• Thực phẩm chức năng

  • Dược mỹ phẩm

  • Thuốc

  • Chăm sóc cá nhân

  • Thiết bị y tế

  • Tiêm chủng

  • Bệnh & Góc sức khỏe

  • Hệ thống nhà thuốc

    1. /
    2. Góc sức khỏe/
    3. Phòng bệnh & Sống khoẻ

    Tìm hiểu chung về ung thư xoang miệng

    21/06/2023

    Kích thước chữ

    Ung thư xoang miệng chiếm tỉ lệ tương đối cao so với tất cả các loại ung thư ở người. Tần suất ung thư này thay đổi tùy theo mỗi quốc gia chiếm tỉ lệ 5-50% ung thư các loại (Ấn Độ 50%, Thái Lan 21%, Indonesia 17%, Mỹ – 5%, Đức 3%…).

    Ung thư xoang miệng là ung thư phổ biến đứng hàng thứ 6 trên thế giới. Thường gặp ở vị trí thứ 4 trong các ung thư ở nam, và thứ 8 trong các ung thư nữ. Tỉ lệ thay đổi nhiều từ vùng địa lý này sang vùng địa lý khác. Ở một số nước đang phát triển, ung thư miệng là một vấn đề lớn, khi được xếp thứ ba trong các loại ung thư.

    Ở Việt Nam:

    • Bệnh viện Bình Dân (1956 – 1970): Ung thư xoang miệng & khẩu hầu chiếm 16,7% các loại ung thư. Trong đó ung thư xoang miệng chiếm 14,21% xếp hàng thứ ba sau ung thư vòm hầu, ung thư phổi ở nam, ung thư cổ tử cung, ung thư vú ở nữ.
    • Trung tâm Ung Bướu (1990 – 1994): Ung thư xoang miệng chiếm 6,07% ung thư các loại, xuất độ chuẩn theo tuổi là 5/100.000 người dân ở phái nam và 3,8/100.000 người dân ở phái nữ.
    Tìm hiểu chung về ung thư xoang miệng1 Ung thư xoang miệng là ung thư phổ biến đứng hàng thứ 6 trên thế giới

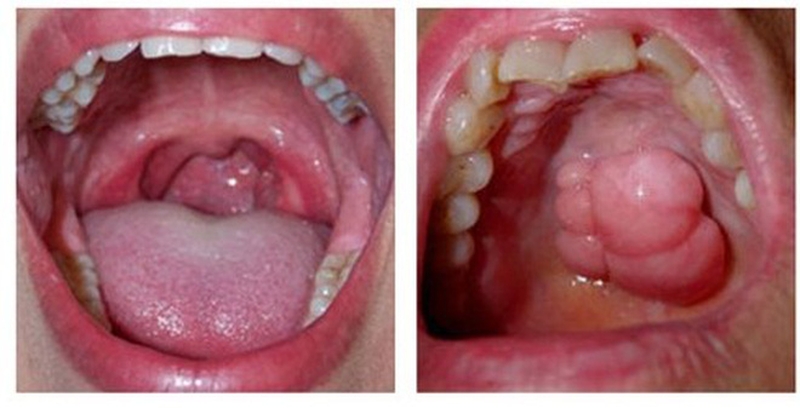
    Những dấu hiệu giúp phát hiện sớm ung thư xoang miệng

    Cũng như nhiều loại ung thư khác, phát hiện sớm những tổn thương ung thư xoang miệng giúp nâng cao hiệu quả của việc điều trị.

    Tìm hiểu chung về ung thư xoang miệng2 Sự thay đổi màu sắc niêm mạc miệng (ví dụ những mảng trắng hoặc đỏ)

    Chỉ có bạn mới có thể giúp phát hiện sớm các dấu hiệu của ung thư xoang miệng bằng cách tự kiểm tra và đi khám răng miệng định kỳ. Chỉ mất vài phút để kiểm tra môi, nướu, niêm mạc má và lưỡi cũng như sàn miệng và vòm khẩu của bạn. Khi kiểm tra cần lưu ý những thay đổi sau đây:

