Tốt nghiệp Đại học Dược Hà Nội, với hơn 10 năm kinh nghiệm trong lĩnh vực Dược phẩm. Hiện là giảng viên giảng dạy các môn Dược lý, Dược lâm sàng,...
Thị Diểm
15/08/2024
Mặc định
Lớn hơn
Nang màng ngoài tim là một loại u nang thường xuất hiện ở màng bên ngoài của tim và có thể gây ra nhiều vấn đề sức khỏe nếu không được chẩn đoán, điều trị kịp thời. Triệu chứng của nang màng ngoài tim thường không rõ ràng, thường bị nhầm lẫn với nhiều bệnh tim khác.
Tim chính là cơ quan quan trọng nhất, là trung tâm của hệ thống tuần hoàn trong cơ thể con người. Sự khỏe mạnh của tim đóng vai trò quyết định đến sức khỏe tổng thể của cơ thể. Vì thế, các bệnh tim mạch đều mang tính nguy hiểm, ảnh hưởng trực tiếp đến chất lượng cuộc sống và tuổi thọ của mỗi người.
Nang màng ngoài tim - một căn bệnh phổ biến ngày nay, đứng thứ hai trong bệnh lý u nang trung thất gây nhiều hoang mang lo lắng. Cùng tìm hiểu các triệu chứng khi bị nang màng ngoài tim để có hướng xử lý kịp thời nhé.
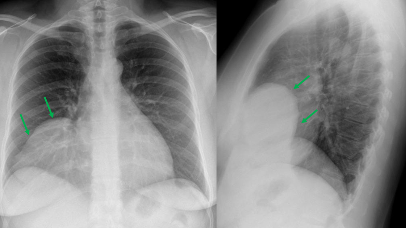
Nang màng ngoài tim bao gồm lá thành và lá tạng, tạo nên một khoang màng ngoài tim chứa khoảng 30 - 50ml dịch. U nang màng ngoài tim thường là kết quả của quá trình hình thành các khoảng cách, thường không gây ra triệu chứng trừ khi khối nang to dần lên, do đó nó chèn ép các cơ quan lân cận. Chúng thường xuất hiện ở độ tuổi từ 30 - 40 tuổi trở lên, thường tìm thấy nhiều nhất ở góc cơ tim trước bên phải, nhưng có thể xuất hiện ở nhiều vị trí khác.

Nang màng ngoài tim là bệnh lý bẩm sinh phổ biến thứ hai trong bệnh lý u nang trung thất, chiếm gần 6% khối u trung thất và khoảng 33% các tổn thương nang trung thất. Triệu chứng thường gặp bao gồm ho mãn tính, đau ngực, cảm giác đè ép vùng sau xương ức và rối loạn nhịp tim. Một số triệu chứng ít gặp có thể bao gồm ngất tái phát, viêm phổi, suy tim sung huyết, nguy cơ đột tử do nguyên nhân tim mạch.
Nguyên nhân gây ra nang màng ngoài tim thường liên quan đến các bất thường trong quá trình hình thành các khoảng hở trong màng ngoài tim. Điều này có thể là kết quả của một số yếu tố, bao gồm:

Các triệu chứng thường gặp của nang màng ngoài tim là một dải đa dạng các biểu hiện, từ những cảm giác không thoải mái như ho mãn tính và cảm giác đè ép vùng sau xương ức đến những biểu hiện đau đớn như đau ngực. Ngoài ra, có thể xuất hiện các triệu chứng không mong muốn như hồi hộp tái phát do rối loạn nhịp tim hoặc cảm giác khó thở do viêm đường hô hấp dưới. Tuy nhiên, cũng cần chú ý đến những dấu hiệu ít gặp như ngất tái phát, viêm phổi, suy tim sung huyết, nguy cơ đột tử do nguyên nhân tim mạch.
Mặc dù nang màng tim thường được coi là lành tính, nhưng không thể bỏ qua các biến chứng tiềm ẩn mà bệnh lý này có thể gây ra. Các biến chứng có thể bao gồm chèn ép vào các cấu trúc lân cận của tim, gây viêm, xuất huyết hoặc thậm chí là vỡ khối u. Do đó, việc theo dõi và điều trị các biến chứng là rất quan trọng, để ngăn chặn những hậu quả nghiêm trọng của nang màng tim, bảo vệ sức khỏe toàn diện của cơ thể.
Dù có nhiều phương pháp chẩn đoán hiện đại, việc lựa chọn phương pháp nào phụ thuộc vào từng trường hợp cụ thể và được thực hiện dưới sự hướng dẫn của các chuyên gia y tế có kinh nghiệm. Dưới đây là một số phương pháp:

Hy vọng thông tin từ Nhà thuốc Long Châu đã giúp bạn hiểu rõ hơn về bệnh lý nang màng ngoài tim. Đừng bỏ qua bất kỳ dấu hiệu nào liên quan đến sức khỏe tim mạch và hãy đi khám bác sĩ khi cần thiết.
Xem thêm:
Dược sĩ Đại họcNguyễn Thanh Hải
Tốt nghiệp Đại học Dược Hà Nội, với hơn 10 năm kinh nghiệm trong lĩnh vực Dược phẩm. Hiện là giảng viên giảng dạy các môn Dược lý, Dược lâm sàng,...