Dược sĩ Đại học có nhiều năm kinh nghiệm trong việc tư vấn Dược phẩm và hỗ trợ giải đáp thắc mắc về Bệnh học. Hiện đang là giảng viên cho Dược sĩ tại Nhà thuốc Long Châu.
Quỳnh Loan
22/04/2025
Mặc định
Lớn hơn
Khi phát hiện mắc phải hemangioma gan, nhiều người cảm thấy vô cùng lo lắng, hoảng sợ vì nhầm lẫn với bệnh lý ung thư gan do cả hai bệnh đều thấy có xuất hiện khối u. Vậy bệnh hemangioma gan là gì, có nguy hiểm và điều trị khỏi được không, bài viết sau sẽ giúp bạn giải đáp những thắc mắc này.
Hemangioma gan thường không có triệu chứng rõ ràng nên bệnh nhân sẽ khó nhận biết, đến khi đi khám sức khỏe hoặc mắc phải bệnh lý nào đó cần điều trị mới tình cờ phát hiện ra. Tâm lý chung của bệnh nhân khi được chẩn đoán mắc hemangioma gan sẽ lo lắng mình có thể bị ung thư gan. Vì thế, việc hiểu rõ về bệnh lý này là rất quan trọng để giúp bệnh nhân điều trị khỏi bệnh một cách hiệu quả.
Hemangioma gan, hay u máu trong gan là tình trạng gan xuất hiện khối u lành tính. Nguyên nhân chính xác của hiện tượng này vẫn chưa xác định, tuy nhiên theo các chuyên gia y tế, đây có thể là vấn đề bẩm sinh, thường xuất hiện do mạng lưới các mạch máu trong hoặc trên bề mặt gan bị rối. Kích cỡ hemangioma gan sẽ khác nhau tùy từng người, có trường hợp phát hiện hemangioma gan kích thước nhỏ từ 2 – 4cm, song cũng có nhiều trường hợp hemangioma gan kích cỡ lớn hơn.

Một số yếu tố nguy cơ mắc hemangioma gan bao gồm:
Mặc dù lứa tuổi nào cũng đều có thể được chẩn đoán mắc hemangioma gan, tuy nhiên nguy cơ mắc phải bệnh lý này sẽ cao hơn ở những người trong độ tuổi từ 30 - 50.
So với nam giới, nữ giới có nhiều khả năng được chẩn đoán mắc hemangioma gan cao hơn.
Hormone estrogen có thể là yếu tố góp phần hình thành hemangioma gan. Do đó, phụ nữ mang thai thường có nồng độ estrogen tăng lên cũng kéo theo nguy cơ cao bị hemangioma gan hơn so với chị em chưa bao giờ mang thai.
Rất nhiều chị em áp dụng liệu pháp thay thế hormone để điều trị triệu chứng mãn kinh. Tuy nhiên, phương pháp này có thể gây ra tác dụng phụ không mong muốn là dẫn đến hemangioma gan.
Như đã đề cập bên trên, thông thường triệu chứng của bệnh hemangioma gan là không rõ rệt, nhất là khi khối u còn nhỏ sẽ không gây ảnh hưởng gì nhiều đến cơ thể nên càng khó nhận biết.
Đến khi kích thước của hemangioma gan quá to, gây chèn ép khiến bệnh nhân bị đau bụng thì đi khám mới được chẩn đoán mắc hemangioma gan. Thường thì hemangioma gan ở bên nào sẽ khiến bệnh nhân bị đau bên đó. Không chỉ đau, bệnh nhân còn có thể gặp cảm giác buồn nôn, chán ăn, sụt cân, cơ thể mệt mỏi thường xuyên.

