Tốt nghiệp đại học Khoa Dược. Có kinh nghiệm hơn 10 năm trong lĩnh vực Dược phẩm, tư vấn thuốc và thực phẩm chức năng. Hiện đang là giảng viên cho Dược sĩ tại Nhà thuốc Long Châu.
Thu Hồng
26/07/2024
Mặc định
Lớn hơn
Chụp cắt lớp vi tính phổi là một trong các phương pháp chẩn đoán chủ yếu được sử dụng để phát hiện các bất thường trong phổi. Dựa vào kết quả của xét nghiệm này, bác sĩ có thể đưa ra chẩn đoán chính xác, đồng thời lựa chọn phương pháp điều trị phù hợp và hiệu quả nhất. Cùng tìm hiểu nhé.
Chụp cắt lớp vi tính phổi là một trong những phương pháp xét nghiệm hàng đầu để đảm bảo không bỏ sót khoảng 30% tổn thương khó nhìn tại phổi. Không chỉ vậy, phương pháp này cũng giúp xác định mức độ, vị trí và đặc điểm của tổn thương, cũng như các bệnh lý liên quan đến phổi. Kết quả của xét nghiệm cung cấp cho bác sĩ hình ảnh chi tiết về tổn thương hoặc các vấn đề bất thường, từ đó giúp đưa ra phác đồ điều trị phù hợp.
Chụp cắt lớp vi tính phổi, hay còn gọi là chụp CT phổi, là một trong các phương pháp hình ảnh học được sử dụng rộng rãi để đưa ra chẩn đoán và theo dõi điều trị các bệnh lý phổi. Quá trình này liên quan đến việc sử dụng nhiều hình ảnh X-quang chụp từ các góc độ khác nhau, sau đó kết hợp chúng lại để tạo ra hình ảnh cắt ngang và 3D của cấu trúc bên trong màng phổi.
Mục đích chính của xét nghiệm này là phát hiện các cấu trúc bất thường trong phổi hoặc các dấu hiệu bất thường góp phần gây ra các triệu chứng mà bệnh nhân đang trải qua. Ngoài việc giúp chẩn đoán bệnh hoặc tổn thương trong phổi, chụp CT cũng có thể được sử dụng để hướng dẫn các quy trình điều trị cụ thể để đảm bảo tính chính xác. Nhiều chuyên gia y tế sử dụng kết quả chụp CT phổi để quyết định kế hoạch điều trị tốt nhất cho bệnh nhân, bao gồm cả việc kê đơn thuốc, lựa chọn phẫu thuật hoặc quyết định liệu trình xạ trị.
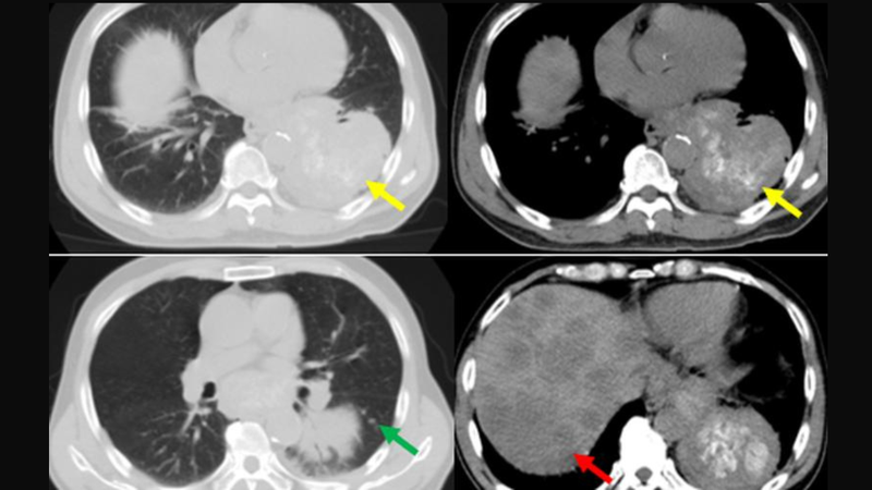
Ngoài ra, việc thực hiện chụp cắt lớp vi tính phổi có thể hữu ích hơn trong việc chẩn đoán khối u phổi so với việc sử dụng chụp X-quang phổi thông thường. Bằng cách này, bác sĩ có thể xác định vị trí, kích thước và hình dạng của khối u phổi, cũng như kiểm tra sự hiện diện của các hạch bạch huyết hoặc dấu hiệu lây lan của tế bào ung thư từ phổi.

