Tốt nghiệp Đại học Dược Hà Nội, với hơn 10 năm kinh nghiệm trong lĩnh vực Dược phẩm. Hiện là giảng viên giảng dạy các môn Dược lý, Dược lâm sàng,...
Thị Ánh
16/07/2025
Mặc định
Lớn hơn
Trong lĩnh vực y học, có rất nhiều thuật ngữ mà khi lần đầu nghe đến, người bệnh hay thậm chí các nhân viên y tế cũng có thể không hiểu rõ. Một trong những thuật ngữ khá phổ biến trong việc thăm khám và điều trị các vấn đề liên quan đến phụ khoa là HSG. Vậy chụp HSG là gì?
Trong chẩn đoán và điều trị bệnh liên quan đến phụ khoa, có rất nhiều kỹ thuật chẩn đoán cận lâm sàng được đưa vào sử dụng, trong đó có kỹ thuật chụp HSG. Vậy chụp HSG là gì? Mục đích của phương pháp chụp HSG là gì? Quy trình chụp HSG như thế nào? Trong bài viết hôm nay, Nhà thuốc Long Châu sẽ chia sẻ đến bạn đọc những thông tin hữu ích liên quan đến kỹ thuật chụp HSG trong chẩn đoán và điều trị bệnh.
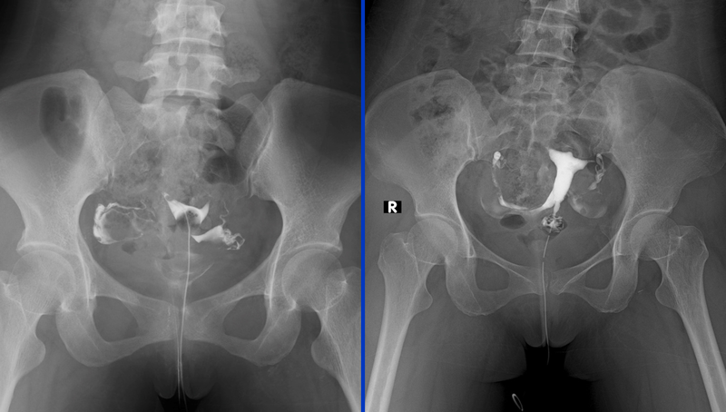
Chụp HSG là gì? Chụp HSG (Hysterosalpingography) là một phương pháp chẩn đoán hình ảnh dùng để kiểm tra tình trạng của tử cung và vòi trứng, hai bộ phận quan trọng trong hệ thống sinh sản nữ. Trong quá trình thực hiện chụp HSG, bác sĩ sẽ sử dụng tia X và một chất cản quang để tạo ra hình ảnh chi tiết về các cơ quan này. Mục đích của phương pháp này là phát hiện các vấn đề về cấu trúc hoặc chức năng của tử cung và vòi trứng, như tắc nghẽn vòi trứng, dị dạng tử cung, hoặc các khối u, polyp trong tử cung.
Chụp HSG giúp bác sĩ phát hiện các bệnh lý có thể ảnh hưởng đến khả năng thụ thai của phụ nữ. Đây là một xét nghiệm không thể thiếu trong chẩn đoán các nguyên nhân gây vô sinh hoặc hiếm muộn.
Một số trường hợp dưới đây không được thực hiện chụp HSG, bao gồm:

Chụp HSG được thực hiện với nhiều mục đích khác nhau trong việc kiểm tra sức khỏe sinh sản của phụ nữ. Một số tác dụng của việc thực hiện chụp HSG, bao gồm:
Tắc vòi trứng được đánh giá là nguyên nhân hàng đầu gây vô sinh ở phụ nữ. Khi vòi trứng bị tắc, tinh trùng sẽ không thể gặp trứng để thụ thai. Chụp HSG có thể giúp xác định vòi trứng có thông thoáng hay không bằng cách theo dõi sự di chuyển của chất cản quang qua tử cung và vòi trứng.
Nếu chất cản quang không thể đi qua vòi trứng, điều này có thể chỉ ra sự tắc nghẽn hoặc bất thường trong cấu trúc của vòi trứng, từ đó giúp bác sĩ đưa ra chẩn đoán chính xác và phương pháp điều trị phù hợp.
Một số chị em phụ nữ có thể gặp phải dị dạng tử cung bẩm sinh hoặc do các yếu tố tác động bên ngoài, chẳng hạn như vách ngăn tử cung, tử cung có hai buồng hoặc tử cung hình chóp. Những dị dạng này có thể ảnh hưởng đến khả năng mang thai và duy trì thai kỳ. Chụp HSG giúp bác sĩ nhận diện các dị dạng này, từ đó đưa ra phương pháp điều trị hoặc kế hoạch mang thai phù hợp.
Các khối u, polyp hoặc u xơ tử cung có thể gây ra những cản trở trong quá trình thụ thai hoặc gây ra những biến chứng trong thai kỳ. Chụp HSG có thể giúp phát hiện các khối u này, giúp bác sĩ xác định liệu chúng có gây ảnh hưởng đến khả năng thụ thai của người bệnh hay không.

