• Thực phẩm chức năng

  • Dược mỹ phẩm

  • Thuốc

  • Chăm sóc cá nhân

  • Thiết bị y tế

  • Tiêm chủng

  • Bệnh & Góc sức khỏe

  • Hệ thống nhà thuốc

    1. /
    2. Góc sức khỏe/
    3. Phòng bệnh & Sống khoẻ/
    4. Kiến thức y khoa

    Những triệu chứng bong gân cần nhận biết sớm để giải quyết hiệu quả

    Bảo Yến

    02/06/2025

    Kích thước chữ

    Bong gân là chấn thương phổ biến trong sinh hoạt và thể thao, xảy ra khi dây chằng bị kéo giãn hoặc rách do tác động mạnh. Việc nhận biết sớm các triệu chứng bong gân giúp người bệnh xử lý kịp thời, giảm thiểu biến chứng và rút ngắn thời gian hồi phục. Bài viết này sẽ cung cấp thông tin chi tiết để bạn hiểu rõ hơn về các dấu hiệu của bong gân và cách phân biệt với các chấn thương khác.

    Bong gân có thể xảy ra ở nhiều khớp như cổ chân, cổ tay, hoặc đầu gối, với mức độ từ nhẹ đến nặng. Nếu không được chẩn đoán và điều trị đúng cách, bong gân có thể dẫn đến đau mạn tính, giảm chức năng vận động, và tăng nguy cơ tái phát. Việc hiểu rõ triệu chứng bong gân là bước đầu tiên để xử lý hiệu quả, giúp bạn nhanh chóng quay lại các hoạt động thường ngày. Hãy cùng tìm hiểu các dấu hiệu cụ thể và cách nhận biết mức độ nghiêm trọng của chấn thương này.

    Một số triệu chứng bong gân thường gặp

    Bong gân là một chấn thương phổ biến liên quan đến dây chằng, thường xảy ra do vận động sai tư thế hoặc chấn thương đột ngột, và có thể được nhận biết qua một số triệu chứng đặc trưng dưới đây giúp định hướng chẩn đoán và xử trí kịp thời.

    Đau tại vùng khớp bị tổn thương

    Đau là dấu hiệu đầu tiên và rõ ràng nhất khi bị bong gân. Cơn đau thường xuất hiện ngay sau chấn thương, đặc biệt khi khớp chịu tác động mạnh như trẹo chân hoặc va chạm. Đau có thể tăng lên khi bạn cố gắng cử động hoặc đặt trọng lượng lên khớp. Mức độ đau phụ thuộc vào mức độ tổn thương dây chằng:

    • Bong gân nhẹ (độ 1): Đau nhẹ, người bệnh vẫn có thể vận động, dù có chút khó chịu.
    • Bong gân trung bình (độ 2): Đau rõ rệt, gây hạn chế vận động đáng kể.
    • Bong gân nặng (độ 3): Đau dữ dội, thường khiến người bệnh không thể di chuyển hoặc sử dụng khớp.
    Nhận biết sớm các triệu chứng bong gân để xử lý hiệu quả 1
    Đau là triệu chứng bong gân xuất hiện đầu tiên và rõ ràng nhất

    Đau do bong gân thường xuất phát từ tổn thương dây chằng, gây kích ứng các đầu mút thần kinh tại vùng bị ảnh hưởng.

    Sưng tấy quanh khớp

    Sưng là một phản ứng tự nhiên của cơ thể sau chấn thương dây chằng. Dưới đây là những đặc điểm chính của triệu chứng sưng khi bị bong gân. Sưng xuất hiện nhanh chóng, thường trong vài giờ sau chấn thương, kèm theo cảm giác nóng và căng tức quanh khớp. Mức độ sưng phản ánh mức độ nghiêm trọng của tổn thương dây chằng. Ở bong gân nhẹ, sưng có thể chỉ nhẹ và khu trú, trong khi bong gân nặng gây sưng to, lan rộng. Sưng là kết quả của viêm và tích tụ dịch quanh khớp do tổn thương mô mềm.

    Bầm tím hoặc đổi màu da

    Bầm tím là một triệu chứng thường gặp khi bị bong gân. Chấn thương dây chằng có thể làm vỡ các mạch máu nhỏ dưới da, dẫn đến bầm tím quanh khớp. Vết bầm thường xuất hiện sau 1 - 2 ngày, chuyển màu từ đỏ sang tím, xanh, rồi vàng trong quá trình hồi phục. Bầm tím là dấu hiệu của xuất huyết nội mô, thường rõ rệt hơn ở bong gân trung bình hoặc nặng.

