Dược sĩ Đại học có nhiều năm kinh nghiệm trong việc tư vấn Dược phẩm và hỗ trợ giải đáp thắc mắc về Bệnh học. Hiện đang là giảng viên cho Dược sĩ tại Nhà thuốc Long Châu.
Chí Doanh
03/03/2024
Mặc định
Lớn hơn
Với sự phát triển không ngừng của công nghệ hình ảnh, chẩn đoán hình ảnh đã thay đổi từ một phương tiện kiểm tra phụ trợ thành phương pháp chẩn đoán lâm sàng và chẩn đoán phân biệt quan trọng nhất trong y học hiện đại. Bài viết này sẽ cung cấp thông tin cơ bản của một số kỹ thuật chẩn đoán hình ảnh phổ biến hiện nay.
Chẩn đoán hình ảnh là một chuyên môn trong khoa X-quang hoặc y học hạt nhân và là một lĩnh vực y học có tính kỹ thuật cao, sử dụng công nghệ máy tính hiện đại để phán đoán và đánh giá tình trạng sức khỏe con người. Nhiều kỹ thuật trong chẩn đoán hình ảnh y tế đã được sử dụng rộng rãi trong nghiên cứu khoa học và công nghiệp, bao gồm chụp X-quang, siêu âm, CT (chụp cắt lớp điện toán), MRI (chụp cộng hưởng từ), chụp nhũ ảnh, soi huỳnh quang, chụp PET (chụp cắt lớp phát xạ positron),...
Công nghệ siêu âm là phương pháp phát hiện y tế không xâm lấn, nguyên lý của nó là tận dụng đặc tính phản xạ và tán xạ của sóng siêu âm khi chúng lan truyền trong các mô để chụp ảnh. Siêu âm chẩn đoán sử dụng chùm âm thanh siêu âm để quét qua cơ thể và thông qua công nghệ kỹ thuật điện tử để truyền, nhận và chuyển đổi sóng siêu âm cũng như phân tích, xử lý và hiển thị nhanh chóng của máy tính điện tử, các đặc điểm vật lý, cấu trúc hình thái và chức năng của mô mềm của con người có thể được kiểm tra không xâm lấn, cung cấp sơ đồ giải phẫu của một số mô tuyến, xác định thai nhi bình thường hay bất thường, cho phép hình dung các cơ và các cơ quan nội tạng bao gồm kích thước, cấu trúc và bệnh lý của chúng để xác định tình trạng của bệnh.
Việc thu được hình ảnh siêu âm chất lượng tốt phụ thuộc vào nhiều yếu tố khác nhau, chẳng hạn như thiết bị siêu âm được sử dụng, kỹ thuật của người thực hiện và kiến thức của người đó về các nguyên tắc vật lý của kỹ thuật hình ảnh y tế này.
Công nghệ siêu âm chủ yếu được sử dụng trong chẩn đoán hình ảnh, sinh trắc học, siêu âm trị liệu,... và có nhiều ứng dụng trong y học. Đây là một công cụ chẩn đoán an toàn và đáng tin cậy vì nó không yêu cầu sử dụng bức xạ phóng xạ. Nó được sử dụng rộng rãi trong phụ khoa, sản khoa, các bệnh về đường tiêu hóa, hệ tiết niệu, bệnh tim,... và có thể phát hiện ra rất nhiều bệnh lý như viêm ruột thừa, xơ gan, sỏi thận,...
Trong những năm gần đây, công nghệ siêu âm đã tiếp tục phát triển như hiển thị thang độ xám và hiển thị màu, chụp ảnh thời gian thực, chụp ảnh ba chiều siêu âm, chụp ảnh siêu âm xuyên thấu, chụp cắt lớp siêu âm, chụp ảnh siêu âm khoang nội tạng,...

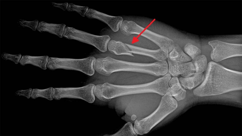
Tia X có thể tạo thành hình ảnh cơ thể con người trên màn hình hoặc phim dựa trên sự khác biệt về mật độ và độ dày của mô người. Do sự khác biệt này, khi tia X đi qua các cấu trúc mô khác nhau của cơ thể con người, chúng bị hấp thụ ở các mức độ khác nhau nên lượng tia X tới màn hình hoặc phim cũng khác nhau. Hình ảnh có độ tương phản đen trắng khác nhau được hình thành trên màn hình hoặc phim X-quang. Dựa trên sự tương phản đó, kết hợp với các biểu hiện lâm sàng, kết quả xét nghiệm và chẩn đoán bệnh lý, có thể đánh giá liệu một bộ phận nào đó trên cơ thể con người có bình thường hay không.
Ngay khi tia X được phát hiện đã cho thấy giá trị ứng dụng y học rất lớn, các nhà khoa học y tế đã sử dụng tia X để hiển thị chính xác vị trí gãy xương trên cơ thể con người. Theo thời gian, X-quang đã trở thành thiết bị không thể thiếu trong điều trị y tế hiện đại. Hiện nay, tia X không chỉ được sử dụng rộng rãi trong chẩn đoán và điều trị trong y học, trở thành vũ khí đắc lực giúp con người đánh bại bệnh tật mà còn được sử dụng cho các mục đích y tế không thể thiếu.