Ngoài những vấn đề trên, chụp HSG cũng có thể phát hiện các bệnh lý khác như viêm nhiễm tử cung, dính tử cung hoặc các vấn đề về cấu trúc tử cung có thể ảnh hưởng đến khả năng thụ thai và mang thai.
Một điều thú vị là chụp HSG có thể giúp "thông vòi trứng" trong một số trường hợp. Nếu vòi trứng bị tắc nghẽn nhẹ, chất cản quang được tiêm vào có thể giúp làm sạch các tắc nghẽn này, từ đó tăng khả năng thụ thai sau khi thực hiện thủ thuật.
Quy trình chụp HSG là một thủ thuật y tế khá đơn giản nhưng đòi hỏi bệnh nhân phải chuẩn bị kỹ càng và thực hiện đúng theo hướng dẫn của bác sĩ. Dưới đây là các bước cơ bản trong quy trình chụp HSG, cụ thể như sau
Trước khi thực hiện chụp HSG, bác sĩ tìm hiểu về tình trạng sức khỏe của mình, bao gồm các vấn đề như dị ứng, tiền sử bệnh lý và các phẫu thuật đã từng thực hiện. Điều này rất quan trọng để đảm bảo bạn có thể thực hiện xét nghiệm an toàn.
Một yếu tố quan trọng là bạn cần phải xác nhận rằng mình không có thai, bởi việc chụp HSG có thể gây hại cho thai nhi. Vì vậy, bác sĩ thường sẽ yêu cầu thực hiện xét nghiệm thai trước khi làm thủ thuật này. Thời điểm thực hiện HSG lý tưởng là trong khoảng từ ngày thứ 7 đến ngày thứ 10 của chu kỳ kinh nguyệt, sau khi hành kinh đã kết thúc nhưng chưa đến thời kỳ rụng trứng. Điều này giúp giảm nguy cơ mang thai trong quá trình thực hiện.

Quy trình thực hiện chụp HSG khá đơn giản và nhanh chóng, thông thường chỉ kéo dài khoảng 15 - 30 phút. Tương tự như khi thực hiện các xét nghiệm phụ khoa khác, người bệnh sẽ nằm trên một bàn khám phụ khoa. Sau đó, bác sĩ sẽ đưa một dụng cụ vào trong âm đạo để mở rộng cổ tử cung, tạo điều kiện cho việc tiêm chất cản quang vào tử cung.
Chất cản quang sẽ được tiêm qua cổ tử cung vào trong tử cung và vòi trứng. Chất này sẽ lan tỏa qua tử cung và các vòi trứng, sau đó bác sĩ sẽ tiến hành chụp X-quang. Qua hình ảnh X-quang, bác sĩ có thể quan sát được sự thông thoáng của vòi trứng và cấu trúc của tử cung.
Sau khi hoàn thành thủ thuật, bệnh nhân có thể nghỉ ngơi trong một vài phút để theo dõi tình trạng sức khỏe. Hầu hết phụ nữ có thể trở lại sinh hoạt bình thường ngay sau đó, tuy nhiên một số người có thể cảm thấy đau bụng nhẹ hoặc có một ít ra máu trong vài ngày sau thủ thuật. Điều này hoàn toàn bình thường và sẽ tự hết sau một vài ngày. Tuy nhiên, nếu bạn gặp phải các triệu chứng bất thường như sốt, đau bụng, chuột rút dữ dội hoặc ra máu nhiều cần liên hệ với bác sĩ ngay lập tức.

Chụp HSG là một kỹ thuật quan trọng trong việc chẩn đoán các vấn đề liên quan đến khả năng sinh sản của phụ nữ. Đây là một phương pháp không xâm lấn và hiệu quả trong việc xác định các vấn đề như tắc vòi trứng, dị dạng tử cung, hoặc các khối u trong tử cung. Hy vọng với những thông tin được chia sẻ trong bài viết giúp bạn hiểu rõ hơn về phương pháp chụp HSG là gì và quy trình thực hiện như thế nào để bạn có sự chuẩn bị tốt nhất nếu có chỉ định thực hiện chụp HSG từ bác sĩ nhé!
Xem thêm:
Dược sĩ Đại họcNguyễn Thanh Hải
Tốt nghiệp Đại học Dược Hà Nội, với hơn 10 năm kinh nghiệm trong lĩnh vực Dược phẩm. Hiện là giảng viên giảng dạy các môn Dược lý, Dược lâm sàng,...