• Thực phẩm chức năng

  • Dược mỹ phẩm

  • Thuốc

  • Chăm sóc cá nhân

  • Thiết bị y tế

  • Tiêm chủng

  • Bệnh & Góc sức khỏe

  • Hệ thống nhà thuốc

    1. /
    2. Góc sức khỏe/
    3. Phòng bệnh & Sống khoẻ/
    4. Kiến thức y khoa

    Dài mỏm trâm: Triệu chứng, nguyên nhân, phương pháp chẩn đoán và điều trị

    Kiều Oanh

    05/08/2024

    Kích thước chữ

    Mỏm trâm là một xương sụn hình trụ, dài nằm trên xương thái dương mà ít người biết đến. Hãy cùng tìm hiểu xem dài mỏm trâm biểu hiện thành những triệu chứng nào qua bài viết sau.

    Chiều dài mỏm trâm bình thường là khoảng 20-30 mm. Dài mỏm trâm được định nghĩa là khi mỏm trâm hay quá trình dây chằng trâm móng cốt hóa có tổng chiều dài vượt quá 30 mm.

    Mỏm trâm là gì?

    Mỏm trâm là một xương sụn hình trụ dài nằm trên xương thái dương. Các cơ, dây chằng có chức năng nhai và nuốt được gắn vào mỏm trâm và có nhiều dây thần kinh và mạch máu như động mạch cảnh nằm cạnh cấu trúc trên. Dây chằng trâm móng và mỏm trâm đều phát triển từ sụn Reichert với chiều dài bình thường khoảng 20-30 mm.

    Có thể nói rằng mỏm trâm bị kéo dài nếu mỏm trâm hoặc quá trình cốt hóa dây chằng trâm móng liền kề có chiều dài tổng thể vượt quá 30 mm. Trong một số nghiên cứu, tỷ lệ mắc dài mỏm trâm được báo cáo trên phim chụp X-quang thay đổi trong khoảng 2-30%.

    Biểu hiện của dài mỏm trâm và những phương pháp điều trị 1
    Mỏm trâm dài có thể gây đau cổ lan lên gáy

    Dài mỏm trâm gây nên triệu chứng gì?

    Mỏm trâm kéo dài kèm theo những cấu trúc ở dây chằng trâm móng thay đổi cùng với các triệu chứng lâm sàng được mô tả lần đầu tiên bởi Eagle. Mỏm trâm kéo dài được gọi là hội chứng Eagle khi nó gây ra các triệu chứng lâm sàng là đau cổ và đau vùng cổ mặt. Người ta cho rằng các triệu chứng và dấu hiệu này là do mỏm trâm chèn ép vào một số cấu trúc thần kinh và mạch máu.

    Ít gặp hơn, các triệu chứng như khó nuốt, ù tai và đau tai có thể xảy ra ở những bệnh nhân mắc hội chứng này. Nó cũng có thể gây đột quỵ do chèn ép động mạch cảnh. Sự chèn ép phụ thuộc vào kích thước, hình dạng và hướng của mỏm trâm cốt hóa. Bên cạnh đó, những thay đổi thoái hóa hoặc viêm ở phần gân của chỗ bám dây chằng trâm hoặc viêm trâm thấp khớp cũng có thể gây ra hội chứng này.

    Các triệu chứng do hội chứng này có thể bị nhầm lẫn với một số rối loạn bao gồm nhiều loại đau dây thần kinh mặt, bệnh về răng miệng và khớp thái dương hàm. Do đó, cần phải chẩn đoán phân biệt triệu chứng gây ra bởi mỏm trâm dài và các rối loạn trên một cách kĩ càng. Nhiều người có mỏm trâm có hình dạng bất thường nhưng không có triệu chứng. Nếu có, các triệu chứng sẽ biểu hiện như sau:

    • Đau đầu;
    • Khó nuốt;
    • Cảm giác như mắc kẹt thứ gì đó trong cổ họng;
    • Đau nhói từ cổ họng đến tai hoặc hàm;
    • Đau ở gốc lưỡi;
    • Đau khi nuốt hoặc nghiêng đầu sang một bên;
    • Nghe tiếng vo ve hay tiếng chuông dai dẳng trong tai;
    • Đau nhói ở hàm.

    Một số người gặp phải các triệu chứng khác, chẳng hạn như cảm giác bất thường ở đầu hoặc cổ.

    Nguyên nhân gây dài mỏm trâm

    Ở hầu hết mọi người, xương mỏm trâm dài là thủ phạm gây ra hội chứng Eagle. Một số người xuất hiện dài xương mỏm trâm sau chấn thương hoặc phẫu thuật cổ họng. Ở những người khác, đây chỉ là sự khác biệt về mặt giải phẫu hoặc thay đổi liên quan đến tuổi tác. Xương mỏm trâm dài có thể gây áp lực lên cổ họng và chèn ép các dây thần kinh hoặc mạch máu gần đó, gây đau.