    Giảm hoặc mất khả năng vận động khớp

    Bong gân ảnh hưởng trực tiếp đến chức năng của khớp. Người bị bong gân thường gặp khó khăn khi di chuyển hoặc thực hiện các động tác bình thường. Ở mức độ nhẹ, vận động có thể bị hạn chế một phần, nhưng ở bong gân nặng, khớp có thể mất hoàn toàn khả năng di chuyển. Triệu chứng này liên quan đến sự mất ổn định của khớp do dây chằng bị giãn hoặc rách.

    Nhận biết sớm các triệu chứng bong gân để xử lý hiệu quả 2
    Người bị bong gân thường gặp khó khăn khi di chuyển hoặc thực hiện các động tác bình thường

    Cảm giác lỏng lẻo hoặc không vững

    Một triệu chứng đặc trưng khác của bong gân là cảm giác lỏng lẻo ở khớp. Người bệnh có thể cảm thấy khớp không vững khi đứng, đi lại, hoặc chịu lực. Đây là dấu hiệu cho thấy dây chằng bị tổn thương nghiêm trọng, làm giảm khả năng giữ ổn định khớp. Cảm giác lỏng lẻo thường xuất hiện ở bong gân độ 2 hoặc độ 3, và cần được đánh giá y tế để tránh biến chứng lâu dài.

    Phân loại mức độ bong gân và triệu chứng đi kèm

    Để đánh giá chính xác mức độ bong gân, việc phân loại dựa trên mức độ tổn thương dây chằng là rất quan trọng. Dưới đây là các mức độ bong gân và triệu chứng đặc trưng:

    Bong gân độ 1 (nhẹ)

    Bong gân độ 1 là mức tổn thương nhẹ nhất, khi dây chằng chỉ bị giãn mà không có hiện tượng rách. Đây là dạng chấn thương phổ biến và thường không để lại di chứng nếu được xử trí đúng cách. Các triệu chứng bao gồm:

    • Đau nhẹ, chủ yếu xuất hiện khi vận động hoặc chịu lực lên khớp.
    • Sưng nhẹ, khu trú tại vùng quanh khớp bị ảnh hưởng.
    • Khả năng vận động gần như bình thường, không có cảm giác mất vững hay lỏng lẻo khớp.

    Bong gân độ 1 thường tự hồi phục trong vòng 1 - 2 tuần nếu được nghỉ ngơi hợp lý, kết hợp với các biện pháp chăm sóc bảo tồn như chườm lạnh, nâng cao chi và tránh vận động quá mức.

    Nhận biết sớm các triệu chứng bong gân để xử lý hiệu quả 3
    Chườm lạnh có thể giúp làm giảm triệu chứng bong gân độ 1

    Bong gân độ 2 (trung bình)

    Bong gân độ 2 xảy ra khi dây chằng bị rách một phần, gây suy giảm chức năng nâng đỡ và ổn định khớp. Tình trạng này thường nghiêm trọng hơn bong gân nhẹ và biểu hiện qua các triệu chứng điển hình sau:

    • Đau rõ rệt tại vùng khớp tổn thương, kèm theo hạn chế vận động đáng kể.
    • Sưng và bầm tím xuất hiện quanh khớp, có thể lan rộng tùy mức độ tổn thương.
    • Cảm giác lỏng lẻo hoặc mất vững khi thực hiện các động tác vận động.

    Quá trình hồi phục cho bong gân độ 2 thường kéo dài từ 3 đến 6 tuần. Một số trường hợp có thể cần đến các biện pháp hỗ trợ như nẹp cố định khớp, nghỉ ngơi, và vật lý trị liệu để phục hồi chức năng vận động và ngăn ngừa tổn thương tái phát.

    Bong gân độ 3 (nặng)

    Bong gân độ 3 là mức tổn thương nghiêm trọng nhất, khi dây chằng bị rách hoàn toàn, làm mất chức năng ổn định của khớp. Các triệu chứng lâm sàng đặc trưng bao gồm:

    • Đau dữ dội, đặc biệt khi cố gắng cử động vùng khớp bị tổn thương.
    • Sưng nề rõ rệt, bầm tím lan rộng kèm theo cảm giác nóng tại chỗ.
    • Mất hoàn toàn khả năng vận động khớp, kèm cảm giác khớp bị lỏng lẻo hoặc mất vững.

    Tình trạng này thường đòi hỏi can thiệp y tế chuyên sâu. Trong nhiều trường hợp, phẫu thuật tái tạo dây chằng có thể được chỉ định, và quá trình phục hồi chức năng có thể kéo dài từ vài tuần đến vài tháng, tùy thuộc vào mức độ tổn thương và đáp ứng điều trị.

