• Thực phẩm chức năng

  • Dược mỹ phẩm

  • Thuốc

  • Chăm sóc cá nhân

  • Thiết bị y tế

  • Tiêm chủng

  • Bệnh & Góc sức khỏe

  • Hệ thống nhà thuốc

    1. /
    2. Góc sức khỏe/
    3. Phòng bệnh & Sống khoẻ

    Sức khỏe răng miệng: Cách chữa răng nhiễm fluor

    21/06/2023

    Kích thước chữ

    Là một trong những vấn đề về sức khỏe răng miệng thường gặp, răng bị nhiễm fluor gây ảnh hưởng đến màu sắc của men răng khiến cho rất nhiều người bị tự ti khi gặp phải tình trạng này. Vậy, nguyên nhân gì gây nên tình trạng răng nhiễm fluor và cách điều trị răng nhiễm fluor như thế nào?

    Flour là thành phần không thể thiếu trong cấu trúc rang, tuy nhiên nếu có quá nhiều fluor sẽ gây nên tình trạng răng bị nhiễm fluor. Tình trạng này không ảnh hưởng tới sức khỏe nhưng nếu để lâu sẽ gây mất thẩm mỹ, khiến cho người bị mắc phải tự ti. Hãy cùng bài viết dưới đây tìm hiểu kỹ về tình trạng răng nhiễm fluor và cách chữa răng nhiễm fluor.

    Răng bị nhiễm fluor là gì?

    Sức khỏe răng miệng: Cách chữa răng nhiễm fluor1
    Răng bị nhiễm fluor là tình trạng không hề hiếm gặp

    Hoạt chất fluor trong cơ thể có tác dụng giúp cho răng chắc khỏe, phòng ngừa tình trạng sâu răng và ngăn ngừa sự hình thành của các mảng bám. Răng bị nhiễm fluor là tình trạng hàm lượng fluor trong cơ thể vượt quá ngưỡng cần thiết, dẫn đến tình trạng dư thừa fluor, khiến cho răng bị nhiễm fluor. Đây được xem là một trường hợp của răng bị nhiễm màu kháng sinh.

    Nguyên nhân gây nên tình trạng răng nhiễm fluor

    • Uống thuốc có chứa chất fluor: Việc sử dụng các loại thuốc có chất fluor sẽ gây khó kiểm soát lượng fluor được nạp vào cơ thể do phải tuân theo liều lượng chỉ định của bác sĩ. Chính vì vậy, nếu uống thuốc trong thời gian dài sẽ gây nên tình trạng trên. Ngoài ra, có nhiều bậc cha mẹ lo ngại men răng của con yếu mà cho con uống thuốc fluor giúp răng chắc khỏe. Việc lạm dụng thuốc cũng sẽ dẫn đến tình trạng dư thừa fluor.
    • Ăn nhiều các loại thực phẩm có chứa fluor: Các loại thực phẩm có chứa nhiều fluor bao gồm tôm, cua, khoai tây, nho khô… hay các loại đồ uống như trà đen, nước soda… cũng là một trong những tác nhân dẫn đến hoạt chất fluor trong men răng tăng cao, gây nhiễm màu fluor.
    • Nguồn nước sử dụng có chứa nhiều fluor: Đây là trường hợp khá hiếm gặp nhưng vẫn có thể xảy ra. Chính vì thế, khi sử dụng nước để sinh hoạt hãy đảm bảo nguồn nước sạch, không có chứa quá nhiều hợp chất có thể gây ảnh hưởng không tốt cho sức khỏe.
    • Các sản phẩm chăm sóc răng miệng chứa quá nhiều fluor: Các loại kem đánh răng hoặc nước súc miệng có nồng độ fluor vượt mức cho phép được coi là nguyên nhân hàng đầu gây nên tình trạng răng nhiễm fluor. Đối với trẻ nhỏ, nguy cơ nhiễm fluor sẽ cao hơn người lớn, do răng nướu của trẻ đang trong giai đoạn phát triển.

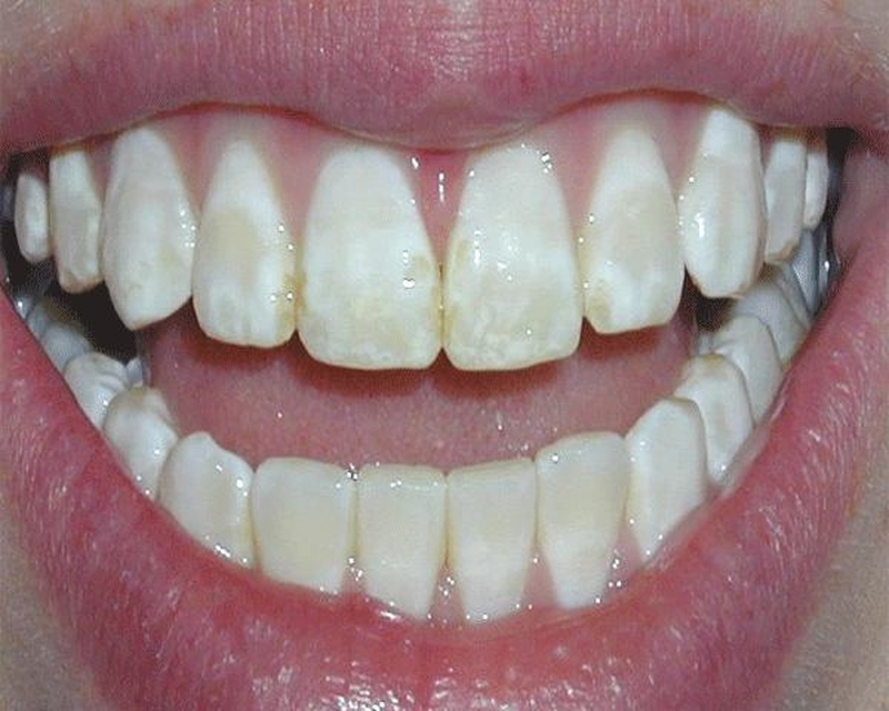
    Nhận biết răng bị nhiễm fluor

    Sức khỏe răng miệng: Cách chữa răng nhiễm fluor2
    Các đốm trắng sẽ bắt đầu xuất hiện khi răng bị nhiễm fluor

