Tốt nghiệp loại giỏi trường Đại học Y Dược Huế. Từng tham gia nghiên cứu khoa học đề tài về Dược liệu. Nhiều năm kinh nghiệm làm việc trong lĩnh vực Dược phẩm. Hiện đang là giảng viên cho Dược sĩ tại Nhà thuốc Long Châu.
Thị Hằng
02/07/2025
Mặc định
Lớn hơn
Thông qua hình ảnh X-quang của lao phổi, bác sĩ có thể phân biệt bệnh lý này với nhiều vấn đề sức khỏe khác và đánh giá chính xác tình trạng bệnh người được thăm khám.
Những người có nghi ngờ mắc lao phổi thường được bác sĩ chỉ định chụp X-quang để chẩn đoán và xác định chính xác giai đoạn bệnh. Vậy hình ảnh X-quang của lao phổi có điểm gì đặc biệt? Bài viết dưới đây của Nhà thuốc Long Châu sẽ làm rõ nghi vấn này.
Lao phổi là bệnh truyền nhiễm gây ra bởi trực khuẩn lao (Mycobacterium tuberculosis) và lây lan chủ yếu qua đường hô hấp.

Không phải ai bị nhiễm vi khuẩn lao cũng mắc lao phổi vì sự biểu hiện bệnh còn chịu sự chi phối của chức năng miễn dịch. Có trường hợp nhiễm khuẩn lao là mắc bệnh ngay, có trường hợp không phát bệnh hoặc bệnh tiến triển cực chậm, tùy vào sức đề kháng của mỗi người.
Lao phổi hiện được chia làm 3 loại cơ bản là lao phổi sơ nhiễm, lao phổi sau sơ nhiễm (lao kê, lao phổi thâm nhiễm sớm) và lao phổi mạn tính (lao nốt, lao xơ hang).
Những triệu chứng điển hình của lao phổi bao gồm ho liên tục kéo dài, đau ngực, sốt nhẹ vào buổi chiều tối, đổ mồ hôi trộm, sút cân, suy nhược cơ thể,...
Cách phòng chống lao phổi hiệu quả nhất là tiêm phòng vắc xin BCG. Loại vắc xin này có độ lành tính cao, thường được dùng để tiêm cho trẻ sơ sinh.
Việc điều trị bệnh lao phổi được thực hiện theo chương trình Chống lao Quốc gia. Nếu tuân thủ đúng phác đồ sẽ cho kết quả rất khả quan. Thời gian điều trị có thể kéo dài từ 6 tháng đến 3 năm tùy vào tình trạng bệnh. Ngoài ra, thể lực của mỗi người cũng chi phối rất nhiều đến độ an toàn và tính hiệu quả của phác đồ điều trị lao phổi.
Đối với những trường hợp nghi ngờ mắc lao phổi, chụp X-quang ngực được xem là kỹ thuật xét nghiệm hình ảnh bắt buộc.
Phương pháp này có độ nhạy cao, dễ áp dụng rộng rãi trong sàng lọc lao phổi. Hình ảnh tổn thương do lao phổi thể hiện rất rõ nét trên phim X-quang. Vậy nên bác sĩ có thể dựa vào xét nghiệm này để có thêm căn cứ khi chẩn đoán.
Tuy vậy, phim chụp X-quang có độ đặc hiệu không quá cao. Vậy nên để gia tăng độ tin cậy của kết quả chẩn đoán, các chuyên gia y tế thường kết hợp kỹ thuật xét nghiệm này với nhiều phương pháp khác như nhuộm soi tiêu bản đờm, chụp Xpert MTB, nuôi khuẩn lao, thử phản ứng Tuberculin.

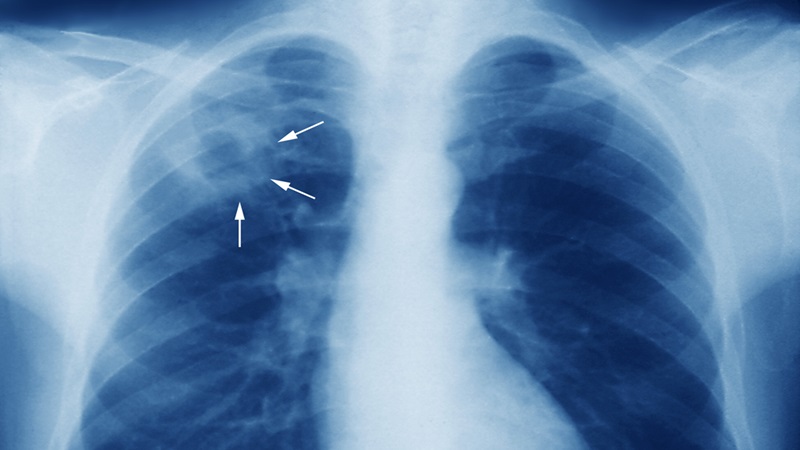
Hình ảnh X-quang của lao phổi không giống nhau hoàn toàn ở các ca bệnh mà chỉ có 60 - 80% điểm tương đồng. Đặc biệt, các loại lao phổi khác nhau sẽ cho hình ảnh X-quang khác nhau.

Hình ảnh X-quang của lao phổi sơ nhiễm có đặc trưng sau:
Như đã nhắc qua ở trên, lao phổi sau sơ nhiễm gồm 2 dạng là lao phổi thâm nhiễm sớm và lao kê. Khi quan sát hình ảnh chụp X-quang của lao phổi sau sơ nhiễm, bạn sẽ thấy những điểm đặc biệt sau:

Lao phổi mạn tính gồm 3 dạng cơ bản là lao xơ, lao xơ hang và lao nốt. Hình ảnh X-quang của lao phổi mạn tính có đặc trưng sau:
Chụp X-quang lao phổi được chỉ định cho các trường hợp nghi ngờ hoặc có nguy cơ cao mắc lao phổi. Cụ thể như sau:
Ngoài ra, những người có nghi ngờ mắc lao phổi, xuất hiện nhiều dấu hiệu điển hình của bệnh lý này cũng cần được thăm khám, chụp X-quang sớm để đánh giá chính xác tình trạng bệnh.
Trên đây là những thông tin về lao phổi, hình ảnh X-quang của lao phổi, đối tượng chi định và giải pháp can thiệp. Mong rằng với cẩm nang vừa chia sẻ, bạn có thể nắm bắt được sơ lược tình trạng sức khỏe của người thăm khám khi quan sát phim chụp X-quang.
Xem thêm:
Dược sĩ Đại họcNgô Kim Thúy
Tốt nghiệp loại giỏi trường Đại học Y Dược Huế. Từng tham gia nghiên cứu khoa học đề tài về Dược liệu. Nhiều năm kinh nghiệm làm việc trong lĩnh vực Dược phẩm. Hiện đang là giảng viên cho Dược sĩ tại Nhà thuốc Long Châu.