Tốt nghiệp đại học Khoa Dược. Có kinh nghiệm hơn 10 năm trong lĩnh vực Dược phẩm, tư vấn thuốc và thực phẩm chức năng. Hiện đang là giảng viên cho Dược sĩ tại Nhà thuốc Long Châu.
Minh Thy
03/02/2026
Mặc định
Lớn hơn
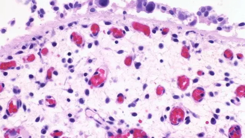
Ung thư biểu mô tại chỗ (Carcinoma in situ - CIS) là giai đoạn sớm nhất của ung thư, khi tế bào bất thường chỉ khu trú ở lớp biểu mô và chưa xâm lấn mô xung quanh. Nếu không phát hiện sớm, CIS có thể tiến triển thành ung thư xâm lấn.
Ung thư biểu mô chưa xâm lấn là tình trạng các tế bào bất thường xuất hiện ở lớp biểu mô nhưng chưa xâm lấn vào mô lân cận. Đây được xem là giai đoạn sớm nhất trong quá trình hình thành ung thư và đóng vai trò như một dấu hiệu cảnh báo quan trọng để phát hiện và can thiệp kịp thời.
Ung thư biểu mô tại chỗ (Carcinoma in situ - CIS) là ung thư giai đoạn 0, giai đoạn sớm nhất trong quá trình hình thành ung thư. Ở giai đoạn này, các tế bào biểu mô đã xuất hiện những đặc điểm ác tính và tăng sinh mất kiểm soát, nhưng chưa xâm lấn qua màng đáy và chưa lan sang các mô lân cận.
Khác với các tổn thương tiền ung thư, ung thư biểu mô chưa xâm lấn đã được xếp vào nhóm ung thư theo phân loại bệnh học, tuy nhiên vẫn còn khu trú hoàn toàn trong lớp biểu mô và chưa gây tổn thương sâu vào các cấu trúc bên dưới. Do đó, nếu được phát hiện và điều trị kịp thời, khả năng kiểm soát bệnh và tiên lượng rất tốt.
Ung thư biểu mô chưa xâm lấn có thể gặp ở nhiều cơ quan khác nhau như da, cổ tử cung, vú, bàng quang, phổi hoặc đại tràng. Mặc dù chưa di căn và thường chưa gây hậu quả nghiêm trọng, nhưng nếu không được theo dõi và can thiệp phù hợp, các tế bào bất thường có thể tiến triển thành ung thư biểu mô xâm lấn, làm tăng nguy cơ ảnh hưởng đến sức khỏe và tính mạng người bệnh.

Trong đa số trường hợp, ung thư biểu mô chưa xâm lấn không gây triệu chứng rõ ràng, vì vậy việc tầm soát định kỳ và thực hiện các xét nghiệm chuyên sâu đóng vai trò then chốt trong phát hiện sớm. Chẩn đoán ở giai đoạn này cho phép bác sĩ lựa chọn các phương pháp điều trị ít xâm lấn, hiệu quả cao, đồng thời ngăn chặn tiến triển ác tính và mang lại tiên lượng sống rất thuận lợi cho người bệnh.
Cơ chế hình thành bệnh lý liên quan đến đột biến gen, rối loạn miễn dịch và yếu tố môi trường. Khi DNA của tế bào bị tổn thương, quá trình kiểm soát phân chia bị rối loạn, tạo điều kiện cho tế bào bất thường phát triển.
Một số yếu tố nguy cơ thường gặp:
Việc xác định rõ các yếu tố nguy cơ giúp bác sĩ tư vấn biện pháp phòng ngừa cá nhân hóa và hướng dẫn tầm soát phù hợp.

Ung thư biểu mô chưa xâm lấn là giai đoạn rất sớm của ung thư, nên thường không có biểu hiện rõ ràng. Tuy nhiên, ở một số cơ quan, người bệnh vẫn có thể nhận thấy những dấu hiệu bất thường dưới đây được xem là tín hiệu cảnh báo cần đi khám sớm:
Trên da:
Tại cổ tử cung (phụ nữ):
Tại vú:
Tại bàng quang:
Tại miệng và đường hô hấp:
Những dấu hiệu trên không đặc hiệu, nhưng nếu kéo dài hoặc tái diễn nhiều lần, bạn nên đi khám để được kiểm tra kỹ hơn. Phát hiện ung thư biểu mô chưa xâm lấn càng sớm thì khả năng điều trị khỏi hoàn toàn càng cao, không để tiến triển thành ung thư xâm lấn nguy hiểm.

Với đặc điểm chưa xâm lấn, điều trị giai đoạn này thường ít xâm lấn, hiệu quả cao và khả năng hồi phục tốt. Mục tiêu là loại bỏ triệt để tế bào bất thường và ngăn ngừa tái phát.
Là phương pháp phổ biến nhất, đặc biệt khi tế bào bất thường khu trú tại vị trí xác định (da, cổ tử cung, miệng…). Phẫu thuật có thể được thực hiện bằng dao điện, laser hoặc nội soi vi phẫu để hạn chế sẹo và biến chứng.
Áp dụng khi tổn thương nằm ở vị trí khó phẫu thuật hoặc bệnh nhân không đủ điều kiện mổ. Tia xạ giúp tiêu diệt tế bào ung thư tại chỗ, giảm nguy cơ lan rộng.
Kết hợp thuốc kháng sinh, kháng viêm, hoặc điều trị nội tiết trong một số trường hợp đặc biệt như ung thư biểu mô ống tuyến vú tại chỗ (DCIS). Ngoài ra, tư vấn dinh dưỡng và tâm lý giúp bệnh nhân cải thiện thể trạng trong suốt quá trình điều trị. Các bác sĩ sẽ lựa chọn phương pháp tối ưu dựa trên vị trí tổn thương, kích thước và sức khỏe tổng thể của bệnh nhân.

Việc dự phòng bệnh lý ung thư biểu mô đóng vai trò chủ chốt trong giảm nguy cơ tiến triển thành ung thư xâm lấn. Các chiến lược dự phòng bao gồm kiểm soát yếu tố nguy cơ, thực hiện lối sống lành mạnh, ăn uống hợp lý và tập thể dục đều đặn. Các biện pháp bao gồm:
Việc duy trì chế độ dinh dưỡng hợp lý và kiểm soát stress cũng góp phần hỗ trợ quá trình hồi phục và phòng ngừa bệnh tái phát.
Ung thư biểu mô tại chỗ là giai đoạn sớm, có tiên lượng tốt nếu được phát hiện và điều trị kịp thời. Nhận biết sớm các dấu hiệu bất thường, kiểm tra định kỳ và điều chỉnh lối sống lành mạnh là yếu tố then chốt giúp ngăn ngừa bệnh tiến triển. Cùng với sự phát triển của công nghệ chẩn đoán và điều trị hiện đại, người bệnh hoàn toàn có thể kiểm soát tốt tình trạng này, duy trì chất lượng cuộc sống và giảm thiểu nguy cơ ung thư xâm lấn trong tương lai.
Dược sĩ Đại họcNguyễn Thị Hồng Nhung
Tốt nghiệp đại học Khoa Dược. Có kinh nghiệm hơn 10 năm trong lĩnh vực Dược phẩm, tư vấn thuốc và thực phẩm chức năng. Hiện đang là giảng viên cho Dược sĩ tại Nhà thuốc Long Châu.