Tốt nghiệp Đại Học Dược Hà Nội - chuyên môn Dược lâm sàng. Hiện đang là giảng viên cho Dược sĩ tại Nhà thuốc Long Châu.
Cẩm Ly
29/07/2024
Mặc định
Lớn hơn
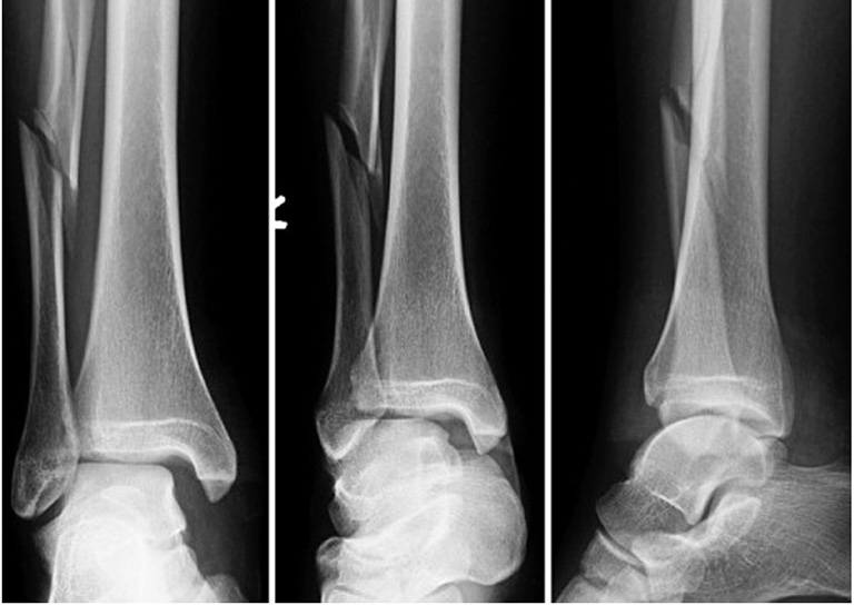
Gãy xương mác là tình trạng chấn thương nghiêm trọng thường xảy ra ở phần cẳng chân. Chấn thương này cần được xử lý và điều trị nhanh chóng để hạn chế những ảnh hưởng liên quan quá trình vận động về sau. Nhiều người lo lắng việc để xương mác lành như ban đầu sẽ gặp nhiều khó khăn. Vậy gãy xương mác bao lâu thì lành. Cùng Nhà thuốc Long Châu tìm hiểu bạn nhé!
Gãy xương mác là tình trạng chấn thương nghiêm trọng thường xảy ra ở phần cẳng chân. Mặc dù là phần chấn thương nhỏ nhưng khi chấn thương thì cần được xử lý và điều trị nhanh chóng để hạn chế những ảnh hưởng liên quan quá trình vận động về sau. Nhiều người lo lắng việc để xương mác lành như ban đầu sẽ gặp nhiều khó khăn. Vậy gãy xương mác bao lâu thì lành?
Cẳng chân người được cấu tạo từ hai xương chính đó là xương chày và xương mác. Xương mác là phần xương có chiều dài và nhỏ nằm bên ngoài cẳng chân và bên ngoài của xương chày.
Xương có phần đầu dẹp và nhọn thẳng xuống dưới, chiếm khoảng 20% trọng lượng cơ thể tùy theo. Hai bộ phận xương này kết nối với nhau bằng chày mác và màng gian cốt.
Xương mác và xương chày được kết hợp và tạo cho chân có tử thế thẳng đứng. Hơn nữa còn giúp đình hình khớp gối và cổ chân một cách tốt nhất, giúp chân được linh hoạt hơn khi cử động.

Xương mác bao gồm các chức năng như:
Có rất nhiều nguyên nhân dẫn đến gãy xương mác bao gồm:

Một số triệu chứng của gãy xương mác có thể thấy như:
Những triệu chứng này sẽ thường xảy ra sau khi xảy ra chấn thương. Trong một số trường hợp khác, gãy xương mác có thể đi kèm với các chấn thương khác như gãy chân hay gãy xương đùi.
Gãy xương mác bao lâu thì lành là lo lắng chung của nhiều người. Thường sau khi chấn thương bạn cần bó bột và khoảng sau từ 5 đến 7 ngày bó bột thì xương sẽ bớt sưng hơn, phần bó bột lúc này có thể bị lỏng hơn. Khi đó các y bác sĩ sẽ thực hiện quấn thêm bột hay thay bột cho người bạn.

Và thời gian lành của một ca gãy xương mác sẽ phụ thuộc vào nhiều yếu tố khác nhau, tùy vào mức độ nghiêm trong của tình trạng xương bị gãy và độ tuổi của người bệnh. Tuy nhiên để xương mác có thể lành sau thời gian bó bột khoảng từ 3 đến 4 tuần hoặc có thể là 1 đến 2 tháng để xương có thể hoạt động như bình thường. Hơn nữa quá trình lành lại của xương mác có thể tốt hơn nếu bạn kết hợp giữa việc ăn uống lành mạnh và thực hiện các chăm sóc y tế, vật lí trị liệu hợp lý để việc phục hồi được diễn ra tốt nhất. Hơn nữa, những hoạt động nhẹ nhàng sau khi tháo bột cũng có thể giúp bạn nhanh phục hồi hơn. Nếu cần bạn có thể được bác sĩ kê thêm một số loại thuốc giảm đau để dễ vận động hơn.
Như vậy có thể thấy, tùy thuộc vào từng tình trạng của bệnh nhân mà quá trình lành xương có thể dài hay ngắn. Để phục hồi nhanh chóng bạn nên thường xuyên thăm khám bởi bác sĩ chuyên khoa để có phác đồ điều trị phù hợp.
Xem thêm:
:format(webp)/KF_1b_LIQ_Tx_J_Pb27_Vsh90_QN_6b_Xz_OB_Jo_U_f0e2294e2e.png)
Dược sĩ Đại họcNguyễn Chí Chương
Tốt nghiệp Đại Học Dược Hà Nội - chuyên môn Dược lâm sàng. Hiện đang là giảng viên cho Dược sĩ tại Nhà thuốc Long Châu.