bệnh càng trầm trọng, những lỗ hổng này càng sâu, lợi và xương hàm bị phá hủy càng nặng, răng không còn chỗ bám nữa sẽ trở nên lỏng lẻo và cuối cùng rụng ra.
Trẻ em là đối tượng dễ bị viêm lợi nhất, nguyên nhân là do bé không chủ động thường xuyên vệ sinh răng miệng, xỉa răng bằng tăm, cắn móng tay, nhai phải thức ăn cứng, hoặc do quá trình mọc răng...

Viêm lợi thường có dấu hiệu lợi màu đỏ, dễ bị đau và chảy máu khi va chạm
Theo số liệu thống kê, hầu hết mọi người chỉ dành ít hơn 1 phút mỗi ngày cho việc vệ sinh răng miệng. Đây là khoảng thời gian quá ít để làm sạch răng miệng và tránh các bệnh về răng. Việc vệ sinh răng miệng quá nhanh sẽ không mang lại hiệu quả như mong muốn mà còn gây ra một số vấn đề về răng miệng.
Lời khuyên các chuyên gia dành cho bạn là nên đánh răng ba lần mỗi ngày, mỗi lần đánh răng nên kéo dài 3 phút để đảm bảo những chiếc răng ở sâu bên trong cũng được vệ sinh sạch sẽ.
Việc chải răng sẽ không hiệu quả, thậm chí còn gây hại nếu bạn không biết chải răng đúng cách. Thông thường mọi người chỉ có thói quen chải răng theo chiều ngang, cách chải răng này không những không giúp loại bỏ vi khuẩn, cặn bã một cách tối ưu mà còn gây hại men răng.
Chải răng đúng cách là đặt bàn chải nằm ngang và nghiêng 45 độ ở phần viền nướu. Đầu lông bàn chải phải tiếp xúc cả răng lẫn nướu. Chải nhẹ nhàng mặt ngoài của 2 – 3 răng với động tác rung và xoay tròn tại chỗ. Di chuyển bàn chải đến nhóm răng kế tiếp và lặp lại động tác trên. Chải mặt trong các răng tương tự.

Chải răng đúng cách là một cách để điều trị bệnh viêm lợi
Khi bạn phát hiện răng miệng có nhiều mảng bám và những dấu hiệu bất thường về răng miệng thì nên đến gặp nha sĩ để được kiểm tra và chữa trị để bảo vệ sức khỏe răng miệng.
Lời khuyên dành cho bạn là nên định kỳ thăm khám răng miệng đều đặn 6 tháng mỗi lần để loại bỏ những mảng bám trên răng, phát hiện sớm những rắc rối gây hại cho răng, miệng, lợi…
Nhiều người cho rằng vệ sinh răng miệng chỉ đơn giản là đánh răng đều đặn là đủ thế nhưng thực chất bạn cần quan tâm đến việc vệ sinh cả lưỡi. Bởi đây là môi trường lý tưởng cho vi khuẩn sinh sôi, nảy nở gây nên hơi thở nặng mùi hoặc làm tăng nguy cơ viêm lợi, sâu răng.
Ưu tiên những loại kem đánh răng có khả năng khống chế mảng bám, vì mảng bám là “đầu mối” gây viêm lợi, viêm chân răng.

Vệ sinh lưỡi là một cách để điều trị bệnh viêm lợi
Để điều trị viêm lợi một cách hiệu quả nhất, bạn nên đến gặp nha sĩ để được thăm khám và kiểm tra tình trạng răng miệng để tránh những biến chứng xấu về răng miệng. Chúc bạn có một sức khỏe răng miệng thật tốt.
Hoàng Trang
Nguồn tổng hợp
Dược sĩ Đại họcNgô Kim Thúy
Tốt nghiệp loại giỏi trường Đại học Y Dược Huế. Từng tham gia nghiên cứu khoa học đề tài về Dược liệu. Nhiều năm kinh nghiệm làm việc trong lĩnh vực Dược phẩm. Hiện đang là giảng viên cho Dược sĩ tại Nhà thuốc Long Châu.