    • Sự thay đổi màu sắc niêm mạc miệng (ví dụ những mảng trắng hoặc đỏ).
    • Khối u, nốt gồ ghề, dày, vùng chợt nhỏ hoặc đóng vảy.
    • Tổn thương đau, dễ chảy máu hoặc không lành.
    • Cảm giác đau, nhạy cảm hoặc mất cảm giác bất cứ nơi nào trong miệng hoặc môi.
    • Khó nhai, nuốt, nói hay cử động hàm dưới hoặc lưỡi.
    • Thay đổi giọng nói.
    • Các răng không còn ăn khớp với nhau.
    • Ngoài ra, quan sát các thay đổi ngoài miệng có thể là dấu hiệu của ung thư xoang miệng.
    • Sụt cân nhanh.
    • Khối sưng hay u ở cổ.

    Nếu một trong những dấu hiệu trên xuất hiện, hãy liên hệ với nha sĩ của bạn để được kiểm tra.

    Giảm thiểu nguy cơ phát triển ung thư xoang miệng

    Bạn có thể thực hiện các bước nhằm giảm nguy cơ phát triển ung thư xoang miệng bằng cách tránh các thói quen mà các nhà nghiên cứu đã xác định khá rõ ràng.

    Sử dụng bất kỳ loại sản phẩm thuốc lá nào (thuốc lá, thuốc tẩu, xì gà hay cách dùng không có khói như hít và nhai thuốc lá). Đặc biệt khi kết hợp với uống rượu nhiều, là yếu tố nguy cơ chủ yếu của ung thư xoang miệng ở Hoa Kỳ. Trong khi sự kết hợp này được cho là nguy cơ khởi đầu để phát triển ung thư xoang miệng, thì các hóa chất liên quan đến ung thư đã được phát hiện trong tất cả các dạng thuốc lá.

    Tương tự một số dạng ung thư da, việc tiếp xúc với ánh nắng mặt trời kéo dài, lặp đi lặp lại có thể làm tăng nguy cơ ung thư môi, nhất là môi dưới. Cố gắng tránh ánh nắng mặt trời càng nhiều càng tốt nếu có thể. Nếu nghề nghiệp hoặc các hoạt động giải trí đòi hỏi bạn cần nhiều thời gian ngoài trời, chú ý giảm thiểu tác động của ánh nắng đối với môi của bạn.

    Những yếu tố nguy cơ khác đối với phát triển ung thư xoang miệng bao gồm yếu tố di truyền, chức năng gan và một số loại thuốc. Chế độ ăn uống cũng có thể đóng một vai trò quan trọng, một số nghiên cứu cho rằng chế độ ăn ít trái cây tươi và rau quả có thể làm tăng nguy cơ bị mắc bệnh ung thư.

    Tầm quan trọng của việc chăm sóc răng miệng chuyên khoa

    Thường xuyên đến nha sĩ để khám và phát hiện sớm ung thư xoang miệng (nếu có). Đây là một phần của việc khám nha khoa thông thường, nha sĩ của bạn có thể kiểm tra nhanh chóng và dễ dàng các dấu hiệu của tổn thương ung thư và tiền ung thư ở niêm mạc miệng.

    Tìm hiểu chung về ung thư xoang miệng3 Chăm sóc răng miệng là rất quan trọng
    Phát hiện và điều trị mô ung thư càng sớm nếu có thể rất quan trọng giúp bạn loại bỏ một bệnh lý có nguy cơ gây tử vong.

    Thủy Phan

    Nguồn Tham Khảo: yhoccongdong.com

    Có thể bạn quan tâm

    Thông tin và sản phẩm gợi ý trong bài viết chỉ mang tính chất tham khảo, vui lòng liên hệ với Bác sĩ, Dược sĩ hoặc chuyên viên y tế để được tư vấn cụ thể. Xem thêm

    Dược sĩ Đại họcNgô Kim Thúy

    Đã kiểm duyệt nội dung

    Tốt nghiệp loại giỏi trường Đại học Y Dược Huế. Từng tham gia nghiên cứu khoa học đề tài về Dược liệu. Nhiều năm kinh nghiệm làm việc trong lĩnh vực Dược phẩm. Hiện đang là giảng viên cho Dược sĩ tại Nhà thuốc Long Châu.

    Xem thêm thông tin