• Thực phẩm chức năng

  • Dược mỹ phẩm

  • Thuốc

  • Chăm sóc cá nhân

  • Thiết bị y tế

  • Tiêm chủng

  • Bệnh & Góc sức khỏe

  • Hệ thống nhà thuốc

    1. /
    2. Góc sức khỏe/
    3. Khỏe đẹp

    Mẻ răng là gì? Răng bị mẻ phải làm sao để phục hình lại răng?

    22/06/2025

    Kích thước chữ

    Tình trạng mẻ răng không chỉ làm mất đi tính thẩm mỹ cho hàm răng mà còn tạo điều kiện để vi khuẩn tấn công và gây hại cho sức khỏe răng miệng. Thậm chí mẻ răng nghiêm trọng buộc bạn phải nhổ bỏ răng. Vậy răng bị mẻ phải làm sao để khắc phục?

    Mẻ răng khiến người bệnh mất tự tin khi giao tiếp, đồng thời còn gây nhiều bệnh lý về răng miệng nguy hiểm. Hãy tham khảo bài viết sau để tìm hiểu nguyên nhân gây mẻ răng và răng bị mẻ phải làm sao?

    Mẻ răng là gì?

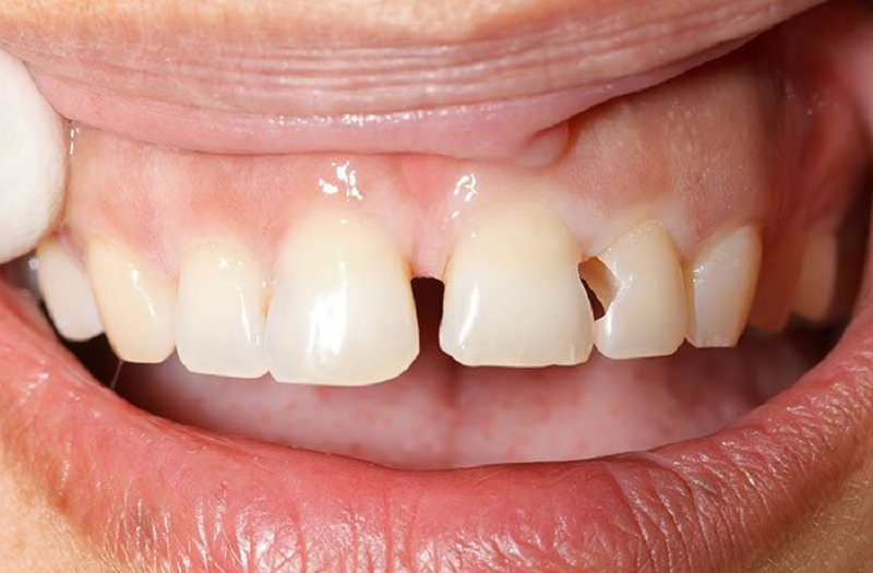
    Mẻ răng là gì? Răng bị mẻ phải làm sao để phục hình lại răng? 1 Răng bị mẻ phải làm sao để phục hình, trở lại hình dáng ban đầu?

    Bề mặt răng được lớp men răng bao bọc rất cứng chắc. Tuy nhiên, khi có các ngoại lực bên ngoài tác động lên, lớp men răng cũng rất dễ bị tổn thương. Răng mẻ là tình trạng phần men răng bị hư hỏng do hành động va đập, té ngã khiến cấu trúc răng bị mẻ vỡ một phần. Thường răng bị mẻ ở phần đỉnh múi hoặc vùng cạnh cắn làm cho răng trở nên lởm chởm, sắc nhọn… Từ đó có thể làm tổn thương cho các mô mềm trong khoang.

    Quá trình ăn uống và vệ sinh răng cũng chịu nhiều ảnh hưởng. Răng suy yếu đi và dễ bị vi khuẩn tấn công gây nhiều bệnh lý răng miệng nguy hiểm.

    Nguyên nhân gây mẻ răng

    Có nhiều nguyên nhân dẫn tới mẻ răng, thường gặp nhất là do:

    • Bị va đập bên ngoài, gây chấn thương khiến răng bị mẻ, đau nhức kèm theo ê buốt khó chịu.
    • Cắn vật cứng như đá, kẹo cứng, nắp chai, bao bì thực phẩm cứng.
    • Răng thiếu các khoáng chất như canxi, flour sẽ dễ bị vỡ, mẻ hơn khi nhai.
    • Do bị bệnh lý sâu răng gây mẻ, vỡ gây nhức buốt rất khó chịu.
    • Ăn nhiều thực phẩm có hàm lượng đường cao, thực phẩm chứa nhiều axit như cam, bưởi, chanh, bia rượu, nước ngọt có gas… có thể gây hại cho men răng như bị bào mòn và dễ sứt mẻ.
    • Nghiến răng sẽ làm cho men răng bị mòn, yếu hơn bình thường gây nên tình trạng mẻ răng.

