Từng làm ở Viện ISDS, nhiều năm cộng tác với CDC Thái Nguyên triển khai dự án phòng chống HIV/AIDS, 2 năm cộng tác với WHO.
Kim Toàn
03/06/2024
Mặc định
Lớn hơn
Não bộ - cỗ máy tinh vi điều khiển mọi hoạt động của con người - ẩn chứa trong mình vô số bí ẩn. Một trong số đó là câu chuyện về thể chai, "cầu nối" quan trọng giúp hai bán cầu não trao đổi thông tin với nhau. Khi thể chai không được hình thành, hệ quả sẽ ra sao? Liệu con đường phát triển của trẻ sẽ bị ảnh hưởng như thế nào? Hãy cùng khám phá về bất sản thể chai, căn bệnh hiếm gặp nhưng vô cùng phức tạp này.
Bất sản thể chai (Agenesis of the Corpus Callosum) là một tình trạng bẩm sinh khi thể chai - cấu trúc nối hai bán cầu não - không phát triển đầy đủ hoặc không phát triển. Thể chai giúp điều phối và truyền tải thông tin giữa hai bán cầu, nên sự bất thường này có thể gây ra nhiều vấn đề về thần kinh và hành vi. Vậy cần làm gì khi phát hiện bất sản thể chai trong thai kỳ? Chúng ta cùng tìm hiểu qua bài viết dưới đây nhé!
Thể chai (corpus callosum) là một bó lớn các sợi thần kinh (chất trắng) nối hai bán cầu não trái và phải với nhau, giúp cho hai bên bán cầu có thể giao tiếp và trao đổi thông tin một cách hiệu quả.
Chức năng của thể chai rất quan trọng trong việc đồng bộ hóa hoạt động của hai bán cầu não, cho phép chúng hoạt động một cách phối hợp và hợp nhất. Các nhiệm vụ như ngôn ngữ, vận động và cảm giác thường yêu cầu sự tương tác giữa hai bán cầu não, và thể chai chính là cầu nối giúp điều này diễn ra.
Một số bất thường có thể ảnh hưởng đến thể chai, bao gồm bất sản hoàn toàn hoặc một phần, rối loạn phát triển (hình dạng bất thường) hoặc giảm sản (giảm độ dày). Những dị tật này có thể xảy ra riêng lẻ; liên quan đến rối loạn nhiễm sắc thể, hội chứng hoặc đơn gen hoặc hiếm khi là thứ phát do các nguyên nhân nhiễm trùng, thiếu máu cục bộ hoặc gây quái thai.

Bất sản thể chai (ACC) là một tình trạng y học trong đó thể chai (corpus callosum) của não không phát triển đầy đủ hoặc hoàn toàn không phát triển. Đây là một dị tật bẩm sinh ảnh hưởng đến hệ thần kinh trung ương và có thể dẫn đến nhiều vấn đề khác nhau về thần kinh và hành vi.
Nguyên nhân của bất sản thể chai không đồng nhất, có thể bao gồm các yếu tố di truyền, đột biến gen hoặc các yếu tố môi trường trong thời kỳ mang thai. Một số trường hợp có thể liên quan đến các hội chứng di truyền như hội chứng Aicardi, hội chứng Andermann, hội chứng FG hoặc hội chứng Dandy-Walker.
ACC đã được mô tả có liên quan đến hơn 200 hội chứng di truyền và dị thường nhiễm sắc thể. Các bất thường về cấu trúc và các phát hiện liên quan đến hội chứng là phổ biến. Các dị tật ngoài não của thai nhi được thấy ở nhiều hệ thống cơ quan và hiện diện ở khoảng 60% trường hợp ACC, trong đó dị tật tim và đường sinh dục là phổ biến nhất.
Các bất thường về não bổ sung cùng tồn tại xảy ra ở 46% trường hợp ACC. Một số bất thường này được hình dung rõ hơn bằng chụp cộng hưởng từ (MRI) và một số khác chỉ biểu hiện ở giai đoạn cuối thai kỳ hoặc sau sinh. Các bất thường não đồng thời được chẩn đoán phổ biến nhất là hội chứng Dandy-Walker, rối loạn phát triển giun tròn, rối loạn di chuyển tế bào thần kinh, đa nang và dị tật chất xám.
Triệu chứng của bất sản thể chai có thể rất đa dạng, từ nhẹ đến nghiêm trọng, và có thể bao gồm:

