Từng làm ở Viện ISDS, nhiều năm cộng tác với CDC Thái Nguyên triển khai dự án phòng chống HIV/AIDS, 2 năm cộng tác với WHO.
21/06/2023
Mặc định
Lớn hơn
Ngày nay, tỉ lệ ung thư ngày càng tăng cao khiến mọi người lo lắng. Ung thư nướu răng là một trong số bệnh đang có tỉ lệ gia tăng đáng kể. Vậy ung thư nướu răng có chữa được không? Hãy cùng tìm lời giải đáp trong bài viết dưới đây nhé!
Ung thư nướu răng thường mắc ở nam giới trưởng thành nhiều hơn các đối tượng khác. Vậy ung thư nướu răng có chữa được không?
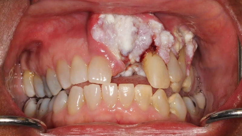
/https://cms-prod.s3-sgn09.fptcloud.com/ung_thu_nuou_rang_co_chua_duoc_khong_1_e3f7538eb2.jpg) Hình ảnh ung thư nướu răng
 Hình ảnh ung thư nướu răng Ung thư nướu răng thuộc nhóm bệnh ung thư trong miệng. Bệnh phát sinh ra do sự phát triển quá mức và không theo quy luật của một số tế bào biểu mô vảy do nhiều yếu tố nguy cơ khác nhau gây nên.
Đây chính là nguyên nhân khiến tỷ lệ nam giới mắc bệnh cao hơn nữ giới và các đối tượng khác. Việc sử dụng rượu bia, các đồ uống chứa nhiều cồn, ga hay các chất kích thích khác sẽ làm tổn thương bề mặt nướu, lâu dần sẽ hóa ác tính.
Khói thuốc lá, thuốc lào không chỉ gây ung thư phổi như nhiều người nghĩ. Các chất độc có chứa trong khói thuốc có thể làm tổn thương nướu, và tăng nguy cơ mắc ung thư nướu, cũng như ảnh hưởng xấu tới nhiều cơ quan trong cơ thể. Việc hút thuốc lá, thuốc lào chủ động hay thụ động đều làm tăng nguy cơ ung thư.
/https://cms-prod.s3-sgn09.fptcloud.com/ung_thu_nuou_rang_co_chua_duoc_khong_2_e0e7163a02.jpg) Khói thuốc lá là một trong các tác nhân gây ung thư nướu răng
 Khói thuốc lá là một trong các tác nhân gây ung thư nướu răngChăm sóc răng miệng hàng ngày là việc làm rất cần thiết để làm sạch các bộ phận trong khoang miệng. Việc lười chăm sóc răng miệng, vệ sinh răng miệng sai cách sẽ khiến các thức ăn dư thừa tồn đọng trong khoang miệng. Từ đó các vi khuẩn có hại sẽ phát sinh, phát triển và gây ra tình trạng viêm nhiễm cho răng, nướu và làm tăng nguy cơ mắc ung thư nướu răng.
Theo thống kê, những người có người thân trong gia đình mắc các bệnh ung thư, đặc biệt là ung thư nướu sẽ làm gia tăng nguy cơ mắc bệnh gấp 3 đến 4 lần so với người bình thường. Do vậy, di truyền đóng góp một phần không nhỏ vào nguyên nhân gây ung thư nướu răng.
Những người phải làm việc trong môi trường tiếp xúc hóa chất độc hại, tia UV, tia X, hoặc thường xuyên làm việc ngoài trời nắng gắt cũng tăng nguy cơ mắc bệnh ung thư nướu răng.
Ngoài các nguyên nhân kể trên thì thói quen cắn chặt nướu, nghiến răng, nhai trầu thường xuyên có thể làm tổn thương nướu và lâu dần phát sinh bệnh ung thư. Những người có chế độ ăn uống không lành mạnh, hay sử dụng đồ ăn nhanh, đồ chiên rán, ít ăn rau, ít uống nước cũng có tỉ lệ mắc bệnh cao hơn.
Ung thư nướu răng có chữa được không tùy thuộc khá nhiều vào giai đoạn phát hiện bệnh. Chính vì vậy việc phát hiện sớm các dấu hiệu nhận biết ung thư nướu răng vô cùng quan trọng. Dưới đây là một số dấu hiệu ung thư nướu răng mà bạn nên lưu tâm:
Việc xuất hiện những nốt nhiệt miệng, viêm nướu khá thường gặp ở mọi người. Thường chúng sẽ khỏi nhanh chóng sau vài ngày đến 1 tuần, đây là dấu hiệu bình thường. Nhưng nếu nốt nhiệt miệng, viêm nướu kéo dài trên 2 tuần hoặc tái đi tái lại nhiều lần thì lâu dần có thể hóa ác tính. Vì vậy khi thấy tổn thương lâu lành, vùng nướu bị sưng đỏ, lở loét kéo dài, bạn cần đi khám để phát hiện sớm ung thư nướu răng.
/https://cms-prod.s3-sgn09.fptcloud.com/ung_thu_nuou_rang_co_chua_duoc_khong_3_7e8e3a5801.jpg) Nốt nhiệt miệng lâu lành là dấu hiệu của ung thư nướu răng
 Nốt nhiệt miệng lâu lành là dấu hiệu của ung thư nướu răngTrên nướu có thể xuất hiện các khối u nhỏ, có màu sắc đỏ sậm, bề mặt sần sùi, kích thước có thể to hoặc nhỏ khác nhau. Những khối u nướu có thể gây đau, khi chạm nhẹ cũng dễ chảy máu. Khối u nướu thường tăng kích thước và số lượng theo thời gian. Đây chính là một dấu hiệu ít gặp nhưng đặc trưng cho bệnh, khi có dấu hiệu này cần đi khám để phát hiện sớm ung thư nướu.