    Biểu hiện của dài mỏm trâm và những phương pháp điều trị 2
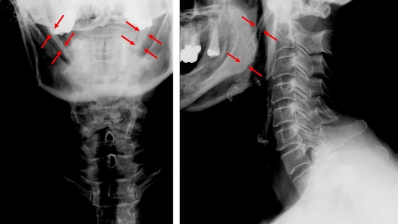
    Dài mỏm trâm trên X-quang

    Hội chứng Eagle, hay còn gọi là hội chứng trâm cài hoặc trâm móng, là một tổ hợp các triệu chứng liên quan đến dài mỏm trâm cài hoặc dây chằng trâm móng hóa xương. Hội chứng này thường gặp ở người bệnh thường trên 30 tuổi, hiếm khi trẻ hơn và ở phụ nữ nhiều hơn ở nam giới và. Nhiều triệu chứng khác nhau đã được cho là do mỏm trâm cài kéo dài, bao gồm đau cổ, đau tai, cảm giác có dị vật trong họng, đau khi thay đổi tư thế đầu, đau vùng cổ mặt và đau khi nuốt.

    Các nguyên nhân khác gây ra hội chứng Eagle bao gồm:

    • Cắt amidan: Ở một số người sau khi cắt amidan, mô sẹo trong và xung quanh cổ họng phát triển gây áp lực lên các dây thần kinh xung quanh, gây đau và ù tai.
    • Vôi hóa dây chằng trâm móng: Một số người phát triển các cặn canxi trên dây chằng trâm móng, dây chằng này bám vào mỏm trâm. Hầu hết mọi người không phát triển các triệu chứng, nhưng một số có thể bị đau và các cảm giác bất thường khác.

    Chẩn đoán và điều trị dài mỏm trâm

    Bác sĩ có thể nghi ngờ bạn bị dài mỏm trâm gây ra hội chứng Eagle dựa trên các triệu chứng mà bạn biểu hiện. Tuy nhiên, bác sĩ cần phải loại trừ các nguyên nhân khác có thể gây đau ở vùng này trước khi nghĩ tới dài mỏm trâm, chẳng hạn như:

    • Đau răng lan đến cổ;
    • Vấn đề với các mạch máu gần đó;
    • Nhiễm trùng tai;
    • Chấn thương ở hàm;

    Bác sĩ có thể hỏi về các triệu chứng, ghi lại toàn bộ bệnh sử và tiến hành khám sức khỏe. Các nghiên cứu hình ảnh, chẳng hạn như chụp X-quang, có thể giúp bác sĩ quan sát mỏm trâm và các cấu trúc xung quanh.

    Phẫu thuật cắt ngắn mỏm trâm là phương pháp điều trị chính cho hội chứng Eagle do dài mỏm trâm, có thể được thực hiện qua đường miệng hoặc cổ. Phẫu thuật qua miệng đòi hỏi phải cắt bỏ amidan và bác sĩ phẫu thuật có thể khó tiếp cận mỏm trâm hơn. Ngoài ra, nguy cơ tổn thương các mạch máu xung quanh cũng tăng nhẹ. Phẫu thuật qua cổ giúp tiếp cận mỏm trâm tốt hơn nhưng sẽ để lại sẹo. Phẫu thuật này cũng có thể làm tổn thương các bộ phận xung quanh của cơ thể và dây thần kinh trên mặt.

    Biểu hiện của dài mỏm trâm và những phương pháp điều trị 3
    Phẫu thuật điều trị dài mỏm trâm

    Tóm lại nếu bạn có các triệu chứng ở vùng cổ họng đã đề cập ở trên hay nghĩ rằng mình bị dài mỏm trâm, hãy đến thăm khám bác sĩ để được tư vấn và đưa ra hướng điều trị nếu cần thiết.

    Thông tin và sản phẩm gợi ý trong bài viết chỉ mang tính chất tham khảo, vui lòng liên hệ với Bác sĩ, Dược sĩ hoặc chuyên viên y tế để được tư vấn cụ thể. Xem thêm

    Dược sĩ Đại họcTrần Huỳnh Minh Nhật

    Đã kiểm duyệt nội dung

    Dược sĩ chuyên khoa Dược lý - Dược lâm sàng. Tốt nghiệp 2 trường đại học Mở và Y Dược TP. Hồ Chí Minh. Có kinh nghiệm nghiên cứu về lĩnh vực sức khỏe, đạt được nhiều giải thưởng khoa học. Hiện là Dược sĩ chuyên môn phụ trách xây dựng nội dung và triển khai dự án đào tạo - Hội đồng chuyên môn tại Nhà thuốc Long Châu.

    Xem thêm thông tin
    Chủ đề:chụp x quang