Tốt nghiệp đại học Khoa Dược. Có kinh nghiệm hơn 10 năm trong lĩnh vực Dược phẩm, tư vấn thuốc và thực phẩm chức năng. Hiện đang là giảng viên cho Dược sĩ tại Nhà thuốc Long Châu.
Thu Hồng
10/01/2024
Mặc định
Lớn hơn
Bệnh nấm Histoplasmosis thường không tạo ra triệu chứng hoặc chỉ gây ra các triệu chứng nhẹ, tương tự như cảm lạnh hoặc cảm giác mệt mỏi. Tuy nhiên, trong các trường hợp nhiễm trùng nặng, đặc biệt là ở những người có hệ miễn dịch suy yếu có thể gây ra các triệu chứng nhiễm trùng trong hệ thống đường hô hấp. Cùng tìm hiểu cụ thể Histoplasmosis là bệnh gì nhé.
Bệnh nấm Histoplasmosis có thể không gây ra bất kỳ triệu chứng đáng kể nào đối với sức khỏe người bệnh. Tuy nhiên, ở nhóm người cao tuổi hoặc có hệ miễn dịch suy giảm, có thể xuất hiện tình trạng nhiễm trùng nặng và biến chứng kéo dài. Điều này có thể dẫn đến những vấn đề sức khỏe nghiêm trọng như sốt, ho, đau ngực và khó thở. Đặc biệt, sự hiểu biết về bệnh nhiễm nấm histoplasmosis thường rất hạn chế, do đó, việc thực hiện các biện pháp chủ động trong việc phòng ngừa và phát hiện bệnh càng trở nên quan trọng.
Bệnh nấm Histoplasmosis là một bệnh lý xuất phát khi người bệnh nhiễm vi khuẩn nấm Histoplasmosis capsulatum. Nấm này thường xâm nhập vào cơ thể qua đường hô hấp và phát triển trong hệ thống tế bào võng nội mô. Trong trường hợp người khỏe mạnh, nấm thường chỉ gây ra nhiễm trùng phổi nhẹ mà không xuất hiện triệu chứng hoặc chỉ có các triệu chứng nhẹ và thoáng qua.
Tuy nhiên, ở những người có hệ miễn dịch suy yếu, người già và trẻ em, nấm có thể lan rộng đến nhiều cơ quan khác nhau như hệ bạch huyết, hệ thần kinh, tim, phổi, gây ra các tổn thương nghiêm trọng và đe dọa tính mạng của người bệnh.
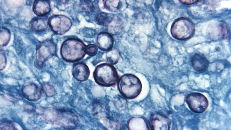
Nấm Histoplasmosis capsulatum chia thành hai chủng chính là Histoplasmosis capsulatum var. capsulatum và Histoplasmosis capsulatum var. duboisii. Chúng sống hoại sinh trong đất, đặc biệt là đất chứa phân của chim, phân dơi, đất ở chuồng gà và các nơi trú đậu của các loài chim cư trú, cũng như trong hang dơi. Nấm thường xuất hiện trên bề mặt đất và ít khi được tìm thấy ở lớp đất dưới 25cm. Nấm Histoplasmosis capsulatum var. capsulatum là nguyên nhân chủ yếu gây bệnh và phổ biến trên toàn thế giới. Ngược lại, nơi cư trú của nấm Histoplasmosis capsulatum var. duboisii chưa được xác định rõ, nhưng có xu hướng xuất hiện ở Châu Phi.
Nấm Histoplasmosis capsulatum var. capsulatum ở dạng men thường có đường kính từ 2-4 µm, trong khi nấm Histoplasmosis capsulatum var. duboisii có đường kính lớn hơn, khoảng từ 7-15 µm.

Nấm Histoplasmosis capsulatum var. capsulatum thường không gây triệu chứng hoặc chỉ gây ra các triệu chứng nhẹ, thoáng qua ở khoảng 95% các bệnh nhân. Trong số ít bệnh nhân còn lại, vi khuẩn nấm này có thể gây nhiễm trùng phổi, gây ra viêm phổi cấp tính hoặc mãn tính, và cũng có thể tạo ra tổn thương ở mắt, da, niêm mạc hoặc lan tỏa đến nhiều cơ quan khác nhau.
Viêm phổi cấp tính thường không có triệu chứng hoặc có những triệu chứng như sốt, ho, đau xương ức, đau đầu, và mệt mỏi. Chụp X-quang phổi có thể chỉ ra sự xuất hiện của các hạch rốn phổi và các nốt trắng rải rác hai bên lá phổi.
Viêm phổi mãn tính thường đi kèm với các triệu chứng như ho có đờm, ho ra máu, sốt, mệt mỏi, giảm cân và có thể xuất hiện các biểu hiện của khí phế thủng và viêm phế quản mạn tính như ho vào buổi sáng và khó thở khi gắng sức.
Nhiễm bệnh nấm Histoplasmosis ở mắt có thể gây ra hội chứng Histoplasmosis mắt, một nguyên nhân phổ biến gây mất thị lực ở người từ 20-40 tuổi. Ban đầu không có triệu chứng, nhưng sau một thời gian người bệnh có thể trải qua thay đổi về thị lực như đường lượn sóng và điểm mù.
Tổn thương da, niêm mạc thường biểu hiện dưới dạng các vết loét có vảy, kèm theo sưng hạch và có thể xuất hiện ở da hoặc niêm mạc môi miệng, thanh quản và vùng sinh dục.
Thể nhiễm nấm lan tỏa là một tình trạng hiếm gặp nhưng nghiêm trọng, thường gây tổn thương đa cơ quan và có thể dẫn đến tử vong, đặc biệt ở những người suy giảm miễn dịch, người cao tuổi, và trẻ nhỏ. Triệu chứng có thể bao gồm sốt, mệt mỏi, và tổn thương ở nhiều cơ quan khác nhau như phổi, gan, lá lách, hạch bạch huyết, da, niêm mạc, màng não, màng trong tim và hệ tiêu hóa.

