Tốt nghiệp Đại học Dược Hà Nội, với hơn 10 năm kinh nghiệm trong lĩnh vực Dược phẩm. Hiện là giảng viên giảng dạy các môn Dược lý, Dược lâm sàng,...
Thị Diểm
30/12/2023
Mặc định
Lớn hơn
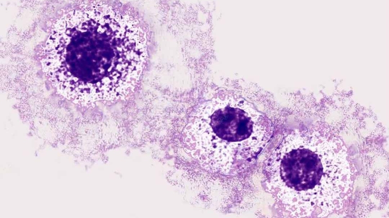
Tế bào Mast hệ thống là một hiện tượng hiếm, xuất phát từ sự tăng sinh tế bào Mast trong tủy xương. Tế bào Mast chủ yếu tập trung ở da, mô và cơ quan gây ra nhiều triệu chứng toàn thân và có thể đe dọa đến tính mạng.
Tế bào Mast bình thường tham gia vào việc bảo vệ cơ thể khỏi bệnh tật. Tuy nhiên, đôi khi sự gia tăng quá mức của tế bào Mast có thể gây hại. Một trong những bệnh lý liên quan đến sự tăng sản quá mức tế bào Mast là bệnh tế bào Mast hệ thống. Hãy cùng khám phá thông tin chi tiết trong bài viết dưới đây.
Bệnh tế bào Mast hệ thống là một loại rối loạn khiến cho số lượng tế bào Mast trong cơ thể tăng lên quá mức. Các tế bào Mast thường đóng vai trò trong việc bảo vệ cơ thể khỏi bệnh tật và hỗ trợ quá trình chữa lành bằng cách giải phóng các chất như histamine và leukotrienes.

Trong trường hợp bệnh tế bào Mast hệ thống, tế bào Mast dư thừa thường tích tụ ở nhiều bộ phận trong cơ thể như da, tủy xương, hệ tiêu hóa và xương. Khi bị kích hoạt, những tế bào Mast này giải phóng các chất này, gây ra các dấu hiệu và triệu chứng như đỏ bừng mặt, ngứa, nhịp tim nhanh, đau bụng, chóng mặt, hoặc thậm chí mất ý thức. Các tác nhân kích thích thường bao gồm rượu, thay đổi nhiệt độ, thức ăn cay và một số loại thuốc.
Bệnh tế bào Mast hệ thống có một số dạng, trong đó dạng phổ biến nhất là bệnh tế bào Mast hệ thống không ổn định - tiến triển chậm. Loại thứ hai phổ biến là bệnh tế bào Mast hệ thống kết hợp với rối loạn máu thứ phát. Còn một dạng khác, tế bào Mast hệ thống hung hãn phát triển nhanh chóng. Ung thư tế bào bạch cầu mast và sarcoma tế bào Mast là những dạng cực kỳ hiếm.
Các dấu hiệu của bệnh bao gồm:

Hầu hết các trường hợp bệnh tế bào mMast hệ thống xuất phát từ các đột biến trong gen KIT. Gen này chịu trách nhiệm mã hóa một protein quan trọng đối với nhiều quá trình cơ bản của tế bào bao gồm tăng trưởng, phân chia, sự sống sót và di chuyển. Protein này đóng vai trò quan trọng trong sự phát triển của nhiều loại tế bào, trong đó có tế bào Mast - những tế bào miễn dịch quan trọng cho các phản ứng viêm.
Đối với những người có đột biến trong gen KIT, có thể xảy ra tình trạng sản xuất quá mức tế bào Mast, gây tích tụ tế bào Mast trong các cơ quan nội tạng và dẫn đến các triệu chứng của bệnh.
Chẩn đoán bệnh tế bào Mast hệ thống (SM) thường dựa vào việc quan sát các dấu hiệu và triệu chứng đặc trưng. Các xét nghiệm bổ sung sau đó có thể được yêu cầu để loại trừ các tình trạng bệnh khác có các đặc tính tương tự, xác nhận chẩn đoán và đánh giá mức độ nghiêm trọng. Các xét nghiệm này có thể bao gồm:

Phác đồ điều trị cho bệnh tế bào Mast hệ thống (SM) được xây dựng dựa trên các dấu hiệu và triệu chứng cụ thể xuất hiện ở mỗi người. Các loại thuốc sau đây có thể được sử dụng để điều trị các triệu chứng khác nhau liên quan đến bệnh:
Trong trường hợp cần thiết như khi xảy ra sốc phản vệ, việc sử dụng epinephrine thông qua đường tiêm là lựa chọn phù hợp. Epinephrine có thể được tiêm ngay khi bệnh nhân được đưa đến cấp cứu. Ngoài ra, ở một số quốc gia, người bệnh có thể tự tiêm epinephrine tại nhà bằng cách sử dụng bút tiêm EpiPen phổ biến trên thị trường.
Tóm lại, bệnh tế bào Mast hệ thống là một tình trạng trong đó cơ thể sản xuất quá nhiều tế bào Mast, dẫn đến các triệu chứng như phát ban, vã mồ hôi, đỏ mắt, và chảy nước mũi,... Để nâng cao kết quả điều trị bệnh, người bệnh nên thăm khám tại các cơ sở y tế đáng tin cậy ngay khi nhận thấy triệu chứng của bệnh tế bào Mast.
Dược sĩ Đại họcNguyễn Thanh Hải
Tốt nghiệp Đại học Dược Hà Nội, với hơn 10 năm kinh nghiệm trong lĩnh vực Dược phẩm. Hiện là giảng viên giảng dạy các môn Dược lý, Dược lâm sàng,...