Dược sĩ chuyên ngành Dược lâm sàng, với nhiều năm kinh nghiệm làm việc trong lĩnh vực dược phẩm. Là Dược sĩ Long Châu đạt được chứng chỉ bệnh học cấp quốc tế. Hiện đang là giảng viên tại Trung tâm Đào tạo FPT Long Châu.
Thu Trang
17/04/2025
Mặc định
Lớn hơn
Khớp cắn hở là tình trạng răng miệng phổ biến. Vậy cắn hở là gì? Nguyên nhân nào gây cắn hở? Cách điều trị khớp cắn hở như thế nào? Tất cả thông tin xoay quanh chủ đề này sẽ được bật mí ngay sau đây trong bài viết của Nhà thuốc Long Châu. Cùng theo dõi nhé!
Khớp cắn hở là tình trạng sai khớp cắn vô cùng nghiêm trọng. Nó ảnh hưởng nghiêm trọng đến khả năng ăn, nhai và giao tiếp của người bệnh. Tuy nhiên, không phải ai cũng biết đến nguyên nhân và cách điều trị của tình trạng này. Để giảm thiểu những tác động tiêu cực đến sức khỏe răng miệng của bản thân, bạn hãy cùng Nhà thuốc Long Châu tìm hiểu về vấn đề này qua bài viết dưới đây nhé!
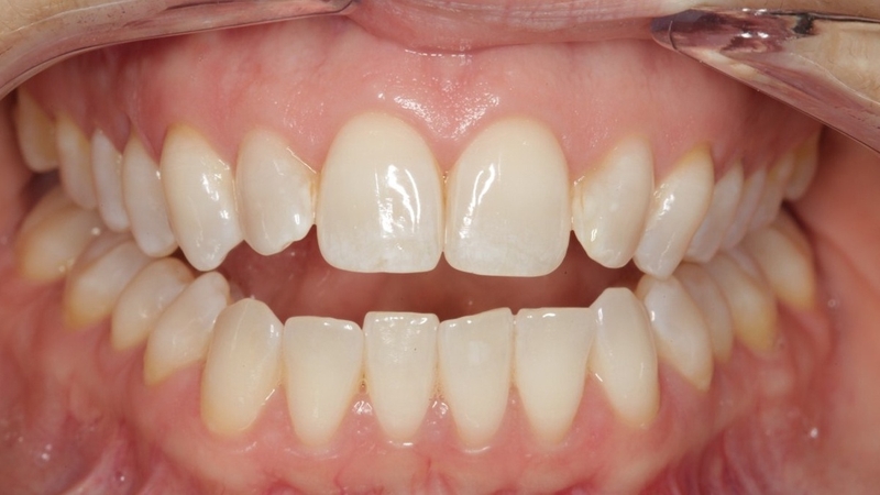
Khớp cắn hở được hiểu đơn giản là một dạng đặc biệt thuộc nhóm sai lệch khớp cắn. Nó xảy ra khi hàm trên và hàm dưới của răng không chạm được vào phía trước hoặc phía sau của miệng khi hàm đã đóng vào hoàn toàn. Tình trạng này tạo ra các khe hở trong cấu trúc giữa các răng. Thậm chí, bạn còn có thể nhìn thấy lưỡi ngay cả khi hàm ở trạng thái nghỉ.
Theo đó, nha sĩ thường chia cắn hở thành hai loại phổ biến là:

Bên cạnh các đặc điểm chung trên, một số đặc điểm mà người bệnh có thể dễ dàng nhận biết khớp cắn hở là:

Bên cạnh thắc mắc: “Khớp cắn hở là gì?”, bạn cũng cần nắm được những nguyên nhân gây ra tình trạng khớp cắn hở. Theo các chuyên gia, có rất nhiều nguyên nhân dẫn đến tình trạng này, phổ biến nhất là:
Khớp cắn hở nếu không được điều trị kịp thời thì sẽ gây ra nhiều ảnh hưởng tiêu cực tới sức khỏe răng miệng. Thậm chí, nó còn làm mất thẩm mỹ và gây khó khăn cho quá trình nhai, phát âm, giao tiếp. Tuy nhiên, bạn hoàn toàn có thể yên tâm rằng tình trạng khớp cắn hở hoàn toàn có thể điều trị và cải thiện được. Dưới đây là một số phương pháp điều trị khớp cắn hở phổ biến nhất hiện nay:
Phương pháp này được sử dụng phổ biến ở giai đoạn đầu hình thành khớp cắn hở. Máng nhựa duy trì là khí cụ chuyên dụng, có tác dụng ngăn chặn các thói quen xấu ở trẻ nhỏ như: Đẩy lưỡi, mút tay,...

