Dược sĩ Đại học có nhiều năm kinh nghiệm trong việc tư vấn Dược phẩm và hỗ trợ giải đáp thắc mắc về Bệnh học. Hiện đang là giảng viên cho Dược sĩ tại Nhà thuốc Long Châu.
Quỳnh Loan
04/06/2024
Mặc định
Lớn hơn
Điều trị tủy răng là thủ thuật được thực hiện trong trường hợp xảy ra viêm nhiễm tại phần trung tâm của răng. Phương pháp này không làm bệnh nhân quá đau, đổi lại có thể giúp bảo tồn răng thật, không cần phải thay thế chúng bằng răng giả.
Các bệnh lý tủy răng rất thường gặp và chiếm tỷ lệ cao trong các bệnh về răng miệng. Tình trạng viêm nhiễm tủy răng sẽ kéo theo những tác động tiêu cực đến sức khỏe răng miệng lẫn sức khỏe toàn thân. Bạn cần đi khám để được điều trị tủy răng kịp thời, tránh nguy cơ bị biến chứng nặng, ảnh hưởng đến chức năng ăn nhai và thẩm mỹ.
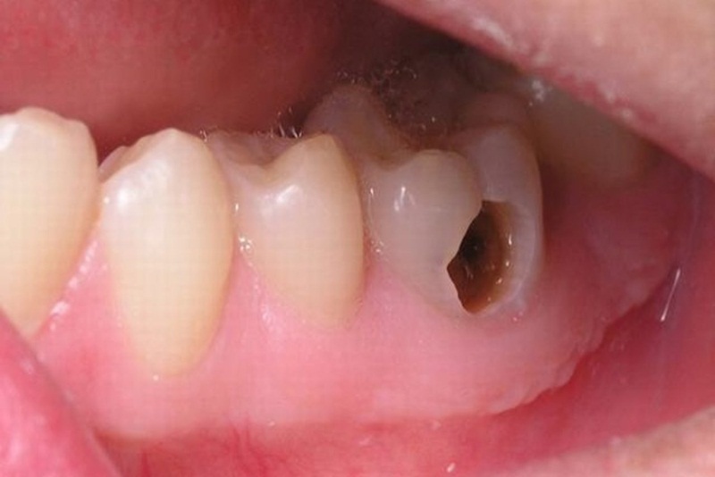
Tủy răng là một bộ phận quan trọng nằm trong cấu trúc của răng. Tổ chức liên kết này gồm nhiều mạch máu nhỏ và dây thần kinh, được cả thân và chân răng bảo vệ vững chắc nên ít bị tấn công. Tuy nhiên, nói như thế không có nghĩa là tủy răng là nơi “bất khả chiến bại”. Vì lý do nào đó, có thể là ngoại lực gây nứt vỡ răng hay sâu răng, tủy răng hoàn toàn có thể bị viêm nhiễm khi vi khuẩn xâm nhập vào nơi này.

Trên thực tế, viêm nhiễm là phản ứng của cơ thể chúng ta chống lại vi khuẩn gây bệnh trong tủy răng. Tùy thuộc mức độ bệnh mà người bệnh sẽ gặp phải các triệu chứng như đau răng, răng lung lay, viêm chảy máu,… Trong trường hợp viêm tủy răng nhẹ, thông thường bác sĩ nha khoa sẽ chỉ định bệnh nhân điều trị bằng thuốc và chăm sóc để thúc đẩy quá trình tự làm lành cũng như tái khoáng.
Song nếu bệnh nhân bị viêm tủy răng nặng, có lỗ sâu cũng như vùng viêm nhiễm ảnh hưởng rộng, điều trị diệt tủy răng bắt buộc phải được tiến hành càng sớm càng tốt để ngăn tủy răng hoại tử lan rộng sang các răng khác lẫn khu vực xung quanh. Bên cạnh đó, điều trị tủy răng sớm còn giúp bệnh nhân nhanh chóng giảm được tình trạng đau nhức khó chịu.
Bạn cần biết là bệnh viêm tủy răng không thể tự phục hồi, chỉ có thể điều trị can thiệp sớm, tránh tâm lý chủ quan để bệnh kéo dài, ngày càng tiến triển dẫn đến biến chứng nặng hơn. Càng để viêm nhiễm tủy răng kéo dài, việc điều trị càng có kết quả thấp, đồng thời vùng xương quanh răng bị thoái hóa, bắt buộc phải nhổ loại bỏ răng.
Tóm lại, nếu gặp phải những triệu chứng đau nhức, viêm tủy răng, bạn cần đi khám nha sĩ sớm để được điều trị. Dựa trên từng trường hợp cụ thể mà nha sĩ cân nhắc phương pháp điều trị tủy răng hay nhổ răng là phù hợp vì kỹ thuật nào cũng đều có rủi ro và gây ảnh hưởng nhất định đến sức khỏe bệnh nhân.
Như đã đề cập bên trên, viêm tủy răng cần được điều trị sớm. Càng để kéo dài, bệnh càng khiến bệnh nhân đau đớn, quan trọng hơn nữa là tình trạng viêm và hoại tử chắc chắn sẽ lan sang các khu vực răng khác. Khi thăm khám và điều trị, bác sĩ nha khoa sẽ loại bỏ hoàn toàn những phần tủy răng bị viêm nhiễm, hoại tử, sau đó vệ sinh sạch sẽ và trám bít ống tủy, ngăn ngừa viêm nhiễm tái phát.