Về bản chất, hemangioma gan là khối u lành tính nên nó không gây nguy hiểm. Bên cạnh đó, hiện vẫn chưa có bằng chứng nào cho thấy hemangioma gan không điều trị sớm sẽ tiến triển thành ung thư gan. Nói như thế không có nghĩa là chúng ta có thể chủ quan khi được chẩn đoán mắc hemangioma gan. Những phụ nữ có sử dụng liệu pháp thay thế hormone hay những chị em trong thời kỳ mang thai khi bị hemangioma gan cần cẩn trọng nguy cơ gặp phải các biến chứng sau đây:
Những phụ nữ mang thai đã được chẩn đoán mắc hemangioma gan sẽ gặp phải biến chứng u máu lan rộng, nói cách khác là kích thước u máu phát triển lớn hơn. Việc nội tiết tố nữ estrogen tăng lên trong thai kỳ là nguyên nhân thúc đẩy cho sự phát triển của chứng u máu.
Khi mắc phải bất kỳ bệnh lý nào về gan nào thì việc gan bị tổn thương là điều không thể tránh khỏi, bao gồm cả trường hợp bị hemangioma gan.
Một khi bệnh hemangioma gan tiến triển sẽ kéo theo các triệu chứng như bị đau tại vị trí góc phần tư phía trên bên phải của bụng, tình trạng đầy hơi bụng hoặc buồn nôn xảy ra thường xuyên cần phải được điều trị.
Việc thường xuyên thăm khám sức khỏe định kỳ hoặc thực hiện xét nghiệm hình ảnh có thể giúp phát hiện bệnh hemangioma gan do bệnh không biểu hiện các triệu chứng ra ngoài nên rất khó để chẩn đoán được ngay. Các xét nghiệm sau đây sẽ giúp chẩn đoán hemangioma gan:
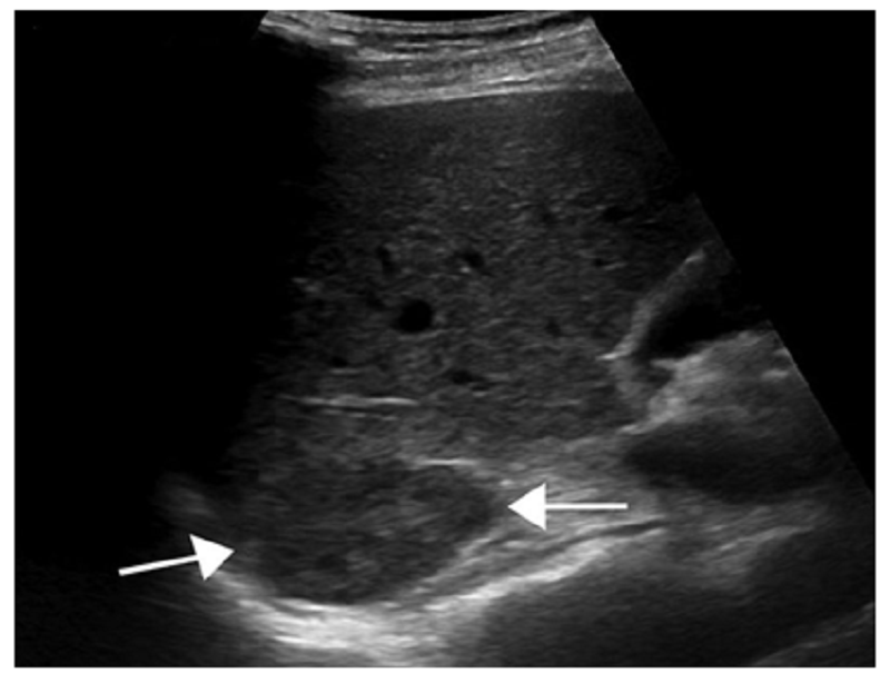
Khi siêu âm sẽ thấy được sự hình thành các echogenic đơn lẻ, tín hiệu âm thanh đi qua máu trong xoang hang sẽ có sự khuếch đại.

Mặc dù tia X không được sử dụng phổ biến để quan sát mô mềm nhưng kỹ thuật này vẫn có thể hỗ trợ phát hiện hemangioma gan, đặc biệt hữu ích trong việc giúp bác sĩ đánh giá lớp vỏ ngoài bị vôi hóa của u mạch máu, từ đó có thể chẩn đoán được chính xác hơn mức độ viên nang đóng băng.
Phương pháp chụp cộng hưởng từ (MRI) được đánh giá cao nhờ khả năng đặc biệt thể hiện chi tiết sự tương phản của mô mềm. U máu trong gan sẽ xuất hiện dưới dạng vùng có cường độ tín hiệu cao trên ảnh quét MRI, tuy nhiên phương pháp này chỉ chính xác khi chẩn đoán hemangioma gan có kích thước nhỏ.
Qua chất tương phản, phương pháp chụp CT sẽ cho thấy có một khối u dạng vũng nước nếu bệnh nhân mắc hemangioma gan, tạo điều kiện thuận lợi cho bác sĩ xác định và mô tả đặc điểm của bệnh rõ ràng. Phương pháp này đặc biệt hữu ích trong trường hợp các kỹ thuật hình ảnh khác cho kết quả không thuyết phục.
Kỹ thuật chụp động mạch sẽ tiến hành nếu chụp CT không có kết quả. Hình ảnh cho thấy các không gian hang động của hemangioma gan sẽ chứa đầy chất tương phản hình tròn hoặc hình bán nguyệt. Việc trì hoãn chất cản quang trong u mạch máu là một đặc điểm nổi bật được quan sát thấy trong chụp động mạch, hỗ trợ chẩn đoán xác định bệnh.