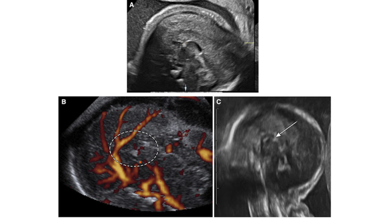
ACC thường được chẩn đoán thông qua các kỹ thuật hình ảnh như chụp cộng hưởng từ (MRI) hoặc chụp cắt lớp vi tính (CT). Các phương pháp này giúp bác sĩ nhìn thấy sự hiện diện hoặc thiếu vắng của thể chai.
Dưới đây là các bước thực hiện khi phát hiện ACC trong thai kỳ:
Thời gian phát hiện ACC thường từ tuần thứ 18 của thai kỳ. Một số nghiên cứu mới đã chỉ ra rằng các dấu hiệu sớm có thể được phát hiện từ tuần thứ 13. Ở Việt Nam, bất sản thể chai thường được phát hiện trong giai đoạn siêu âm hình thái quý 2 từ tuần thứ 20 đến 22.
Các nghiên cứu cho thấy đột biến gen có mặt ở 30% (17/35) các trường hợp bất sản thể chai đơn độc và lên tới 44% (7/15) trong các trường hợp có đi kèm bất thường khác. Nếu không chọc ối, có thể lấy mẫu máu em bé sau sinh để xét nghiệm nhằm chẩn đoán xác định.
Siêu âm hệ thần kinh chi tiết hoặc MRI từ tuần thứ 30 đến 32, nhằm phát hiện thêm các bất thường khác, đặc biệt là nhóm bất thường phát triển vỏ não.
Bất thường nhiễm sắc thể, gen hoặc bất thường nặng trên siêu âm, MRI thì sẽ được tư vấn kỹ lưỡng về tiên lượng thai nhi. Các trường hợp không có bất thường khác trên siêu âm, MRI và chọc ối được gọi là bất sản thể chai đơn độc. Tiên lượng phát triển thần kinh của nhóm này thường tốt hơn, với tỷ lệ phát triển bình thường từ 65% đến 80%.
Cần theo dõi và đánh giá sự phát triển thần kinh của bé sau sinh để có biện pháp hỗ trợ kịp thời. Bên cạnh đó, các nghiên cứu cho thấy sự đồng hành và chăm sóc của bà mẹ góp phần quan trọng giúp các em bé bất sản thể chai có kết quả phát triển thần kinh tốt hơn.

Tóm lại, việc phát hiện sớm và theo dõi chặt chẽ bất sản thể chai trong thai kỳ, kết hợp với sự hỗ trợ sau sinh, có thể giúp cải thiện tiên lượng và sự phát triển của trẻ bị bất sản thể chai.
Hiện nay, không có cách chữa trị dứt điểm cho bất sản thể chai, nhưng các biện pháp hỗ trợ và điều trị triệu chứng có thể giúp cải thiện chất lượng cuộc sống của người bệnh. Các phương pháp điều trị có thể bao gồm:
Bất sản thể chai là một tình trạng phức tạp và mỗi trường hợp có thể có những biểu hiện và thách thức khác nhau. Việc chăm sóc và hỗ trợ từ gia đình, nhà trường và các chuyên gia y tế là rất quan trọng để giúp người bệnh phát triển tốt nhất có thể.
Dược sĩ Đại học Nguyễn Tuấn Trịnh
Từng làm ở Viện ISDS, nhiều năm cộng tác với CDC Thái Nguyên triển khai dự án phòng chống HIV/AIDS, 2 năm cộng tác với WHO.