Tốt nghiệp loại giỏi trường Đại học Y Dược Huế. Từng tham gia nghiên cứu khoa học đề tài về Dược liệu. Nhiều năm kinh nghiệm làm việc trong lĩnh vực Dược phẩm. Hiện đang là giảng viên cho Dược sĩ tại Nhà thuốc Long Châu.
Hồng Nhung
25/12/2023
Mặc định
Lớn hơn
Bệnh lý u sụn màng hoạt dịch là một trong những căn bệnh ngày một phổ biến hiện nay. Bệnh thường gặp nhất ở người trong độ tuổi từ 30 – 50 tuổi. Tuy nhiên, người trẻ tuổi vẫn có nguy cơ mắc bệnh bởi tác động của nhiều yếu tố.
Tình trạng u sụn màng hoạt dịch gây nhiều bất tiện cho người bệnh, đặc biệt là khi vận động. Để biết cách nhận dạng u sụn màng hoạt dịch, chẩn đoán và điều trị bệnh lý này, Nhà thuốc Long Châu mời bạn tham khảo ngay thông tin dưới đây.
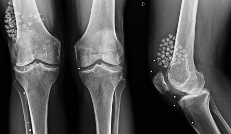
Bệnh lý u sụn màng hoạt dịch là một dạng dị sản lành tính xảy ra ở bao hoạt dịch khớp, khi này các tế bào liên kết có khả năng tự tạo ra sụn. Bên trong ổ khớp, các khối sụn nhỏ xuất hiện chồi lên trên bề mặt của sụn khớp, phát triển thành cuống và hình thành các u sụn màng hoạt dịch. Sau quá trình này, các khối u sẽ xơ cứng lại, được gọi tên là u sụn màng hoạt dịch.
Trong một số trường hợp sụn nhỏ sẽ rơi vào bên trong ổ khớp và hình thành các dị vật khớp, từ đó tạo nên các ảnh hưởng nghiêm trọng đến khả năng vận động của khớp, gây đau nhức mỗi khi hoạt động, giảm vận động, kém linh hoạt khớp, viêm màng dịch và tăng nguy cơ tràn dịch khớp gối.

Về nguyên nhân gây u sụn màng hoạt dịch, các chuyên gia cho biết, một số yếu tố dưới đây làm tăng nguy cơ mắc bệnh.
Đa số các ca bệnh u sụn màng hoạt dịch đều có biểu hiện cụ thể khá muộn, đến giai đoạn bệnh tiến triển nặng hơn mới có triệu chứng cụ thể. Mỗi giai đoạn của bệnh sẽ có những biểu hiện khác nhau và vị trí của các u sụn màng hoạt dịch cũng gây nên các biểu hiện khác nhau. Dưới đây là một số biểu hiện phổ biến nhất khi xuất hiện u sụn màng hoạt dịch.
Đau nhức khớp: Một trong những triệu chứng thường gặp nhất ở bệnh nhân u sụn màng hoạt dịch là tình trạng đau nhức, khó chịu xảy ra tại khớp gối. Cơn đau này có thể tăng dần mức độ và tần suất theo giai đoạn, vị trí và số lượng các u sụn màng hoạt dịch. Một số trường hợp u sụn màng hoạt dịch rơi vào bên trong ổ khớp gối còn gây đau cấp tính.
Kẹt khớp: Đây cũng là dấu hiệu tương đối phổ biến ở người bệnh u sụn màng hoạt dịch. Bệnh nhân có thể cảm nhận khớp bị kẹt cứng, cản trở vận động giống như có vật gì chèn bên trong khớp.
Hạn chế khả năng vận động: Triệu chứng tiếp theo có thể giúp bạn nhận dạng bệnh u sụn màng hoạt dịch, đó là khi khớp gối giảm khả năng vận động. Đôi khi đang đi bộ, chạy bộ, leo cầu thang, đứng lên ngồi xuống,… bạn có thể cảm thấy kẹt khớp hoặc bị khựng lại. Tần suất gặp phải tình trạng này sẽ tăng dần lên theo sự tiến triển của bệnh.
Khối u quanh khớp: Bạn có thể sẽ cảm nhận, sờ thấy các khối u, nổi thành cục xuất hiện quanh khớp. Những khối u này có thể di động hoặc cố định.
Tràn dịch khớp: Biểu hiện tràn dịch khớp ở bệnh nhân u sụn màng hoạt dịch khá hiếm gặp nhưng không phủ định nguy cơ có thể xảy ra, điều này phụ thuộc vào tốc độ phát triển và kích thước, số lượng các u sụn màng hoạt dịch.
Viêm khớp: Bệnh nhân u sụn màng hoạt dịch cũng có thể bị viêm khớp như một biểu hiện của bệnh. Khi này, khớp có dấu hiệu sưng đau, tấy đỏ và ấm nóng hơn thông thường.

Một số đối tượng có nguy cơ cao bị u sụn màng hoạt dịch bao gồm:
Có 2 cách chẩn đoán bệnh u sụn màng hoạt dịch là chẩn đoán lâm sàng và cận lâm sàng, cụ thể như sau.
Chẩn đoán u sụn màng hoạt dịch lâm sàng:
Chẩn đoán u sụn màng hoạt dịch cận lâm sàng:
U sụn màng hoạt dịch là bệnh lành tính nhưng việc điều trị kịp thời cũng rất quan trọng, bệnh nhân không nên chủ quan dẫn đến bệnh nặng hơn, gây nhiều đau nhức và bị hạn chế vận động trong cuộc sống hàng ngày. Điều trị bệnh u sụn màng hoạt dịch có thể là giảm đau, giảm sưng, cải thiện, hỗ trợ chức năng khớp và giảm nguy cơ tái phát bệnh. Các phương pháp chữa trị u sụn màng hoạt dịch cụ thể như sau:
Điều trị u sụn màng hoạt dịch nội khoa: Điều trị bằng thuốc kháng viêm không chứa steroid, thuốc điều trị triệu chứng và thuốc ức chế Interleukin 1.
Điều trị u sụn màng hoạt dịch bằng nội soi khớp: Phương pháp điều trị này có thể thực hiện kèm theo các biện pháp chẩn đoán lấy vật thể lạ trong khớp. Trường hợp có thể áp dụng cách này khá hạn chế, chỉ dùng cho bệnh nhân có kích thước u sụn màng hoạt dịch dưới 2cm.

Điều trị u sụn màng hoạt dịch ngoại khoa: Bệnh nhân được chẩn đoán u sụn màng hoạt dịch muộn hoặc các u phát triển kích thước lớn cần chỉ định phẫu thuật để cắt bỏ u sụn, đồng thời khắc phục các tổn thương khác ở sụn khớp.
Hy vọng qua bài viết trên đây từ Nhà thuốc Long Châu đã có thể giúp bạn hiểu hơn về bệnh lý u sụn màng hoạt dịch cũng như cách chẩn đoán, điều trị căn bệnh này. Khi gặp triệu chứng u sụn màng hoạt dịch hoặc nghi ngờ có u sụn màng hoạt dịch, người bệnh nên đi khám càng sớm càng tốt, tăng tính hiệu quả khi điều trị và tránh trường hợp tổn thương lâu dài, giảm vận động khớp.
Xem thêm:
Dược sĩ Đại họcNgô Kim Thúy
Tốt nghiệp loại giỏi trường Đại học Y Dược Huế. Từng tham gia nghiên cứu khoa học đề tài về Dược liệu. Nhiều năm kinh nghiệm làm việc trong lĩnh vực Dược phẩm. Hiện đang là giảng viên cho Dược sĩ tại Nhà thuốc Long Châu.