Từng làm ở Viện ISDS, nhiều năm cộng tác với CDC Thái Nguyên triển khai dự án phòng chống HIV/AIDS, 2 năm cộng tác với WHO.
Thu Trang
05/08/2024
Mặc định
Lớn hơn
Niềng răng mặt lưỡi từ lâu đã trở thành xu hướng chỉnh nha được nhiều người yêu thích. Vậy niềng răng mặt lưỡi là gì? Cùng tìm hiểu về thông tin và những ưu, nhược điểm của phương pháp này trong bài viết dưới đây của Nhà thuốc Long Châu nhé!
Với sự phát triển không ngừng của nền y học, các kỹ thuật chỉnh nha hiện đại đã nhanh chóng ra đời. Trong đó, không thể không kể đến phương pháp niềng răng mặt lưỡi. Phương pháp này không chỉ giúp điều chỉnh tình trạng sai lệch răng, mà còn đảm bảo tính thẩm mỹ cho người thực hiện. Vậy niềng răng mặt lưỡi là gì? Đối tượng nào nên lựa chọn niềng răng mắc cài mặt lưỡi? Hãy cùng Nhà thuốc Long Châu tìm hiểu về vấn đề này qua bài viết dưới đây nhé!
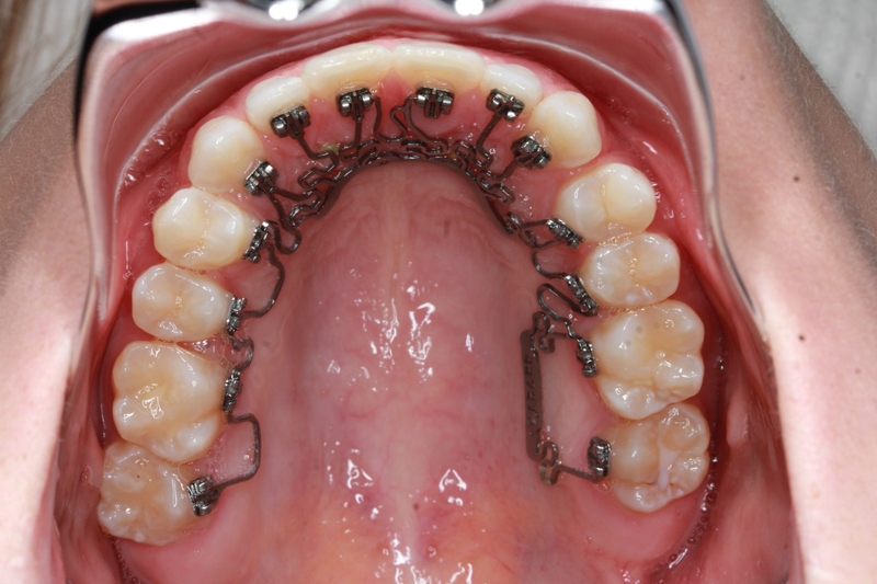
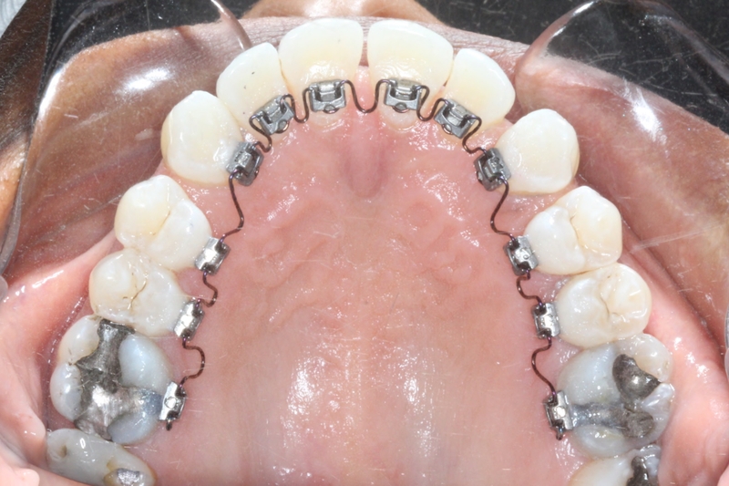
Niềng răng mặt lưỡi là phương pháp sử dụng hệ thống các khí cụ gồm: Mắc cài niềng răng, dây cung, chốt khóa tự động,... Chúng có tác dụng tạo lực kéo, giúp răng di chuyển trên cung hàm đến vị trí mong muốn.
Khác với phương pháp niềng răng mắc cài, niềng răng mặt lưỡi sẽ gắn các khí cụ ở bên trong thân răng, đối diện với lưỡi. Vì vậy, người đối diện khi nhìn vào sẽ khó nhận biết là bạn đang niềng răng. Điều này giúp đảm bảo tính thẩm mỹ cao, phù hợp với những người cần giao tiếp nhiều như: Giáo viên, MC, biên tập viên,...
Bên cạnh đó, bạn cũng không cảm thấy khó chịu hay cộm cấn khi đeo niềng trong thời gian dài do các mắc cài mặt lưỡi được thiết kế nhỏ gọn, mỏng hơn và có bề mặt trơn láng.

Trước khi quyết định có nên chỉnh nha bằng phương pháp niềng răng mặt lưỡi hay không, bạn cần nắm vững được những điểm mạnh, điểm yếu của kỹ thuật này. Đó là:
Các ưu điểm của phương pháp niềng răng mặt trong có thể kể đến là:

Bên cạnh những lợi ích vượt trội kể trên, niềng răng mặt lưỡi vẫn tồn tại một số khuyết điểm mà bạn cần cân nhắc là:

Niềng răng mắc cài phía trong là lựa chọn hoàn hảo dành cho những người có yêu cầu cao về tính thẩm mỹ khi chỉnh nha. Cụ thể:
Bên cạnh thắc mắc: “Niềng răng mặt lưỡi là gì?”, nhiều người bệnh cũng không khỏi băn khoăn về chi phí của phương pháp niềng răng mặt lưỡi. Chi phí niềng răng mặt trong phụ thuộc vào rất nhiều yếu tố, bao gồm:
Tại các nha khoa uy tín, giá niềng mắc cài trong thường dao động trong khoảng 50 - 80 triệu cho cả 2 hàm.

Hy vọng qua bài viết này, bạn đã có được cái nhìn khách quan về phương pháp niềng răng mặt trong, cũng như những ưu và nhược điểm của phương pháp này. Nếu mắc phải các vấn đề về răng miệng và có nhu cầu niềng răng mặt lưỡi, bạn hãy đến những nha khoa uy tín để được tư vấn kỹ càng nhất nhé!
Xem thêm: Niềng răng khớp cắn hở mất bao lâu? Có hiệu quả không?
Dược sĩ Đại học Nguyễn Tuấn Trịnh
Từng làm ở Viện ISDS, nhiều năm cộng tác với CDC Thái Nguyên triển khai dự án phòng chống HIV/AIDS, 2 năm cộng tác với WHO.