Mặc dù có dùng thuốc tê song kỹ thuật này có thể gây đau đớn cho bệnh nhân do phần tủy răng nằm sâu trong khoang tủy. Quy trình diệt tủy răng trong điều trị viêm tủy, sâu răng như sau:
Tại phòng khám nha khoa, bác sĩ sẽ kiểm tra tổng quát sức khỏe răng miệng bệnh nhân nhằm đánh giá tổng quát mức độ viêm. Bệnh nhân được chỉ định chụp phim X-quang để bác sĩ có thể quan sát chi tiết cấu trúc răng, xác định vị trí và mức độ răng bị viêm tủy.
Trong trường hợp tủy răng bị viêm nặng, có lỗ sâu và không thể điều trị bằng thuốc, bác sĩ sẽ tiến hành điều trị diệt tủy răng.
Bệnh nhân sẽ được vệ sinh răng miệng sạch sẽ trước khi thực hiện thủ thuật điều trị tủy răng, bao gồm súc miệng, diệt khuẩn, loại bỏ cao vôi răng,… Điều này rất quan trọng để tránh cho bệnh nhân bị nhiễm trùng, đồng thời giúp cho thao tác của bác sĩ được thuận tiện hơn.
Sau khi hoàn tất quá trình vệ sinh răng miệng, bác sĩ sẽ gây tê tại chỗ cho vùng răng chuẩn bị điều trị tủy (nếu viêm ảnh hưởng xa thì gây tê cho cả các vùng xung quanh). Cả thủ thuật và gây tê đều sẽ được tiến hành trong phòng vô trùng khép kín.
Đặt đế cao su là bước chuẩn bị cuối cùng trước khi điều trị diệt tủy. Kỹ thuật này nhằm đảm bảo khu vực xung quanh răng chuẩn bị thao tác luôn được sạch sẽ, khô ráo vì môi trường ẩm ướt thường xuyên của răng miệng sẽ làm tăng nguy cơ nhiễm trùng, gây khó khăn cho bác sĩ thao tác.
Trước hết, bác sĩ sẽ dùng mũi khoan chuyên dụng với lực vừa đủ để tạo đường thông nhỏ từ ngoài răng vào trong ống tủy. Kỹ thuật này có thể gây đau đớn nhẹ cho bệnh nhân nhưng nhờ đã được gây tê nên bạn vẫn cảm thấy thoải mái.
Tiếp đến, bác sĩ sẽ mở tủy để xác định chiều dài ống tủy và dùng dụng cụ hút chuyên dụng đưa vào trong ống tủy hút hết những mô tủy bị viêm nhiễm, hoại tử ra ngoài. Sau khi hút xong, bác sĩ sẽ làm sạch và điều chỉnh hình dạng ống tủy, đồng thời kiểm tra xem có mô tủy bị viêm, hoại tử nào còn sót lại trong răng hay không, nếu đã sạch thì thao tác diệt tủy răng kết thúc.

Sau khi tủy viêm, tủy hoại tử được loại bỏ hoàn toàn, bác sĩ sẽ tiến hành trám bít lại răng hoặc lỗ thông đã tạo ra trên răng bằng nhựa đa khoa chuyên dụng. Nhựa này giúp bít tắc toàn bộ ống thông trên răng và nhờ có độ cứng tương tự nên sau khi trám hoàn toàn không gây khó khăn cho việc nhai nuốt. Trường hợp bệnh nhân có yêu cầu thẩm mỹ cao hơn, bác sĩ sẽ tư vấn biện pháp bọc sứ cho những răng đã điều trị diệt tủy.
Hiện nay, chi phí điều trị tủy răng dao động từ 500.000 - 2.000.000đ, tùy vào địa chỉ nha khoa, tình trạng răng lẫn số lượng răng cần điều trị.
Sau khi điều trị tủy, răng cần thời gian để có thể phục hồi và ổn định lại như lúc ban đầu. Ngoài vấn đề đảm bảo vệ sinh sạch sẽ, bệnh nhân cần lưu ý thêm những điều sau đây:

Hy vọng những thông tin trong bài viết của Nhà thuốc Long Châu đã giúp bạn hiểu rõ hơn về lý do tại sao cần phải điều trị tủy răng. Khi viêm tủy răng đã tiến triển đến giai đoạn nặng, không đáp ứng tốt điều trị với thuốc thì điều trị tủy răng là biện pháp bắt buộc phải làm.Tuy nhiên, bạn cần chú ý chăm sóc răng đúng cách sau khi điều trị vì những chiếc răng đã diệt tủy thường sẽ yếu và dễ lung lay hơn trước.
Xem thêm:
Dược sĩ Đại họcNguyễn Mỹ Huyền
Dược sĩ Đại học có nhiều năm kinh nghiệm trong việc tư vấn Dược phẩm và hỗ trợ giải đáp thắc mắc về Bệnh học. Hiện đang là giảng viên cho Dược sĩ tại Nhà thuốc Long Châu.