    Mẻ răng có ảnh hưởng gì không?

    Răng khỏe mạnh thường gồm ba lớp: Men răng, ngà răng và tủy răng. Trong đó, lớp ngoài cùng, bao phủ và bảo vệ cho các mô nhạy cảm bên trong là men răng.

    Tình trạng mẻ, vỡ răng ít nhiều đều ảnh hưởng đến cấu trúc bảo vệ của răng, có thể làm cho ngà và tủy răng bị lộ ra ngoài, khiến bệnh nhân ăn uống hoặc tiếp xúc với không khí lạnh sẽ cảm thấy ê buốt.

    Mẻ răng khiến vi khuẩn và các tác nhân gây hại khác dễ dàng tấn công vào các cấu trúc bên trong của răng, làm tăng nguy cơ mắc phải các bệnh lý về răng miệng như sâu răng, viêm tủy răng, áp xe răng, viêm chóp răng… Nếu không sớm điều trị sẽ dẫn đến nguy cơ mất răng khá cao.

    Không những vậy, khi răng mẻ, vỡ sẽ trở nên sắc nhọn gây cộm cấn, nếu vô tình cắn phải lưỡi, má sẽ gây đau rát, chảy máu.

    Nếu răng bị mẻ vỡ nhưng không gây đau nhức, bệnh nhân cũng nên đến gặp bác sĩ để thăm khám để có phương pháp điều trị phù hợp, hiệu quả nhất.

    Răng bị mẻ phải làm sao?

    Khi gặp tình trạng răng bị mẻ phải làm sao? Bạn hãy làm theo hướng dẫn sau đây:

    Xử lý ban đầu

    Nếu phát hiện răng bị mẻ, gãy vỡ, bạn cần làm những điều sau:

    • Khạc nhổ ngay mảnh vỡ ra ngoài, tránh để mảnh vỡ sắc nhọn lọt xuống cơ quan tiêu hóa.
    • Tránh dùng tay lưỡi hoặc tay để chạm vào gờ răng bị mẻ vì có thể làm bạn bị đứt tay, chảy máu lưỡi.
    • Giữ lại các mảnh vỡ vì có khả năng nha sĩ có thể hàn lại vào răng cho bạn.
    • Súc miệng sạch và đến gặp nha sĩ để thăm khám và có biện pháp xử lý hiệu quả.

    Một số phương pháp phục hình răng mẻ

    Mẻ răng là gì? Răng bị mẻ phải làm sao để phục hình lại răng? 2 Một trong những cách phục hình răng mẻ hiệu quả là bọc răng sứ

    Khi bệnh nhân bị mẻ răng, nha sĩ thường dùng một số phương pháp phục hình răng mẻ phổ biến hiện nay gồm:

    Dán lại mảnh răng bị mẻ

    Nếu răng bị mẻ nhưng không làm tổn thương tủy, không làm hở chân răng, nha sĩ có thể dán lại mảnh vỡ bằng dụng cụ nha khoa chuyên dụng.

    Phương pháp này chỉ áp dụng với bệnh nhân có mảnh vỡ răng không bị hư hỏng, chắc khỏe và được giữ gìn tốt.

    Mài hoặc trám răng

    Nếu răng chỉ bị mẻ rất ít, có thể mài cạnh răng cho phẳng lại, đảm bảo được thẩm mỹ cho hàm răng.

    Nếu răng bị mẻ ít với diện tích phần bị mẻ nhỏ, không tác động nhiều đến phần mô răng, có thể dùng phương pháp trám răng. Để thực hiện kỹ thuật trám răng bị mẻ, nha sĩ loại bỏ các mô răng bị tổn thương, sau đó, dùng vật liệu trám chuyên dụng là composite để lắp đầy những khoảng trống trên bề mặt răng.

    Đối với các răng bị vỡ, mẻ hơn một phần hai thân răng, nha sĩ thường chỉ định bọc răng sứ thẩm mỹ để phục hình toàn diện và tối ưu nhất.

    Bọc răng sứ

    Bọc răng sứ là phương pháp phục hình răng hiệu quả nhất hiện nay. Để thực hiện, bác sĩ mài răng thật và chỉnh theo một tỷ lệ phù hợp, sau đó gắn cố định răng sứ lên trên.

    Không chỉ giúp phục hình răng bị mẻ vỡ, mão răng sứ còn che chắn phần răng thật, ngăn các vi khuẩn và các tác nhân gây hại bên ngoài tác động vào.

    Trồng răng Implant

    Trồng răng Implant được áp dụng khi tình trạng răng mẻ trở nên nghiêm trọng. Khi răng bị mẻ vỡ lớn, ảnh hưởng tủy răng nghiêm trọng khiến ăn nhai đau nhức. Các biện pháp như bọc sứ, trám răng để điều trị bảo tồn răng thật không hiệu quả. Lúc này bác sĩ sẽ chỉ định nhổ răng và trồng răng Implant để phục hình lại răng.

    Trụ implant có thể thay thế chân răng thật giúp khắc phục tình trạng tiêu xương hàm mà không làm biến dạng gương mặt, có thể giữ trọn đời nếu được chăm sóc tốt.

    Cách phòng ngừa tình trạng răng bị mẻ

    Khi đã biết răng bị mẻ phải làm sao thì bước tiếp theo bạn cần biết cách chăm sóc và phòng ngừa răng bị mẻ. Bạn nên lưu ý các vấn đề sau đây:

    Đánh răng đúng kỹ thuật

    Đánh răng ít nhất hai lần một ngày với các thao tác như các chuyên gia nha khoa hướng dẫn.

    Sử dụng chỉ nha khoa

    Giúp loại bỏ hiệu quả các mảng bám dính còn tồn đọng lại ở các kẽ răng.

    Mẻ răng là gì? Răng bị mẻ phải làm sao để phục hình lại răng? 3 Phòng ngừa tình trạng răng bị mẻ bằng cách hạn chế ăn thực phẩm nhiều đường

    Hạn chế ăn thực phẩm nhiều đường

    Bạn nên tránh tiêu thụ thực phẩm có hàm lượng đường cao như kẹo, bánh ngọt, chocolate, nước ngọt có gas… trong các bữa ăn hàng ngày. Nhớ đánh răng ngay sau khi ăn.

    Hạn chế ăn thực phẩm có tính axit cao

    Bạn nên hạn chế thực phẩm có tính axit cao như nước ngọt có gas, nước chanh, nước tắc. Sau khi dùng những thực phẩm này, bạn nên giảm bớt lượng axit còn bám lại trên răng bằng cách uống hoặc súc miệng bằng nước lọc.

    Ăn nhiều rau xanh

    Chất xơ trong rau xanh rất tốt trong việc làm sạch răng miệng.

    Uống đủ nước

    Uống nước không chỉ hỗ trợ cho hoạt động của tuyến nước bọt mà còn rửa trôi các mảng bám và mảnh vụn thực phẩm còn sót lại sau khi ăn.

    Không cắn vật cứng

    Không cắn vật cứng như nắp chai, bút bi, không xé bao bì thực phẩm bằng răng để tránh làm hư răng nặng thêm.

    Đeo dụng cụ bảo vệ răng

    Nếu mắc bệnh nghiến răng khi ngủ, nên đeo máng bảo vệ hàm khi chơi thể thao và đeo máng chống nghiến khi ngủ.

    Tóm lại, khi bạn gặp tình trạng răng bị mẻ, hãy đến ngay nha sĩ để được thăm khám và tìm giải pháp hữu hiệu nhất để phục hình răng cho bạn. Ngoài ra, để phòng ngừa tình trạng răng bị mẻ, bạn nên làm theo những lưu ý đã được đề cập trong bài viết trên.

    Quỳnh Trang

    Nguồn tham khảo: Tổng hợp

    Thông tin và sản phẩm gợi ý trong bài viết chỉ mang tính chất tham khảo, vui lòng liên hệ với Bác sĩ, Dược sĩ hoặc chuyên viên y tế để được tư vấn cụ thể. Xem thêm

    Dược sĩ Đại học Nguyễn Tuấn Trịnh

    Đã kiểm duyệt nội dung

    Từng làm ở Viện ISDS, nhiều năm cộng tác với CDC Thái Nguyên triển khai dự án phòng chống HIV/AIDS, 2 năm cộng tác với WHO.

    Xem thêm thông tin