Người bệnh bị tổn thương ở da, niêm mạc, xương và hạch bạch huyết khi mắc bệnh nấm Histoplasmosis. Trong nhiều trường hợp, những tổn thương này không tự khỏi mà đòi hỏi sự can thiệp điều trị chuyên sâu. Thể nhiễm nấm lan tỏa ít gặp, nhưng khi xảy ra, nó cũng đòi hỏi phác đồ điều trị đặc biệt để kiểm soát và đối phó với tổn thương trên nhiều cơ quan khác nhau.
Bên cạnh vấn đề Histoplasmosis là bệnh gì, điều trị nhiễm nấm Histoplasmosis cũng rất được quan tâm. Khi nhiễm nấm Histoplasmosis không gây nhiễm trùng nặng hoặc không xuất hiện triệu chứng ở người khỏe mạnh, việc điều trị thường không cần thiết. Trong nhiều trường hợp, triệu chứng sẽ tự khỏi mà không cần can thiệp điều trị, nhưng cũng có trường hợp nền bệnh kéo dài và nấm phát triển gây tổn thương nặng, lâu phục hồi hơn. Trong những tình huống như này, việc sử dụng thuốc kháng nấm sẽ có tác dụng tích cực.
Đối với người khỏe mạnh, việc sử dụng thuốc kháng nấm chỉ cần kéo dài sau khi triệu chứng biến mất tối đa một năm. Tuy nhiên, ở những người có hệ miễn dịch yếu, điều trị cần được thực hiện suốt đời để ngăn ngừa nguy cơ tái phát.
Trong quá trình điều trị bằng thuốc kháng nấm, sự kiên trì là rất quan trọng. Mặc dù triệu chứng có thể cải thiện nhanh chóng, nhưng việc ngừng sử dụng thuốc quá sớm có thể dẫn đến tái phát của bệnh. Việc không tuân thủ điều trị có thể tăng nguy cơ xuất hiện các vấn đề sức khỏe khác do thuốc gây ra.
Ngoài ra, các biện pháp hỗ trợ như duy trì chế độ ăn uống cân đối, thực hiện tập thể dục đều đặn, loại bỏ các thói quen xấu và giữ giấc ngủ đủ giấc cũng rất quan trọng trong việc cải thiện hệ miễn dịch chống lại nhiễm trùng. Hạn chế tiếp xúc trực tiếp với nguồn nguy cơ lây nhiễm nấm Histoplasmosis như chuồng gà, hang động và các tòa nhà cũ cũng là biện pháp quan trọng để ngăn chặn lây nhiễm.

Nhiễm nấm Histoplasmosis đặt ra nguy cơ nghiêm trọng đối với những đối tượng có hệ miễn dịch suy yếu như người già, trẻ nhỏ, và những người mắc các tình trạng suy giảm miễn dịch. Biến chứng của bệnh có thể đe dọa tính mạng, do đó, khi xuất hiện các triệu chứng đáng nghi, việc tìm kiếm sự chăm sóc y tế là rất quan trọng. Việc khám và điều trị sớm giúp khắc phục kịp thời tình trạng bệnh, đồng thời ngăn chặn tiềm ẩn của bệnh lý và giảm nguy cơ biến chứng nghiêm trọng. Hi vọng thông tin từ bài viết đã giúp bạn hiểu được "Histoplasmosis là bệnh gì?".
Dược sĩ Đại họcNguyễn Thị Hồng Nhung
Tốt nghiệp đại học Khoa Dược. Có kinh nghiệm hơn 10 năm trong lĩnh vực Dược phẩm, tư vấn thuốc và thực phẩm chức năng. Hiện đang là giảng viên cho Dược sĩ tại Nhà thuốc Long Châu.