Chụp nhũ ảnh là kỹ thuật sử dụng tia X liều thấp để kiểm tra tuyến vú của con người (chủ yếu là phụ nữ). Nó có thể phát hiện nhiều khối u vú, u nang, các tổn thương khác và giúp phát hiện sớm ung thư vú.
Chụp MRI hay chụp cộng hưởng từ là kỹ thuật sử dụng nguyên lý cộng hưởng từ hạt nhân dựa trên sự suy giảm khác nhau của năng lượng được giải phóng trong các môi trường cấu trúc khác nhau bên trong vật liệu, dựa vào đó có thể vẽ ra hình ảnh cấu trúc bên trong của vật thể.
Chẩn đoán hình ảnh bằng MRI giúp chụp ảnh các cấu trúc bên trong cơ thể con người đã tạo ra một công cụ chẩn đoán y tế mang tính cách mạng. Việc sử dụng từ trường tĩnh để chụp ảnh các mô của con người giúp phản ánh những bất thường của cơ quan con người và những thay đổi bệnh lý sớm từ bên trong các phân tử cơ thể, khiến việc ứng dụng công nghệ này trong chẩn đoán lâm sàng và nghiên cứu khoa học phát triển nhanh chóng. Chụp MRI có thể giúp phát hiện và chẩn đoán bệnh tim, tai biến mạch máu não (đột quỵ), các bệnh về mạch máu, khối u,... Vì MRI không có nguy cơ phơi nhiễm phóng xạ nên nó thường được sử dụng để phát hiện và chẩn đoán các bệnh về hệ sinh sản, vú, xương chậu và bàng quang. Nó có giá trị lớn trong việc chẩn đoán các bệnh ở các hệ thống khác nhau của cơ thể, đặc biệt là trong chẩn đoán các khối u sớm.

Chụp CT là phương pháp chụp cắt lớp vi tính điện tử, sử dụng bộ chuyển đổi kỹ thuật số thành tín hiệu số và đưa chúng vào máy tính để xử lý. Kỹ thuật này có thể phát hiện chính xác những khác biệt nhỏ về mật độ giữa các mô khác nhau trên mặt phẳng giải phẫu cắt ngang.
Chụp CT là phương pháp kiểm tra lý tưởng để quan sát các tổn thương xương, khớp và mô mềm. Trong chẩn đoán viêm khớp , nó chủ yếu được sử dụng để kiểm tra cột sống, đặc biệt là các khớp cùng chậu. Bên cạnh đó, chụp CT còn có giá trị chẩn đoán cao đối với các bệnh về hệ thần kinh trung ương, khối u nội sọ, áp xe và u hạt, bệnh ký sinh trùng, tụ máu do chấn thương,... Chụp CT các bệnh vùng bụng và vùng chậu ngày càng được sử dụng để chẩn đoán các bệnh về gan, túi mật, tuyến tụy, lá lách, khoang phúc mạc,... Đặc biệt là các tổn thương chiếm không gian, tổn thương viêm và chấn thương,...

Chụp cắt lớp điện toán phát xạ Positron (PET) là một công nghệ hình ảnh khám lâm sàng, cung cấp hình ảnh ba chiều và chức năng của toàn bộ cơ thể tương đối tiên tiến trong lĩnh vực y học hạt nhân. Đây là công nghệ duy nhất sử dụng hình thái giải phẫu để thực hiện hình ảnh chức năng, chuyển hóa và thụ thể, không xâm lấn và hiện là một trong những phương pháp lâm sàng tốt nhất để chẩn đoán và hướng dẫn điều trị khối u.
Chụp PET được thực hiện bằng cách tiêm vào cơ thể chất đánh dấu PET như glucose, protein, axit nucleic và axit béo đánh dấu hạt nhân phóng xạ có thời gian tồn tại ngắn, sau khi được tiêm vào cơ thể con người, thông qua sự tích tụ chất trong quá trình trao đổi chất, nó có thể phản ánh các hoạt động trao đổi chất của sự sống, từ đó đạt được mục đích chẩn đoán. Ở các tế bào ung thư, chúng có khả năng chuyển hóa cao, quá trình chuyển hóa chất tiêm vào diễn ra mạnh mẽ và tích tụ nhiều hơn, những đặc điểm này có thể được phản ánh qua hình ảnh, nhờ đó có thể chẩn đoán và phân tích các tổn thương.

Tóm lại, chẩn đoán hình ảnh có thể cung cấp thông tin quan trọng về sức khoẻ của một cá nhân. Với công nghệ không xâm lấn tiên tiến, bác sĩ có thể sàng lọc sớm các tình trạng sức khỏe có thể xảy ra, chẩn đoán bệnh và đề xuất phương pháp điều trị thích hợp, mang lại kết quả điều trị tốt hơn cho từng bệnh nhân.
Dược sĩ Đại họcNguyễn Mỹ Huyền
Dược sĩ Đại học có nhiều năm kinh nghiệm trong việc tư vấn Dược phẩm và hỗ trợ giải đáp thắc mắc về Bệnh học. Hiện đang là giảng viên cho Dược sĩ tại Nhà thuốc Long Châu.