Tốt nghiệp Đại Học Dược Hà Nội - chuyên môn Dược lâm sàng. Hiện đang là giảng viên cho Dược sĩ tại Nhà thuốc Long Châu.
Ánh Vũ
29/11/2024
Mặc định
Lớn hơn
Tụ dịch màng nuôi là một tình trạng mà nhiều mẹ bầu lo lắng khi mang thai. Vậy tụ dịch màng nuôi bao nhiêu mm là nguy hiểm và cần làm gì khi gặp tình trạng này? Đây là câu hỏi quan trọng để hiểu rõ mức độ nguy hiểm và tìm cách xử lý kịp thời.
Tụ dịch màng nuôi không phải lúc nào cũng nguy hiểm, nhưng nếu không được theo dõi và xử lý kịp thời, nó có thể ảnh hưởng đến sức khỏe của mẹ và thai nhi. Nhưng tụ dịch màng nuôi bao nhiêu mm là nguy hiểm? Đây là câu hỏi mà rất nhiều mẹ bầu quan tâm lo lắng khi gặp phải tình trạng này. Bài viết dưới đây của Nhà thuốc Long Châu sẽ giúp bạn hiểu rõ hơn về tụ dịch màng nuôi và cung cấp những thông tin quan trọng để bảo vệ sức khỏe của cả mẹ và bé.
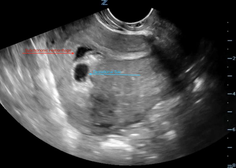
Tụ dịch màng nuôi, còn được gọi là tụ dịch sau màng đệm (subchorionic hemorrhage), là tình trạng xuất hiện dịch lỏng hoặc máu tích tụ giữa màng nuôi và tử cung. Đây là hiện tượng thường gặp trong giai đoạn đầu của thai kỳ, khi túi thai chưa phát triển hoàn chỉnh và dễ bị tổn thương. Nguyên nhân gây ra tụ dịch màng nuôi có thể do các yếu tố cơ địa, như rối loạn nội tiết tố hoặc các tác động từ bên ngoài, như chấn thương, nhiễm trùng hoặc áp lực từ tử cung. Mặc dù không phải tất cả các trường hợp tụ dịch màng nuôi đều nguy hiểm, nhưng nếu kích thước dịch tụ lớn, nó có thể gây ra những biến chứng nghiêm trọng, ảnh hưởng tới sức khỏe người mẹ và sự tăng trưởng của thai nhi.

Tụ dịch màng nuôi bao nhiêu mm là nguy hiểm là mối quan tâm lớn của nhiều mẹ bầu đang gặp phải tình trạng này. Tuy nhiên, kích thước của khối máu tụ không phải là yếu tố duy nhất để đánh giá nguy cơ, vì cùng một kích thước nhưng ở các giai đoạn thai kỳ khác nhau sẽ có tiên lượng khác nhau. Để giúp các bà mẹ mang thai hiểu rõ hơn, dưới đây là một phân loại chi tiết về mức độ nguy hiểm của tụ dịch màng nuôi dựa trên kích thước và tỷ lệ của khối máu tụ so với túi thai:
Kích thước khối máu tụ:
Tỷ lệ khối máu tụ so với túi thai:
Các bác sĩ thường sử dụng siêu âm để đo kích thước khối máu tụ và so sánh tỷ lệ này với kích thước túi thai để đánh giá mức độ nguy hiểm. Việc theo dõi và thăm khám định kỳ là rất quan trọng để phát hiện sớm và quản lý tình trạng tụ dịch màng nuôi hiệu quả. Nếu nhận thấy các triệu chứng không bình thường, bạn nên ngay lập tức liên hệ với bác sĩ để được tư vấn và điều trị kịp thời, đảm bảo an toàn cho cả mẹ và bé trong suốt thai kỳ.

Tụ dịch màng nuôi có thể gây ra các ảnh hưởng nghiêm trọng đến sức khỏe của cả mẹ và thai nhi. Dưới đây là những tác động phổ biến của tình trạng này đối với cả mẹ và bé.
Tác động đến sức khỏe của mẹ bầu:
Tác động đến sức khỏe của thai nhi trong bụng mẹ:

Ngoài việc biết được tụ dịch màng nuôi bao nhiêu mm là nguy hiểm, mẹ bầu cần biết cách điều trị tình trạng này. Việc điều trị tụ dịch màng nuôi đòi hỏi sự kiên nhẫn và theo dõi chặt chẽ từ cả bác sĩ và bà mẹ mang thai. Dưới đây là các phương pháp điều trị mẹ bầu cần biết để quản lý tình trạng này hiệu quả:

Việc biết tụ dịch màng nuôi bao nhiêu mm là nguy hiểm giúp mẹ bầu có thể nhận biết và theo dõi tình trạng sức khỏe của mình một cách chính xác. Nếu bạn xuất hiện bất kỳ triệu chứng khác thường nào, hãy lập tức liên hệ với bác sĩ để nhận được sự tư vấn và can thiệp kịp thời. Sự chăm sóc đúng cách và kịp thời sẽ giúp mẹ bầu có một thai kỳ an toàn và khỏe mạnh.
Xem thêm:
:format(webp)/KF_1b_LIQ_Tx_J_Pb27_Vsh90_QN_6b_Xz_OB_Jo_U_f0e2294e2e.png)
Dược sĩ Đại họcNguyễn Chí Chương
Tốt nghiệp Đại Học Dược Hà Nội - chuyên môn Dược lâm sàng. Hiện đang là giảng viên cho Dược sĩ tại Nhà thuốc Long Châu.