Tốt nghiệp Khoa Dược trường Đại học Nam Cần Thơ. Có nhiều năm kinh nghiệm công tác trong lĩnh vực Dược phẩm. Hiện đang giảng viên cho Dược sĩ tại Nhà thuốc Long Châu.
Thị Hằng
14/05/2025
Mặc định
Lớn hơn
Nướu răng bị trắng là một biểu hiện bất thường. Hiện tượng này có thể phát sinh do nguyên nhân lành tính hoặc ác tính. Vậy nên nếu chưa làm rõ căn nguyên thì bạn nhất định không nên xem nhẹ.
Ở trạng thái bình thường, nướu răng của chúng ta có màu sắc tươi tắn, hồng nhuận. Vậy nên nếu nướu răng bị trắng thì chứng tỏ đã có một vấn đề sức khỏe nào đó phát sinh. Bài viết dưới đây sẽ cung cấp cho bạn đọc những thông tin hữu ích xoay quanh chủ đề này.
Nướu răng bị trắng là hiện tượng phần lợi bao quanh răng trở nên sáng màu hơn hẳn so với các khu vực lân cận. Vấn đề trên có thể đi kèm tình trạng sưng đau, viêm tấy, lở loét bề mặt, phủ màng nhầy hoặc không.

Trong nhiều trường hợp, lợi bị trắng nhưng không nhô lên khỏi kết cấu chung của cung hàm. Tuy nhiên bạn cũng có thể bắt gặp trường hợp nướu răng trắng đi kèm hiện tượng nổi u cục.
Như đã nhắc qua ở trên, nướu răng chuyển màu trắng có thể phát sinh do nhiều nguyên nhân. Tuy nhiên dưới đây là những nguyên nhân cơ bản nhất:
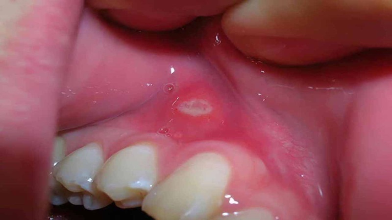
Nhiệt miệng là cách gọi chung cho những trường hợp niêm mạc trong khoang miệng có hiện tượng viêm loét, đi kèm sưng tấy và đau nhức khó chịu. Khi nhiệt miệng xuất hiện ở vùng nướu gần chân răng thì có thể làm cho nướu răng có màu trắng.
Bệnh biểu hiện ra bên ngoài bằng những vết loét có đường viền đều, hình bầu dục hoặc hình tròn, khu vực chính giữa thường có màu trắng nhạt. Nguyên nhân gây loét miệng rất đa dạng, có thể liên quan đến nhiễm trùng, nhiễm độc, thiếu hụt dưỡng chất, yếu tố môi trường, khâu chăm sóc, vệ sinh,...

Bạch sản cũng là một trong những nguyên nhân chủ yếu khiến nướu răng chuyển màu trắng. Triệu chứng điển hình của bạch sản là hình thành những mảng có màu xám hoặc trắng sữa, không đau và bám trên niêm mạc miệng. Đa phần các trường hợp bạch sản là lành tính nhưng đó cũng có thể là dấu hiệu tiền ung thư.
Khi đánh răng, vệ sinh khoang miệng, bạn không thể loại bỏ bạch sản bằng cách chà rửa, cọ xát. Nguyên nhân gây ra bệnh lý này hiện vẫn chưa được làm rõ nhưng theo nhận định của các chuyên gia thì việc phát sinh bạch sản có mối liên quan mật thiết với thói quen hút thuốc lá.
Lichen phẳng là một nhóm các bệnh tự miễn có liên quan đến hoạt động của tế bào lympho T. Bệnh lý này phát sinh khi hệ thống miễn dịch tấn công tế bào niêm mạc miệng. Chúng làm phát sinh những mảng trắng trên lưỡi, nướu răng và nhiều loại mô khác bên trong miệng.
Theo khuyến cáo từ các chuyên gia y tế thì những người bị mắc lichen phẳng nên đi kiểm tra răng miệng thường xuyên. Nguyên nhân là bởi họ rất dễ bị thiếu hụt dinh dưỡng, nhiễm khuẩn khoang miệng và có nguy cơ mắc ung thư cao hơn người bình thường.
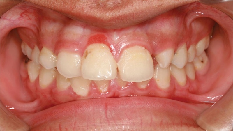
Đây là bệnh ý rất phổ biến, dấu hiệu thường gặp là sưng đỏ, đau nhức. Tuy nhiên có một vài trường hợp nướu sẽ chuyển màu trắng khi bị viêm trong thời gian dài. Bệnh phát sinh chủ yếu do vệ sinh răng miệng kém, không thường xuyên hoặc chưa đúng cách.
Bên cạnh dấu hiệu viêm thì từ khu vực tổn thương có thể chảy máu, chảy dịch. Hơi thở cũng bị ảnh hưởng tiêu cực, trở nên nặng mùi hơn do vấn đề viêm nhiễm này gây ra.

