Tốt nghiệp Khoa Dược trường Đại học Võ Trường Toản. Có nhiều năm kinh nghiệm trong ngành Dược. Hiện đang là giảng viên cho Dược sĩ tại Nhà thuốc Long Châu.
21/06/2023
Mặc định
Lớn hơn
Răng sâu vào tủy là tình trạng sâu răng tiến triển nặng và có thể gây ra nhiều biến chứng nguy hiểm nếu không được điều trị kịp thời. Vậy dấu hiệu nhận biết răng bị sâu vào tủy là gì và làm thế nào để phòng ngừa tình trạng này? Cùng tìm hiểu ngay nhé!
Răng sâu vào tủy là tình trạng xảy ra khi sâu răng đã tiến triển nặng và lan tới tủy răng gây viêm tủy. Tình trạng này nếu không được điều trị kịp thời có thể sẽ gây ra nhiều biến chứng nguy hiểm ảnh hưởng đến sức khỏe răng miệng. Vậy dấu hiệu của răng bị sâu vào tủy là gì và cách chữa trị như thế nào? Hãy cùng tìm hiểu trong bài viết dưới đây ngay nhé!
Để hiểu rõ hơn thế nào là răng sâu vào tủy thì đầu tiên, bạn cần phải biết cấu trúc của răng bao gồm những thành phần nào. Về cơ bản, một chiếc răng bao gồm có thân răng (phần nhìn thấy trong miệng) và chân răng (phần ở trong xương hàm không nhìn thấy được). Đỉnh của chân răng, nơi mạch máu và thần kinh đi vào trong răng gọi là vùng chóp răng.
Cấu tạo của chân răng gồm các lớp ngoài cùng là men răng có đặc điểm là rất cứng, lớp thứ 2 là ngà răng, mềm hơn men răng và ở giữa là 1 buồng rỗng ở cả thân răng (buồng tủy) và chân răng (ống tủy). Trong đó, tủy răng ở phần thân răng gọi là tủy buồng và tủy răng ở phần chân răng là tủy chân. Tổ chức cứng của răng bao gồm có men và ngà răng.
Sâu răng là tình trạng xảy ra khi tổ chức cứng của răng bị tấn công, tiêu dần đi và tạo lỗ trên mặt răng. Nếu không được điều trị kịp thời, tổ chức cứng của răng sẽ bị phá hủy nhiều hơn, ăn sâu xuống dưới và vào tủy răng dẫn đến sâu răng vào tủy. Răng bị sâu vào tủy có thể gây ra nhiều biến chứng ảnh hưởng đến sức khỏe răng miệng và toàn thân nếu không được điều trị kịp thời.

Sâu răng là tình trạng tổ chức cứng của răng bị tấn công, tiêu dần đi và tạo lỗ trên mặt răng
Khi sâu răng ăn vào tủy có thể sẽ khiến người bệnh cảm thấy đau nhức, khó chịu và ảnh hưởng đến việc ăn nhai, sinh hoạt hàng ngày. Một số dấu hiệu nhận biết như sau:

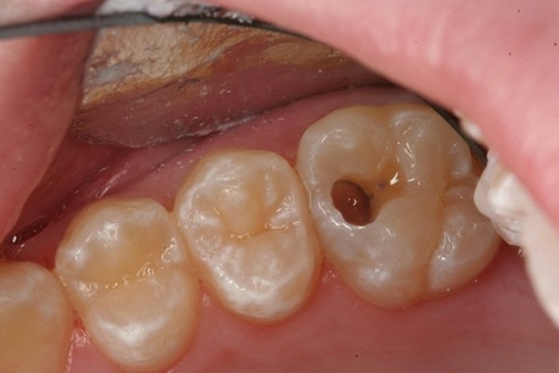
Dấu hiệu nhận biết răng bị sâu vào tủy
Trong hốc răng sâu thường sẽ có nhiều mảnh vụn thức ăn đọng lại kết hợp với vi khuẩn gây sâu răng tạo thành một ổ viêm. Khi tổ chức sâu răng chạm tới tủy sẽ gây viêm ở tủy răng gây đau. Tình trạng viêm có thể xảy ra ở cả buồng và tủy chân gây ra các cơn đau dữ dội.
Lợi xung quanh răng bị đau sưng, viêm gây hôi miệng. Sâu răng lan rộng gây vỡ thân răng, lúc này răng không còn đảm nhận việc nhai nữa. Thân răng vỡ to lan xuống cả phần chân răng khiến răng không giữa được. Nếu tổ chức tủy bị viêm không được lấy bỏ đi, hiện tượng viêm nhiễm sẽ đi sâu xuống chân răng, tới vùng chóp răng.
Viêm nhiễm ở vùng chóp răng sẽ tạo thành ổ mủ ở vùng chóp răng dẫn đến sưng mặt, đau, răng lung lay, áp xe quanh chóp răng, thậm chí phải nhổ bỏ răng. Viêm nhiễm vùng chóp lâu ngày, ổ nhiễm sẽ lan rộng gây ảnh hưởng đến các răng xung quanh. Tùy vào ổ nhiễm trùng lan đến đâu mà các răng lân cận có thể chữa được để giữ lại hay cũng phải nhổ gây mất nhiều răng.
Ổ nhiễm trùng từ chóp răng lan rộng dẫn đến viêm xương hàm, lan ra phần mềm và các tổ chức lân cận tạo một ổ nhiễm trùng khó kiểm soát. Ổ nhiễm trùng lan rộng, tạo nang to phá hủy xương hàm sẽ làm cho xương hàm bị gãy, tổn thương thần kinh và mạch máu…

Các biến chứng của tình trạng răng sâu vào tủy
Để phòng tránh tình trạng răng sâu vào tủy, việc đầu tiên là bạn phải giữ gìn vệ sinh răng miệng sạch sẽ, chải răng và dùng chỉ nha khoa đúng cách để giúp loại bỏ hết mảnh vụn thức ăn bám trên bề mặt răng gây sâu răng.
Ngoài ra, chế độ ăn uống cũng rất quan trọng. Bạn cần phải ăn đúng bữa, hạn chế ăn vặt, ăn đồ ngọt, đồ chua và tránh ăn đồ cứng. Đồng thời, chế độ ăn cần phải cân bằng và đủ những dưỡng chất cần thiết.
Khi thấy răng có lỗ hay răng đau, bạn nên đến gặp nha sĩ để được thăm khám kịp thời mà không nên trì hoãn. Không nên trì hoãn hay bỏ điều trị vì bất kỳ nguyên nhân gì. Bạn có thể trao đổi với nha sĩ về hướng điều trị phù hợp nhất.
Tốt nhất, bạn nên đi khám răng định kỳ 6 tháng/lần chứ không nên chờ đến khi răng đau mới đi khám. Điều này sẽ giúp răng được chăm sóc tỉ mỉ, cặn kẽ và được điều trị kịp thời để tránh những biến chứng không đáng có.
Hy vọng những chia sẻ từ bài viết trên đây sẽ giúp bạn có thêm nhiều kiến thức hữu ích. Đồng thời biết được dấu hiệu nhận biết răng sâu vào tủy để nhận biết sớm và có cách điều trị phù hợp nhé!
Thủy Phan
(Nguồn: Tổng Hợp)
Dược sĩ Đại họcTừ Vĩnh Khánh Tường
Tốt nghiệp Khoa Dược trường Đại học Võ Trường Toản. Có nhiều năm kinh nghiệm trong ngành Dược. Hiện đang là giảng viên cho Dược sĩ tại Nhà thuốc Long Châu.