Hiền Lương
29/12/2023
Mặc định
Lớn hơn
Tràn dịch màng phổi có tái phát không? Theo nghiên cứu tỉ lệ tái phát sau điều trị vẫn còn khá cao, ở một số cá thể khả năng tái phát bệnh rất nhanh chóng sau điều trị. Để tìm hiểu rõ hơn về vấn đề này, hãy cùng tìm hiểu qua bài viết dưới đây.
Dù đã điều trị tràn dịch màng phổi nhưng một số bệnh nhân còn thắc mắc rằng tràn dịch màng phổi có tái phát không? Cách phòng ngừa tràn dịch màn phổi tái phát như thế nào? Bài viết dưới đây của Nhà thuốc Long Châu sẽ giúp bạn giải đáp những vấn đề này.
Nguyên nhân gây tràn dịch màng phổi phổ biến nhất ở Việt Nam là:

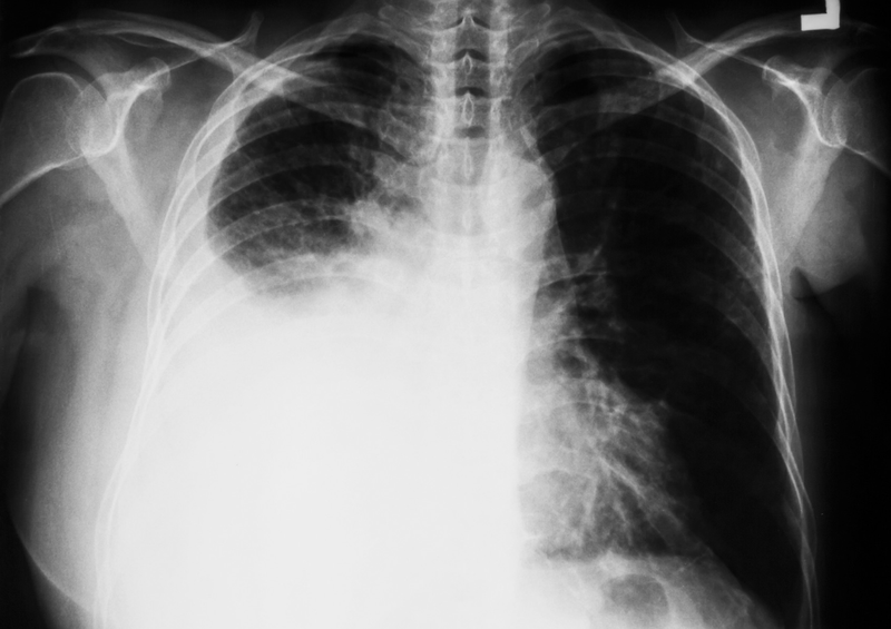
Để trả lời cho câu hỏi tràn dịch màng phổi có tái phát không thì câu trả lời là có. Ở một số bệnh nhân, bệnh có thể tái phát nhanh chóng. Tuy nhiên, tình trạng này không xảy ra ở tất cả các bệnh nhân bị tràng dịch màng phổi. Một nghiên cứu trên 288 bệnh nhân tràn dịch màng phổi cho thấy sau 6 tháng tỷ lệ không tái phát là 76,6% và sau 12 tháng là 73,3%.
Một nghiên cứu khác trên 988 bệnh nhân mắc bệnh cho thấy tỷ lệ tái phát lâu dài rất cao, với hơn 30% bệnh nhân bị tái phát vào ngày thứ 15. Tràn dịch màng phổi có tái phát không? Nếu không xác định được nguyên nhân và điều trị cũng như không có cách điều trị thích hợp thì bệnh sẽ tái phát. Kết quả là có thể xảy ra tràn dịch màng phổi nhiều lần, ảnh hưởng đến chức năng phổi và khả năng hô hấp của người bệnh bị ảnh hưởng nghiêm trọng.
Việc chẩn đoán và điều trị tràn dịch màng phổi tái phát luôn khó khăn nhưng để điều trị dứt điểm và ngăn ngừa tái phát cần xác định chính xác nguyên nhân gây bệnh.

Tràn dịch màng phổi có tái phát không phụ thuộc vào việc liệu phương pháp điều trị được lựa chọn có hiệu quả, phù hợp hay không. Hiện nay, điều trị tràn dịch màng phổi bao gồm điều trị nội khoa (dùng thuốc điều trị nguyên nhân gây bệnh), chọc dịch màng phổi để dẫn lưu tràn dịch, đặt ống dẫn lưu ngực, hóa trị, xạ trị hoặc phẫu thuật. Nhiều nghiên cứu đã chỉ ra rằng điều trị triệt để tràn dịch màng phổi bằng chọc dịch màng phổi hoặc hóa trị có thể làm giảm nguy cơ tái phát. Bệnh nhân nên tham khảo ý kiến bác sĩ để xác định phương pháp điều trị thích hợp nhất cho các triệu chứng và sức khỏe tổng thể của họ.
Ngoài ra, để phòng ngừa tràn dịch màng phổi tái phát:

Trên đây là những chia sẻ của chúng tôi về tràn dịch màng phổi có tái phát không cũng như cách phòng ngừa tái phát tình trạng này. tràn dịch màng phổi là một trong những tình trạng có thể tái phát sau khi đã điều trị bệnh. Chính vì thế nên người bệnh cần lưu ý về những dấu hiệu biểu hiện và cách phòng tránh hiệu quả để phòng tránh bệnh tái phát.
Xem thêm: