Tốt nghiệp Đại học Dược Hà Nội, với hơn 10 năm kinh nghiệm trong lĩnh vực Dược phẩm. Hiện là giảng viên giảng dạy các môn Dược lý, Dược lâm sàng,...
Cẩm Ly
03/06/2025
Mặc định
Lớn hơn
Bạn cắn phải vật gì đó quá cứng? Bạn bị chấn thương khi chơi thể thao hoặc bị sâu răng? Dù là lý do gì đi chăng nữa, một chiếc răng bị sứt mẻ có thể gây mất thẩm mỹ, khó chịu hoặc đau đớn. Bài viết này sẽ thảo luận các cách phục hồi răng bị mẻ tại nhà, bạn nhớ đón đọc nhé.
Răng bị mẻ gây ảnh hưởng đáng kể đến chức năng ăn nhai và tính thẩm mỹ. Vì vậy, nhiều người đang ngày càng quan tâm đến các cách phục hồi răng bị mẻ tại nhà. Để tìm ra phương pháp phù hợp nhất, hãy cùng tham khảo thông tin trong bài viết dưới đây nhé.
Khi bị mẻ răng, mọi người thường cho rằng đầy là một vấn đề không quá quan trọng, phần khác có thể là do họ không có đủ thời gian để đến bác sĩ để điều trị. Do đó, cách phục hồi răng bị mẻ tại nhà là chủ đề được nhiều người quan tâm và tìm kiếm.
Dưới đây là ba cách phục hồi răng bị mẻ đơn giản và nhanh chóng tại nhà mà bạn có thể tham khảo:
Trong trường hợp răng bị mẻ nhẹ ở vị trí răng cửa, nhiều người thường sử dụng phương pháp mài răng bằng dũa tại nhà. Quy trình này khá đơn giản, bạn chỉ cần sử dụng dũa mài chuyên dụng và mài cho đến khi răng cửa trở nên bằng nhau.
Tuy nhiên, cần lưu ý rằng phương pháp này chỉ nên được áp dụng cho những trường hợp răng bị vỡ một mảng nhỏ.

Đây cũng là một trong những phương pháp hiệu quả để phục hồi răng bị mẻ tại nhà hiện nay. Loại sáp này được chế tạo từ các thành phần thiên nhiên và không gây tổn thương cho mô mềm. Đặc biệt, nếu bạn gặp tình trạng đau nhức hoặc khó chịu khi vật nhọn đâm vào, sáp nha khoa cũng là một lựa chọn phù hợp giúp giảm bớt cảm giác khó chịu.
Ngoài việc bảo vệ mô mềm khỏi tổn thương do răng bị vỡ hoặc mẻ, sáp nha khoa cũng thường được sử dụng trong quá trình niềng răng. Bạn chỉ cần lấy một lượng sáp vừa đủ, sau đó đặt lên vị trí răng bị mẻ hoặc các vật nhọn của khí cụ niềng răng. Tiếp đến, điều chỉnh sao cho thoải mái và tự nhiên nhất.
Lưu ý: Để đạt được hiệu quả tốt nhất, bạn nên sử dụng sáp nha khoa nhiều lần trong ngày. Bởi sau vài tiếng, sáp nha khoa có thể tan chảy trong môi trường miệng.
Tự trám răng bằng các vật liệu mua ở hiệu thuốc cũng là một phương pháp được nhiều người áp dụng để tự chữa trị răng bị mẻ tại nhà, bên cạnh việc sử dụng sáp nha khoa và dũa mài. Phương pháp này thường mang lại hiệu quả tốt hơn so với hai phương pháp trên. Tuy nhiên, nó đòi hỏi sự cẩn thận, tỉ mỉ và đặc biệt là phải thực hiện nhanh chóng vì chất trám khô nhanh.
Tương tự như việc sử dụng sáp nha khoa, trong phương pháp này, bạn đặt chất trám lên vị trí răng bị vỡ và định hình cho răng tự nhiên nhất.
Tuy 3 phương pháp này đều rất hiệu quả, nhưng chỉ nên áp dụng đối với những trường hợp răng bị vỡ nhẹ. Đối với những răng bị vỡ mảng lớn, phương pháp này không thể cải thiện tốt. Trong trường hợp này, bạn cần tới nha khoa để bác sĩ đánh giá và lựa chọn phương pháp điều trị phù hợp.
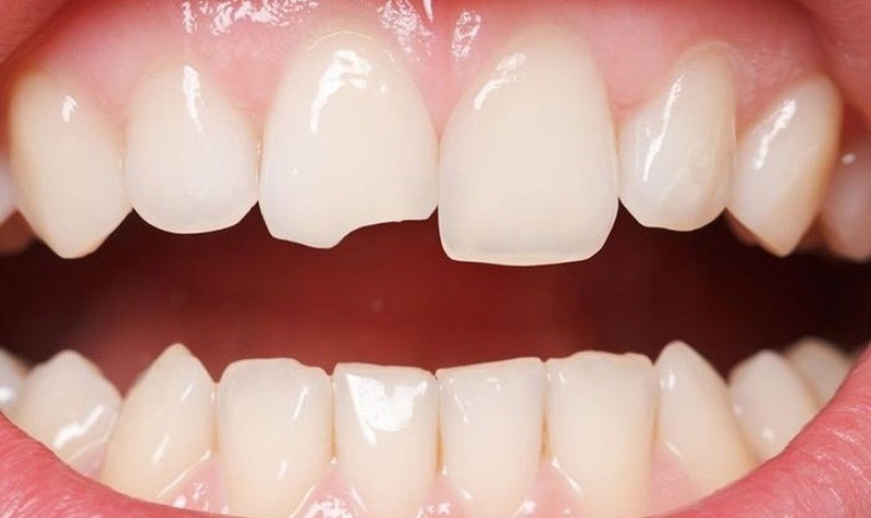
Răng được bao phủ bởi một lớp men răng vững chắc, nhưng rất dễ bị mẻ răng do tác động từ bên ngoài. Trước khi tìm hiểu về cách phục hồi răng bị mẻ tại nhà, hãy tìm hiểu mẻ răng là gì nhé.
Mẻ răng là tình trạng men răng bị tổn thương và cấu trúc của răng bị vỡ do tác động từ bên ngoài như va đập. Thường thì các vết mẻ răng xuất hiện ở các cạnh hoặc đỉnh của răng, làm cho răng trở nên sắc nhọn hơn. Đồng thời, mô mềm xung quanh răng cũng có thể bị tổn thương khi răng bị mẻ.
Tình trạng răng bị mẻ ảnh hưởng đến việc ăn uống và vệ sinh răng miệng hàng ngày. Răng bị mẻ trở nên yếu và dễ bị tấn công bởi vi khuẩn, tạo điều kiện cho các bệnh lý về răng miệng phát triển.

Vậy nguyên nhân gây mẻ răng là gì? Để hiểu và áp dụng cách phục hồi răng bị mẻ tại nhà một cách hiệu quả, bạn cần tìm hiểu kỹ về các nguyên nhân gây ra tình trạng này. Dưới đây là một số nguyên nhân phổ biến:
Việc răng bị mẻ có thể phục hồi được hay không phụ thuộc vào việc đó là răng sữa hay răng vĩnh viễn.

Nếu răng bị mẻ là răng sữa, bạn không cần quá lo lắng vì răng này sẽ được thay thế bằng răng vĩnh viễn. Tuy nhiên, nếu răng vĩnh viễn bị mẻ, bạn cần phải phục hồi răng bởi những lí do sau đây:
Tóm lại, răng bị mẻ ban đầu không gây ra tình trạng quá nghiêm trọng, nhưng nếu không được điều trị kịp thời có thể dẫn đến những vấn đề sức khỏe răng miệng nguy hiểm.
Mặc dù các cách phục hồi răng bị mẻ tại nhà có thể giúp bạn khắc phục nhanh chóng, nhưng việc chúng có an toàn không thường là mối quan ngại của nhiều người. Dưới đây là một số điều mà Nhà thuốc Long Châu muốn giải đáp để bạn hiểu rõ hơn về vấn đề này:

Tóm lại, việc phục hồi răng bị mẻ tại nhà bằng các phương pháp như sử dụng sáp, miếng trám không phải lúc nào cũng là lựa chọn tối ưu. Tốt hơn hết, bạn nên đến nha khoa càng sớm càng tốt để tránh những biến chứng nguy hiểm có thể xảy ra.
Mong rằng, những thông tin trong bài viết trên đã giúp mọi người hiểu rõ hơn về cách phục hồi răng bị mẻ tại nhà, từ đó có thêm thông tin để lựa chọn phương pháp phù hợp và tránh gặp phải các vấn đề về răng miệng.
Dược sĩ Đại họcNguyễn Thanh Hải
Tốt nghiệp Đại học Dược Hà Nội, với hơn 10 năm kinh nghiệm trong lĩnh vực Dược phẩm. Hiện là giảng viên giảng dạy các môn Dược lý, Dược lâm sàng,...