Tốt nghiệp Đại học Dược Hà Nội, với hơn 10 năm kinh nghiệm trong lĩnh vực Dược phẩm. Hiện là giảng viên giảng dạy các môn Dược lý, Dược lâm sàng,...
Thị Diểm
23/11/2023
Mặc định
Lớn hơn
Làm thế nào để nhận biết bệnh viêm khớp thái dương hàm? Mục đích của chụp X quang khớp thái dương làm là gì? Hãy cùng tìm hiểu rõ hơn trong bài viết sau đây cùng Nhà thuốc Long Châu.
Khớp thái dương hàm là một căn bệnh tuy không nguy hiểm nhưng khi mắc phải tình trạng này bệnh nhân sẽ gặp phải nhiều khó khăn trong vấn đề ăn uống và sinh hoạt hằng ngày.
Vậy tại sao cần phải chụp X quang khớp thái dương hàm? Trong bài viết dưới đây, nhà thuốc Long Châu sẽ giải đáp cho bạn rõ hơn về vấn đề này.
Khớp thái dương hàm hay còn được gọi chính xác là triệu chứng rối loạn chức năng khớp thái dương hàm. Đây là tình trạng co thắt và mất cân bằng ở khớp nối giữa xương sọ và xương hàm dưới.
Khớp thái dương hàm chính là một trong những thành phần của bộ máy nhai, phối hợp cùng với răng và cơ nhai hoạt động ổn định, thực hiện đóng mở nhịp nhàng khi ăn nhai, nói và nuốt. Nếu bất kỳ một trong những bộ phận nào xảy ra trục trặc thì sẽ dẫn đến rối loạn chức năng khớp thái dương.

Bệnh lý này thường gặp phải ở mọi lứa tuổi, trong đó độ tuổi có tỷ lệ mắc bệnh cao nhất nằm ở độ tuổi dậy thì.
Bệnh khớp thái dương hàm xảy ra xuất phát từ nhiều nguyên nhân khác nhau nhưng phổ biến nhất là do nhiễm khuẩn, viêm khớp dạng thấp, thoái hóa khớp chiếm tới 50%. Còn lại các nguyên nhân khác có thể do chấn thương, tai nạn, mỏi cơ khớp, nghiến răng, hay vấn đề về tuổi tác,…
Để nhận biết bệnh lý khớp thái dương hàm bạn có thể dựa trên các dấu hiệu như sau:

Tuy nhiên, sẽ tùy vào từng mức độ nặng nhẹ mà các triệu chứng sẽ khác nhau. Đa số các trường hợp ban đầu chỉ cảm thấy đau nhẹ và cá nhân người bệnh không chú ý tới, phải đến khi bị đau nhức nặng, cảm giác khó chịu khi ảnh hưởng tới cuộc sống mới có ý định điều trị.
Có rất nhiều nguyên nhân khác nhau gây nên bệnh lý viêm khớp thái dương hàm, trong đó phổ biến nhất là các nguyên nhân sau:
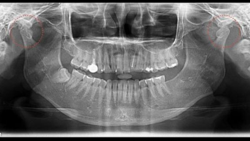
Với một số trường hợp khi mắc bệnh lý liên quan đến khớp thái dương hàm thì cần phải tiến hành chụp X quang. Thực tế, có nhiều phương pháp và kỹ thuật chẩn đoán bệnh lý viêm khớp thái dương hàm, nhưng chụp X quang vẫn là phương pháp được ưu tiên bởi mức độ quan trọng và chính xác.

Mục đích của chụp X quang khớp thái dương hàm là để khảo sát khớp thái dương hàm, hỗ trợ chẩn đoán các bệnh lý về răng hàm mặt. Khi đó, bác sĩ có thể thực hiện chụp X quang răng chuẩn ngang đầu, chụp X quang theo mặt phẳng ngang hầu, X quang từ phía dưới cằm lên đến đỉnh đầu, X quang sọ mặt từ xa.
Quy trình chụp X quang khớp thái dương hàm sẽ diễn ra theo các bước sau đây:

Trên đây là toàn bộ những chia sẻ của chúng tôi về chụp X quang khớp thái dương hàm. Hi vọng với những kiến thức bổ ích trên sẽ giúp bạn chủ động hơn trong việc bảo vệ sức khỏe và cuộc sống của mình. Ngoài ra, nếu có bất kỳ thắc mắc hay vấn đề nào cần giải đáp, hãy liên hệ ngay Nhà thuốc Long Châu để được hỗ trợ kịp thời và sớm nhất.
Xem thêm:
Dược sĩ Đại họcNguyễn Thanh Hải
Tốt nghiệp Đại học Dược Hà Nội, với hơn 10 năm kinh nghiệm trong lĩnh vực Dược phẩm. Hiện là giảng viên giảng dạy các môn Dược lý, Dược lâm sàng,...