    Nhận biết sớm các triệu chứng bong gân để xử lý hiệu quả 4
    Phẫu thuật tái tạo dây chằng có thể được chỉ định đối với các trường hợp bong gân nặng

    Phân biệt bong gân với các chấn thương khác

    Việc phân biệt bong gân với các chấn thương khác là cần thiết để đảm bảo xử lý đúng cách. Dưới đây là so sánh với hai chấn thương phổ biến:

    Bong gân với căng cơ

    Bong gân và căng cơ là hai dạng chấn thương mô mềm thường gặp, dễ nhầm lẫn nếu không quan sát kỹ triệu chứng và vị trí tổn thương. Tuy nhiên, mỗi loại chấn thương có đặc điểm riêng biệt cần lưu ý:

    • Bong gân: Tổn thương dây chằng - cấu trúc kết nối và ổn định các xương tại khớp. Bong gân thường xảy ra ở các khớp như cổ chân, cổ tay hoặc đầu gối. Triệu chứng điển hình bao gồm đau quanh khớp, sưng nề, bầm tím và cảm giác lỏng lẻo hoặc mất ổn định khớp.
    • Căng cơ: Tổn thương xảy ra tại cơ hoặc gân - những mô chịu trách nhiệm tạo chuyển động. Nguyên nhân thường do vận động quá mức, co giãn đột ngột hoặc mang vác nặng sai tư thế. Căng cơ biểu hiện bằng cảm giác đau âm ỉ hoặc đau nhói ở vùng cơ, kèm theo cứng cơ và hạn chế vận động vùng bị ảnh hưởng.

    Tóm lại, bong gân chủ yếu liên quan đến tổn thương tại khớp, trong khi căng cơ ảnh hưởng đến mô cơ và gân. Việc nhận diện đúng loại chấn thương giúp định hướng điều trị phù hợp và hiệu quả hơn.

    Bong gân với gãy xương

    Bong gân và gãy xương đều là những chấn thương thường gặp nhưng có cơ chế tổn thương và biểu hiện lâm sàng khác nhau. Việc phân biệt đúng hai tình trạng này rất quan trọng để lựa chọn phương pháp điều trị phù hợp.

    • Bong gân: Là tổn thương dây chằng - cấu trúc giúp ổn định khớp. Trong trường hợp này, khớp vẫn giữ được hình dạng bình thường, tuy nhiên người bệnh có thể xuất hiện tình trạng sưng nề, đau và bầm tím quanh khớp.
    • Gãy xương: Xảy ra khi cấu trúc xương bị gãy hoặc rạn. Dấu hiệu thường gặp bao gồm đau dữ dội, biến dạng rõ rệt tại vùng tổn thương và mất hoàn toàn khả năng vận động tại chi bị ảnh hưởng.

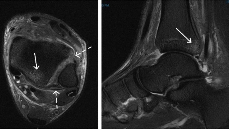
    Để xác định chính xác loại chấn thương, cần thực hiện các phương pháp chẩn đoán hình ảnh. X-quang thường được sử dụng đầu tiên để phát hiện gãy xương, trong khi MRI có giá trị trong việc đánh giá mức độ tổn thương dây chằng trong các trường hợp nghi ngờ bong gân.

    Nhận biết sớm các triệu chứng bong gân để xử lý hiệu quả 5
    MRI có giá trị trong việc đánh giá mức độ tổn thương dây chằng trong các trường hợp nghi ngờ bong gân

    Nhận biết sớm các triệu chứng bong gân như đau, sưng, bầm tím, giảm khả năng vận động, và cảm giác lỏng lẻo khớp giúp bạn xử lý chấn thương kịp thời, giảm nguy cơ biến chứng như đau mạn tính hoặc tái phát. Hiểu rõ mức độ bong gân và phân biệt với các chấn thương khác như căng cơ hay gãy xương là bước quan trọng để đưa ra quyết định điều trị phù hợp. Nếu nghi ngờ về mức độ nghiêm trọng hoặc triệu chứng không cải thiện, hãy đến cơ sở y tế để được chẩn đoán và điều trị đúng cách.

    Có thể bạn quan tâm

    Thông tin và sản phẩm gợi ý trong bài viết chỉ mang tính chất tham khảo, vui lòng liên hệ với Bác sĩ, Dược sĩ hoặc chuyên viên y tế để được tư vấn cụ thể. Xem thêm

    Dược sĩ Đại họcTrần Huỳnh Minh Nhật

    Đã kiểm duyệt nội dung

    Dược sĩ chuyên khoa Dược lý - Dược lâm sàng. Tốt nghiệp 2 trường đại học Mở và Y Dược TP. Hồ Chí Minh. Có kinh nghiệm nghiên cứu về lĩnh vực sức khỏe, đạt được nhiều giải thưởng khoa học. Hiện là Dược sĩ chuyên môn phụ trách xây dựng nội dung và triển khai dự án đào tạo - Hội đồng chuyên môn tại Nhà thuốc Long Châu.

    Xem thêm thông tin