Theo truyền thống, sinh thiết gan được tiến hành để xác nhận sự hiện diện của u mạch máu. Tuy nhiên, với sự ra đời của các kỹ thuật hình ảnh tiên tiến cho kết quả chính xác và các phương pháp tiếp cận không xâm lấn, sự phụ thuộc vào sinh thiết gan đã giảm đi đáng kể. Ngày nay, sinh thiết ít được sử dụng hơn, chỉ dành cho những trường hợp kết quả hình ảnh thiếu thuyết phục.
Hemangioma gan là khối u lành tính thường thấy ở gan, có kích thước và mức độ ảnh hưởng rất khác nhau. Trong khi một số vẫn còn nhỏ và không có triệu chứng, một số khác có thể phát triển đến mức cần phải can thiệp.
Hiểu được các lựa chọn điều trị có sẵn hiện nay là rất quan trọng, đảm bảo các quyết định đúng đắn được đưa ra cũng như kiểm soát tình trạng bệnh hiệu quả dựa trên vị trí và kích thước của hemangioma.
Biện pháp điều trị phẫu thuật cắt bỏ khối u gan này được tiến hành khi hemangioma ở vị trí có thể dễ dàng tách ra khỏi gan.
Trường hợp hemangioma có kích thước lớn và lan rộng, bác sĩ phẫu thuật sẽ xem xét tiến hành loại bỏ một phần gan cùng với hemangioma.
Khi không được cung cấp máu, hemangioma có thể ngừng phát triển hoặc bị co lại. Để ngăn chặn lưu lượng máu, y khoa hiện đại có hai cách đó là buộc động mạch chính (thắt động mạch gan) hoặc tiêm thuốc vào động mạch để chặn nó (thuyên tắc động mạch). Các thủ thuật ngăn chặn lưu lượng máu đến hemangioma này không gây ảnh hưởng đến mô gan vì chúng hoàn toàn có thể lấy máu từ các mạch khác ở gần đó.

Khi hemangioma không thể điều trị bệnh bằng các biện pháp nêu trên, trong trường hợp này bác sĩ sẽ cân nhắc tiến hành phẫu thuật cắt bỏ gan của người bệnh và dùng gan từ người hiến để thay thế.
Chế độ dinh dưỡng đóng vai trò vô cùng quan trọng không chỉ đối với bệnh nhân hemangioma gan để giúp kiểm soát bệnh hiệu quả.
Bệnh nhân hemangioma gan cần tăng cường bổ sung thêm các loại thực thực phẩm giàu chất đạm, điển hình như cá hồi, tôm, cua, thịt đỏ, trứng,... Những thực phẩm này có tác dụng giúp tăng cường khả năng phục hồi và khỏi bệnh nhanh chóng.
Bên cạnh đó, thực phẩm giàu vitamin cũng mang lại tác dụng tốt cho lá gan của mỗi chúng ta, bao gồm cả hemangioma gan.
Ngoài ra, bệnh nhân hemangioma gan nên kết hợp dùng các loại thảo dược tốt như trà xanh, trà hoa atiso sẽ có tác dụng thải độc, chống oxy hóa cao, đồng thời giúp tăng cường hoạt động chức năng của gan, giúp gan lọc bỏ các chất độc thải ra ngoài cực kì tốt.
Không chỉ chú trọng tăng cường các thực phẩm tốt cho sức khỏe của gan, bệnh nhân hemangioma còn phải chú ý tránh các thực phẩm không nên ăn bao gồm:

Tóm lại, hemangioma gan hiện diện âm thầm bên trong cơ thể, không biểu hiện ra bên ngoài nên sẽ gây khó khăn cho việc chẩn đoán bệnh. Do đó, bác sĩ luôn khuyến cáo chúng ta nên kiểm tra sức khỏe thường xuyên nhằm phát hiện sớm và bảo vệ cơ thể khỏi các biến chứng tiềm ẩn.
Xem thêm:
Dược sĩ Đại họcNguyễn Mỹ Huyền
Dược sĩ Đại học có nhiều năm kinh nghiệm trong việc tư vấn Dược phẩm và hỗ trợ giải đáp thắc mắc về Bệnh học. Hiện đang là giảng viên cho Dược sĩ tại Nhà thuốc Long Châu.