Hàm nới rộng cung hàm được áp dụng riêng cho trường hợp khớp cắn hở do xương của hàm trên bị hẹp hoặc lõm. Biện pháp này không chỉ để đưa được cung hàm ra, mà còn giúp đóng khít được cắn hở một cách hiệu quả.
Phương pháp niềng răng mắc cài bằng kim loại tập trung vào 3 mục tiêu cơ bản là:
Trong quá trình chỉnh nha, bác sĩ có thể áp dụng các kỹ thuật chuyên sâu, điển hình là: Cung môi, dây thun, nẹp vít, minivis niềng răng, mắc cài,... Việc sử dụng những mắc cài kim loại cùng với dây cung có lực siết siêu chặt có khả năng căn chỉnh các răng cắn hở một cách chính xác. Nó sẽ từ từ dịch chuyển răng về các vị trí mong muốn, mà không gây tác động xấu đến cấu trúc của răng thật.

Trên thực tế, bác sĩ nha khoa sẽ hạn chế tối đa sự xâm lấn vào chân răng thật. Vì vậy, phương pháp phẫu thuật hàm thường được chỉ định trong trường hợp khớp cắn hở gây ra do yếu tố bẩm sinh hoặc di truyền. Không những vậy, ngay cả sau khi phẫu thuật xương hàm, người bệnh vẫn cần phải niềng răng để khắc phục tình trạng ngày một cách tối đa.
Nếu muốn thay đổi diện mạo và cấu trúc của nhóm răng cửa một cách toàn diện, bạn có thể tham khảo phương pháp làm răng sứ. Phương pháp này vừa mang lại tính thẩm mỹ cao, vừa điều trị khớp cắn hở nhanh chóng, chỉ mất từ 2 - 3 ngày.
Bước đầu tiên, bác sĩ sẽ kiểm tra lại tình trạng hở khớp cắn. Như vậy, mới có thể đưa ra phương án mài chỉnh bên ngoài của những chiếc răng. Tiếp đó, bọc lên một lớp mão sứ mới, cân đối và thẩm mỹ với những chiếc răng khác.
Quá trình mài răng bọc sứ cần phải được kiểm soát vô cùng nghiêm ngặt và được thực hiện bởi các những chuyên gia có tay nghề cao. Điều này đảm bảo tỷ lệ răng cần mài ở mức thấp nhất. Đồng thời, mang lại cho cho bạn một nụ cười rạng rỡ, hài hòa và cân đối sau khi điều trị.
Tuy nhiên, bạn nên cân nhắc kỹ lưỡng trước khi tiến hành làm răng sứ nếu sở hữu men răng yếu. Hơn nữa, chi phí cho phương pháp này cũng khá cao. Nếu không được vệ sinh cẩn thận, răng sứ có thể kéo theo nhiều bệnh lý về răng miệng như: Răng yếu, lung lay, viêm nướu, viêm nha chu, sâu răng,...

Trên đây là những thông tin tổng quát nhất liên quan đến tình trạng khớp cắn hở. Mỗi phương pháp điều trị khớp cắn hở đều có những ưu và nhược điểm khác nhau. Vì vậy, bạn hãy thăm khám kỹ lưỡng tại các cơ sở y tế uy tín để được bác sĩ nha khoa tư vấn phương pháp điều trị phù hợp nhất nhé!
Xem thêm:
Dược sĩ Đại họcPhạm Nguyễn Hoàng Kim
Dược sĩ chuyên ngành Dược lâm sàng, với nhiều năm kinh nghiệm làm việc trong lĩnh vực dược phẩm. Là Dược sĩ Long Châu đạt được chứng chỉ bệnh học cấp quốc tế. Hiện đang là giảng viên tại Trung tâm Đào tạo FPT Long Châu.