Nghe có vẻ không liên quan nhưng thiếu máu cũng là một trong những nguyên nhân gây ra tình trạng nướu răng có màu trắng. Khi thiếu hụt hồng cầu thì cơ thể thường xuyên rơi vào trạng thái mệt mỏi, khó thở, chân tay lạnh, rối loạn nhịp tim,... Đặc biệt, da dẻ sẽ nhợt nhạt và khiến cho nướu răng trông trắng hơn bình thường.
Khi bị nhiễm nấm Candida thì hiện tượng nướu răng chuyển màu trắng cũng có thể “xuất đầu lộ diện”. Triệu chứng điển hình của bệnh lý này là hình thành những đốm hoặc mảng dày màu sữa, trắng ngà bên trong lưỡi, nướu răng, niêm mạc má, môi. Các dấu hiệu trên có thể đi kèm tình trạng sưng đỏ, khó chịu, nóng rát trong khoang miệng. Khi mảng nấm bong ra rất dễ kéo theo hiện tượng chảy máu.
Những đối tượng có nguy cơ cao bị nấm miệng bao gồm: Người bị suy giảm miễn dịch, người cao tuổi, người mắc bệnh tiểu đường, trẻ sơ sinh,...
Đây là nguyên nhân ác tính gây trắng vùng nướu răng. Dấu hiệu cảnh báo đi kèm bao gồm vết loét miệng lâu lành, chảy máu trong miệng, xuất hiện u cục, dày da, răng lỏng lẻo, khó nhai hoặc nuốt.
Để chẩn đoán chính xác ung thư miệng, người bệnh cần thăm khám và thực hiện các xét nghiệm chuyên sâu. Sau khi xác thực rõ nguyên nhân, bệnh nhân sẽ được lên phác đồ điều trị phù hợp với tình trạng bệnh.
Khi nướu răng bị trắng, bạn có thể can thiệp theo hai hướng sau:
Nếu nướu răng bị trắng do viêm nhiễm thông thường, thiếu máu, loét miệng thì bạn chỉ cần chú ý đến những vấn đề dưới đây:

Việc điều trị y khoa sẽ được áp dụng khi hiện tượng nướu răng chuyển màu trắng liên quan đến các bệnh lý đáng ngại. Cụ thể như sau:

Trên đây là toàn bộ những nội dung chi tiết về chủ đề nướu răng bị trắng. Sau cùng, chúc bạn tìm thấy những thông tin đắt giá trong bài viết này và xin chân thành cảm ơn vì đã tham khảo những dòng chia sẻ của Nhà thuốc Long Châu! Trân trọng!
Xem thêm:
Dược sĩ Đại họcNguyễn Thị Thảo Nguyên
Tốt nghiệp Khoa Dược trường Đại học Nam Cần Thơ. Có nhiều năm kinh nghiệm công tác trong lĩnh vực Dược phẩm. Hiện đang giảng viên cho Dược sĩ tại Nhà thuốc Long Châu.