Tốt nghiệp Đại Học Dược Hà Nội - chuyên môn Dược lâm sàng. Hiện đang là giảng viên cho Dược sĩ tại Nhà thuốc Long Châu.
21/06/2023
Mặc định
Lớn hơn
Người lớn rất ít khi nhiễm sởi bởi thường đã nhiễm từ lúc nhỏ và miễn dịch sau đó. Tuy nhiên, nhiều người hay nhầm sởi với sốt phát ban thông thường do các triệu chứng bệnh sởi ở người lớn giống sốt phát ban.
Khi nhắc tới bệnh sởi nhiều người nghĩ rằng chỉ trẻ em mới mắc sởi, nhưng thực tế ai cũng có thể mắc căn bệnh này và bệnh sởi ở người lớn cũng gây nhiều biến chứng nặng không kém so với trẻ em. Người lớn thường chủ quan với bệnh sởi và nghĩ rằng mình không bao giờ nhiễm sởi, tuy nhiên các chuyên gia cảnh báo sởi ở người lớn cũng rất nguy hiểm nếu không phát hiện kịp thời.
Người lớn nếu không có miễn dịch có khả năng mắc sởi cao.Sởi là bệnh truyền nhiễm cấp tính lây qua đường hô hấp, do virus sởi thuộc họ Paramyxoviridae, chi Morbilivirus gây ra. Nếu không được tiêm vắc-xin phòng sởi, trẻ em từ 1 đến 6 tuổi dễ mắc sởi, tuy nhiên người lớn cũng có nguy cơ mắc bệnh cao.
Bệnh có khả năng lây nhiễm cao. Khi bệnh nhân ho, hắt xì, hay nói chuyện, những giọt nước nhỏ li ti có chứa siêu virus sẽ bắn ra không khí hoặc rơi xuống một nơi nào đó. Người khỏe mạnh hít vào hoặc sờ vào những nơi này và đưa tay lên mũi hay miệng sẽ bị lây bệnh.
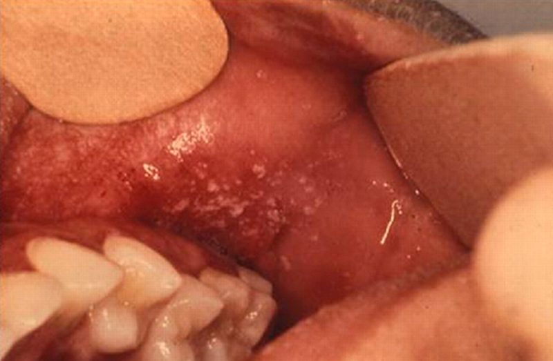
Ở người lớn, những ngày đầu tiên của bệnh, bắt đầu xuất hiện triệu chứng chảy nước mũi và viêm kết mạc. Nhiệt độ cơ thể của bệnh nhân cao, khoảng 38 - 40 độ C, ho khan, có thể là xuất huyết ở niêm mạc mũi. Hạch bạch huyết ở cổ tử cung tăng kích thước. Ngoài ra, bệnh nhân có thể bị sưng mặt; hoặc viêm xoang catarrhal làm mũi bị sưng, chảy nước mũi không ngừng, hơi thở khó khăn. Có những biểu hiện của viêm phế quản và viêm khí quản. Bắt đầu từ ngày thứ hai của bệnh, dấu hiệu đặc biệt của bệnh sởi trở nên rõ ràng - các vết xước nhỏ của Belsky-Filatov-Koplik, trông giống như các đốm nhỏ màu trắng bao quanh bởi một tràng hoa màu đỏ nằm trên má nhầy trong phiến răng hàm.
Vào ngày thứ năm, ban sởi xuất hiện trên cơ thể của người bệnh. Đầu tiên phát ban xuất hiện trên mặt, đằng sau tai, trên da đầu, sau đó lan qua tay đến chân.
Nốt Koplik xuất hiện trong miệng khi mắc sởi.Đặc biệt, người lớn mắc bệnh sởi, ít gặp các biến chứng về đường hô hấp, tuy nhiên điều nguy hại chính là những biến chứng của bệnh sởi ở người lớn thường khó nhận biết để ngăn chặn. Khác với trẻ em, ở người lớn, nguy hiểm nhất là biến chứng do não viêm, gây rối loạn trung khu tuần hoàn đường hô hấp làm bệnh nhân có thể tử vong.
Khi nhận thấy có những biểu hiện sốt cao, sốt phát ban, nên lưu ý những điều sau để chăm sóc cho bệnh nhân hiệu quả hơn:
Bổ sung những thực phẩm giàu vitamin A để phòng ngừa biến chứng do bệnh sởi.Lưu ý, nếu thấy triệu chứng bệnh tiến triển tăng nặng cần đến ngay cơ sở y tế để được khám và điều trị kịp thời, tránh những biến chứng xấu, thậm chí tử vong.
Hường
/https://cms-prod.s3-sgn09.fptcloud.com/KF_1b_LIQ_Tx_J_Pb27_Vsh90_QN_6b_Xz_OB_Jo_U_f0e2294e2e.png)
Dược sĩ Đại họcNguyễn Chí Chương
Tốt nghiệp Đại Học Dược Hà Nội - chuyên môn Dược lâm sàng. Hiện đang là giảng viên cho Dược sĩ tại Nhà thuốc Long Châu.