Thực hiện chụp cắt lớp vi tính phổi được bác sĩ chỉ định thường xuyên trong các trường hợp sau:
Trong các trường hợp cần đánh giá sự phát triển của khối u hoặc phản ứng của cơ thể đối với phác đồ điều trị, để theo dõi và điều chỉnh kế hoạch điều trị khi cần.

Trước khi thực hiện chụp cắt lớp vi tính phổi, bệnh nhân thường sẽ được hướng dẫn:
Chụp cắt lớp vi tính phổi là một quy trình xét nghiệm không xâm lấn, mang lại kết quả chính xác và thường diễn ra nhanh chóng mà không gây khó chịu cho bệnh nhân. Trước khi bắt đầu, bệnh nhân sẽ được hướng dẫn chi tiết bởi bác sĩ và kỹ thuật viên để cùng phối hợp trong quá trình xét nghiệm.
Bệnh nhân sẽ nằm trên bàn của máy CT, tư thế thả lỏng, với hai tay giơ qua đầu hoặc duỗi dọc theo cơ thể. Đồng thời, bệnh nhân sẽ được cố định bằng dây đai và gối để đảm bảo vị trí ổn định trong suốt quá trình kiểm tra. Bất kỳ chuyển động nhỏ nào từ bệnh nhân cũng có thể làm mờ ảnh và ảnh hưởng đến chất lượng kết quả.
Kỹ thuật viên sẽ hướng dẫn bệnh nhân hít thở nhiều lần, và nín thở trong quá trình chụp để đảm bảo hình ảnh rõ nét. Điều này giúp tránh tình trạng mờ ảnh do chuyển động nhỏ như hơi thở.
Quá trình chụp bao gồm việc chụp toàn bộ phần lồng ngực từ cổ đến cơ hoành, sau đó chụp các lớp cắt liên tiếp từ đỉnh phổi đến góc sườn hoành, với độ dày lớp cắt thường từ 1 - 2mm.
Chụp cắt lớp vi tính phổi là một phương pháp chẩn đoán hình ảnh mang lại độ chính xác cao trong việc phát hiện và chẩn đoán các bệnh lý phổi, đặc biệt là các bệnh lý nguy hiểm như viêm phổi, ung thư phổi. Để đảm bảo kết quả chính xác nhất, việc chọn các cơ sở có máy móc chụp cắt lớp vi tính phổi chất lượng là điều rất quan trọng.

Chụp cắt lớp vi tính phổi là một trong những kỹ thuật chẩn đoán hàng đầu cho việc phát hiện các bệnh lý liên quan đến phổi, đặc biệt là khối u phổi. Kỹ thuật này mang lại giá trị chẩn đoán cao bằng cách tạo ra hình ảnh chi tiết và rõ ràng về cấu trúc bên trong phổi, giúp bác sĩ phát hiện sớm các dấu hiệu của khối u phổi, bao gồm cả các khối u lành tính và ác tính.
Xem thêm:
Dược sĩ Đại họcNguyễn Thị Hồng Nhung
Tốt nghiệp đại học Khoa Dược. Có kinh nghiệm hơn 10 năm trong lĩnh vực Dược phẩm, tư vấn thuốc và thực phẩm chức năng. Hiện đang là giảng viên cho Dược sĩ tại Nhà thuốc Long Châu.