Tổn thương tại nướu sẽ khiến chân răng lung lay, nếu tổn thương nướu sâu rộng sẽ khiến chân răng lỏng lẻo, đau răng và không thực hiện được chức năng cắn, nhai. Do vậy, tình trạng răng lung lay cũng là một trong những dấu hiệu sớm của ung thư nướu răng mà bạn có thể nhận biết.
Một dấu hiệu khác của ung thư nướu răng là vùng nướu có vết loét, nốt nhiệt miệng hay khối u có thể sưng đau, nhất là khi ăn uống, nói chuyện hoặc khi có kích thích từ bên ngoài vào. Tình trạng sưng đau có thể tái diễn nhiều lần, gây cảm giác khó chịu và ảnh hưởng đến việc ăn uống của bạn.
Bệnh nhân có thể thấy hôi miệng, chán ăn, vị giác thay đổi, ăn không thấy ngon miệng. Ở giai đoạn sau của bệnh có thể thấy chảy máu trong khoang miệng, nổi hạch ở vùng cổ và góc hàm, sụt cân nhanh chóng không rõ nguyên nhân, cơ thể mệt mỏi…
Cũng giống như nhiều bệnh ung thư khác, ung thư nướu răng có chữa được không còn tùy thuộc vào nhiều yếu tố như giai đoạn mắc bệnh, cơ địa mỗi người cũng như phương pháp điều trị.
/https://cms-prod.s3-sgn09.fptcloud.com/ung_thu_nuou_rang_co_chua_duoc_khong_4_8ba7f408ef.jpg) Ung thư nướu răng có chữa được không là thắc mắc của nhiều người bệnh
 Ung thư nướu răng có chữa được không là thắc mắc của nhiều người bệnhTheo các chuyên gia ung thư học, nếu điều trị ung thư nướu răng ở giai đoạn 1 và 2 thì tỉ lệ sống trên 5 năm lên tới 80%, nếu điều trị ở giai đoạn 3 và 4 thì tỉ lệ sống trên 5 năm khoảng 45%. Còn ở giai đoạn di căn xa, khối ung thư đã lan rộng thì tỉ lệ chữa khỏi sẽ giảm đi nhiều.
Một số phương pháp điều trị ung thư nướu răng hiện nay phải kể đến như:
Đây là phương pháp thường gặp và áp dụng trong điều trị ung thư nướu ở cả giai đoạn sớm và muộn. Các bác sĩ sẽ cắt bỏ khối u nướu, làm sạch các vùng tổn thương xung quanh, cắt bỏ các vết loét, nhiệt miệng nếu có. Đồng thời các bác sĩ sẽ nạo vét hạch bạch huyết để tránh ung thư di căn.
Hóa trị là phương pháp điều trị ung thư bằng cách đưa hóa chất vào toàn bộ cơ thể qua đường máu để tấn công các tế bào ung thư. Hóa trị có thể kết hợp với phẫu thuật để tăng hiệu quả điều trị. Việc hóa trị mang lại hiệu quả khá cao, nhưng cũng có nhiều tác dụng phụ cho bệnh nhân.
Xạ trị là sử dụng các tia năng lượng cao chiếu vào vùng tổn thương để tiêu diệt các tế bào ung thư. Phương pháp này thường được sử dụng trong điều trị ung thư nướu giai đoạn sớm và mang lại hiệu quả cao. Xạ trị có thể kết hợp với hóa trị để nâng cao kết quả điều trị.
Tùy theo tình trạng của từng bệnh nhân mà dùng thêm các thuốc giảm đau, chống viêm, chống nôn, thuốc tăng đề kháng, thuốc bổ nâng cao thể trạng… để cải thiện tình trạng bệnh, nâng cao chất lượng cuộc sống cho bệnh nhân.
Ngày nay việc sử dụng các phương pháp y học cổ truyền như thuốc đông y, châm cứu, thủy châm, cứu ngải trong điều trị ung thư nướu răng được rất nhiều người quan tâm. Mục đích của điều trị bằng y học cổ truyền chủ yếu là nâng cao thể trạng, giảm nhẹ các triệu chứng bệnh, hạn chế tác dụng phụ của các phương pháp điều trị chính giúp bệnh nhân chống chọi với bệnh tật dễ dàng hơn.
Ngoài các phương pháp trên thì chế độ ăn uống, tập luyện cũng rất quan trọng. Một chế độ ăn uống lành mạnh, đủ dinh dưỡng sẽ giúp bệnh nhân có sức khỏe tốt chống đỡ bệnh tật. Việc tập thể dục, tập dưỡng sinh, tập yoga cũng có ý nghĩa quan trọng nhằm nâng cao chất lượng cuộc sống của bệnh nhân.
Tóm lại, ung thư nướu răng có chữa được không còn phụ thuộc vào rất nhiều yếu tố khác nhau. Để có một sức khỏe tốt mỗi cá nhân nên giữ chế độ ăn uống lành mạnh, thường xuyên tập thể dục và đi khám ngay khi phát hiện bất cứ dấu hiệu bất thường nào.
Ánh Vũ
Nguồn tham khảo: Tổng hợp
Dược sĩ Đại học Nguyễn Tuấn Trịnh
Từng làm ở Viện ISDS, nhiều năm cộng tác với CDC Thái Nguyên triển khai dự án phòng chống HIV/AIDS, 2 năm cộng tác với WHO.