    Tùy theo các giai đoạn mà răng nhiễm fluor sẽ có các biểu hiện khác nhau:

    • Giai đoạn ban đầu: Các đốm trắng nhỏ có màu trắng đục xuất hiện, dần hình thành mảng nhưng không chiếm quá 25% bề mặt răng.
    • Giai đoạn nhẹ: Các mảng trắng đục lúc này lan rộng nhiều hơn, nhưng vẫn chưa vượt quá 50% bề mặt răng.
    • Giai đoạn nặng: Tất cả bề mặt răng đều có màu trắng đục, một số điểm trên răng bắt đầu chuyển sang màu nâu.
    • Giai đoạn rất nặng: Bề mặt răng trở nên sần sùi không đều, thân răng xuất hiện các rãnh hố khiến răng nhạy cảm và dễ bị vỡ mẻ.

    Phương pháp điều trị răng nhiễm fluor

    Hầu hết các trường hợp răng nhiễm fluor hình thành từ nhỏ và đây là yếu tố nhiễm màu nội sinh. Chính vì vậy, áp dụng các biện pháp làm trắng răng tại nhà sẽ không đem lại hiệu quả. Người bệnh cần phải đến cơ sở nha khoa và áp dụng các biện pháp nha khoa để khắc phục tình trạng này. Các phương pháp điều trị sẽ bao gồm:

    • Tẩy trắng răng: Phương pháp này sẽ được áp dụng cho trường hợp răng bị nhiễm màu nhẹ, màu răng sẽ được cải thiện bởi thuốc tẩy trắng răng và các thiết bị công nghệ để tác động sâu vào bên trong. Răng sau khi được tẩy trắng có thể trắng sáng từ 3 - 5 năm nếu như được chăm sóc tốt. Hiệu quả trắng răng sẽ rút ngắn nếu như người bệnh ăn nhiều thực phẩm có màu, hoặc sử dụng các sản phẩm có chứa nhiều fluor.
    • Dán sứ Veneer: Đây là phương pháp sử dụng một mặt sứ mỏng để dán vào bên ngoài răng, khắc phục nhược điểm của men răng. Tuy nhiên, cách này sẽ không thể khắc phục được hoàn toàn tình trạng này, mặt trong răng vẫn có thể tiếp xúc với fluor, răng tiếp tục bị nhiễm màu.
    • Bọc răng sứ: Trong trường hợp tẩy trắng răng hay dán sứ Veneer không đem lại hiệu quả, biện pháp bọc răng sứ sẽ được áp dụng. Biện pháp này có thể khắc phục được tình trạng răng bị nhiễm màu, có thể duy trì hàm răng trắng sáng từ 20 – 25 năm nếu được chăm sóc tốt.

    Phòng ngừa răng bị nhiễm fluor

    Sức khỏe răng miệng: Cách chữa răng nhiễm fluor3
    Lựa chọn các sản phẩm chăm sóc răng miệng phù hợp

    Để tránh tình trạng răng bị nhiễm fluor, bạn nên lưu ý:

    • Hãy thường xuyên kiểm tra nồng độ fluor trong nước uống, nước sinh hoạt trong gia đình. Hàm lượng fluor trong nước ở mức cho phép là 0,7 – 1 mg/l. Nếu vượt quá mức này, bạn hãy áp dụng các biện pháp xử lý nước như chưng cất, dùng máy lọc nước, thẩm thấu ngược,…
    • Cẩn thận khi chăm sóc răng miệng, lựa chọn các loại sản phẩm kem đánh răng và nước súc miệng có nồng độ fluor phù hợp với độ tuổi. Chỉ nên cho trẻ em sử dụng kem đánh răng của người lớn khi nồng độ fluor trong sản phẩm phù hợp cho cả hai đối tượng.
    • Không dùng quá nhiều lượng kem đánh răng mỗi khi đánh răng và không nên đánh răng quá lâu để tránh tình trạng fluor ngấm nhiều vào răng. Súc miệng lại bằng nước sạch, sau khi đánh răng.
    • Xây dựng cho mình một chế độ ăn khoa học, không tiêu thụ quá nhiều thực phẩm có chứa fluor trong thời gian dài.

    Trên đây là cách chữa răng nhiễm fluornhà thuốc Long Châu tổng hợp đến bạn đọc. Mong rằng qua bài viết này, bạn đã có thêm những thông tin thật hữu ích để chăm sóc tốt răng miệng mình.

    Phương Thảo
    Nguồn tham khảo: Tổng hợp

    Có thể bạn quan tâm

    Thông tin và sản phẩm gợi ý trong bài viết chỉ mang tính chất tham khảo, vui lòng liên hệ với Bác sĩ, Dược sĩ hoặc chuyên viên y tế để được tư vấn cụ thể. Xem thêm

    Dược sĩ Đại học Nguyễn Tuấn Trịnh

    Đã kiểm duyệt nội dung

    Từng làm ở Viện ISDS, nhiều năm cộng tác với CDC Thái Nguyên triển khai dự án phòng chống HIV/AIDS, 2 năm cộng tác với WHO.

    Xem thêm thông tin