Tốt nghiệp Đại Học Dược Hà Nội - chuyên môn Dược lâm sàng. Hiện đang là giảng viên cho Dược sĩ tại Nhà thuốc Long Châu.
Ánh Vũ
17/08/2025
Mặc định
Lớn hơn
Cẳng chân là một trong những nơi chịu sức nặng của cơ thể nhiều nhất. Để đảm nhận được vai trò này, cẳng chân có cấu tạo vô cùng chắc vè xương, cơ và khớp, trong đó có xương chày. Vậy cấu trúc giải phẫu xương chày như thế nào?
Xương chày là một thành phần cấu tạo nên cẳng chân với kích thước lớn nhất trong toàn bộ chi dưới. Vậy vị trí, cấu tạo và chức năng của xương chày như thế nào? Cùng Nhà thuốc Long Châu tìm hiểu thông qua phần giải phẫu xương chày ở bài viết dưới đây nhé.
Dưới đây là một số thông tin khi giải phẫu xương chày. Cụ thể như sau:
Xương chày là xương chính của cẳng chân, nằm ở phía trước bên trong cẳng chân với kích thước lớn, có vai trò vô cùng quan đối với sự chuyển động của chi dưới. Đồng thời, nó còn có tác dụng điều hoà các hoạt động ở khớp cổ chân, khớp gối, chịu được lực nặng của cơ thể. Xương chày hơi cong hình chữ S, nữa trên hơi cong ra ngoài và nửa dưới hơi cong vào trong. Thân xương chày có hình lăng trụ tam giác trên thì to, dưới thì bé lại và ⅓ dưới cẳng chân thì biến thành hình lăng trụ tròn. Do vậy, đây chính là yếu tố khiến xương chày dễ bị gãy.

Xương chày là một xương dài, nằm ở trong xương mác, có một thân và hai đầu, đầu trên tiếp khớp với xương đùi, đầu dưới tiếp khớp với cổ chân.
Đầu trên
Là một khối xương to, được tạo bởi lồi cầu trong và lồi cầu ngoài, loe rộng để đỡ lấy xương đùi. Cụ thể:
Thân xương
Đây là xương có hình gần giống hình lăng trụ tam giác gồm có:
Đầu dưới
Đầu dưới nhỏ hơn đầu trên, bao gồm:
Sau khi giải phẫu xương chày, sẽ thấy được:
Xương chày là một bộ phận vô cùng quan trọng, chịu gần như toàn bộ trọng lượng của cơ thể. Với cấu tạo trên có tác dụng giúp vị thế chân thẳng, làm cho con người có tư thế và dáng đi thẳng. Ngoài ra, xương chày tạo nên khớp gối và khớp các chân giúp cơ thể hoạt động được linh hoạt hơn.

Để nhận dạng cũng như là phân loại các loại chấn thương, ngoài việc kiểm tra các triệu chứng lâm sàng, bác sĩ sẽ thực hiện một số xét nghiệm để kiểm tra tình trạng gãy xương chày. Các dạng gãy xương chày bao gồm:
Tình trạng này là do hậu quả của tai nạn giao thông hoặc tai nạn ngã từ trên cao. Vào thời điểm xương bị gãy các mô mềm như dây thần kinh, dây chằng, mạch máu, da, cơ… có thể bị tác động nặng. Vì thế, bác sĩ sẽ kiểm tra để xác định tình trạng tổn thương mô mềm, từ đó có phác hoạ điều trị gãy xương chày.
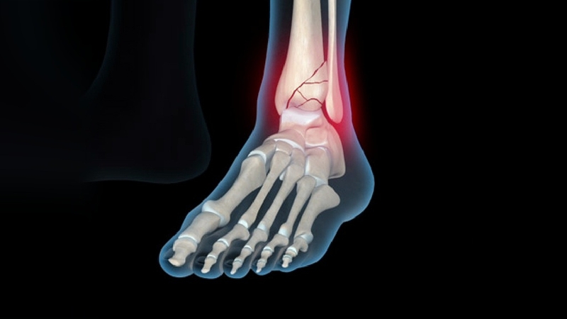
Tình trạng này còn gọi là gãy Pilon. Đây là một loại chấn thương nặng bởi có đường gãy đi vào diện khớp cổ chân. Gãy đầu dưới xương chày xảy ra khi chân bị va đập mạnh, chẳng hạn như bị tai nạn giao thông hoặc bị rơi từ trên cao xuống.
Ngoài ra, khi bị gãy Pilon còn kèm theo triệu chứng sưng tấy, bầm tím xung quanh, rất đau, cổ chân sưng hoặc cổ chân bị biến dạng. Có một số trường hợp gãy đầu dưới xương chày đi kèm với các mảng xương vỡ chồi qua da gọi là gãy xương hở. Khi gặp phải tình trạng này, người bệnh cần được phẫu thuật ngay để tránh nguy cơ nhiễm trùng.

Xương chày là một trong những loại xương hay bị gãy nhất trong cơ thể con người. Tuỳ theo mức độ chấn thương mà các triệu chứng của gãy xương chày có các biểu hiện khác nhau. Dưới đây là một số dấu hiệu giúp bạn nhận ra tình trạng gãy xương chày, cụ thể:

Trên đây là những thông tin khi giải phẫu xương chày. Hy vọng qua bài viết này có thể giúp người đọc hiểu rõ hơn về cấu tạo, chức năng của xương chày, cũng như các dấu hiệu và các dạng gãy xương chày. Qua đó có thể giúp mọi người chủ động hơn trong việc phòng chống và điều trị gãy xương chày.
Xem thêm: Giải phẫu xương bàn chân có gì đặc biệt?
:format(webp)/KF_1b_LIQ_Tx_J_Pb27_Vsh90_QN_6b_Xz_OB_Jo_U_f0e2294e2e.png)
Dược sĩ Đại họcNguyễn Chí Chương
Tốt nghiệp Đại Học Dược Hà Nội - chuyên môn Dược lâm sàng. Hiện đang là giảng viên cho Dược sĩ tại Nhà thuốc Long Châu.