Tốt nghiệp Đại học Dược Hà Nội, với hơn 10 năm kinh nghiệm trong lĩnh vực Dược phẩm. Hiện là giảng viên giảng dạy các môn Dược lý, Dược lâm sàng,...
28/11/2023
Mặc định
Lớn hơn
Viêm phổi là một trong những căn bệnh thường gặp ở hệ hô hấp, ảnh hưởng đến sức khỏe và chất lượng cuộc sống của người bệnh. Với sự phát triển của công nghệ, thông qua phim chụp X quang viêm phổi, bác sĩ có thể nhanh chóng đưa ra kết luận về bệnh.
Chụp X quang viêm phổi là một trong những phương pháp chẩn đoán quan trọng và thông dụng trong lĩnh vực y học hiện đại. Kỹ thuật này cho phép các bác sĩ chuyên khoa nhìn thấy bản vẽ chi tiết của phổi.
Chụp X quang viêm phổi đem lại những lợi ích đáng kể trong việc xác định và đánh giá các bệnh lý liên quan đến phổi. Đồng thời hỗ trợ quá trình điều trị và theo dõi sự phát triển của bệnh.
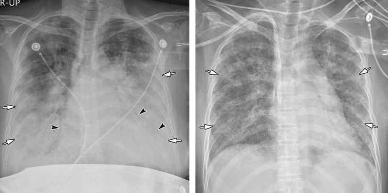
Chụp X quang viêm phổi là một phương pháp chẩn đoán hình ảnh thông qua việc sử dụng tia X để tạo ra hình ảnh của phổi và các cấu trúc liên quan. Điều này giúp bác sĩ nhìn nhận và đánh giá các biểu hiện của bệnh viêm phổi, tình trạng phổi bị viêm,...
Trong quá trình chụp X quang, bệnh nhân sẽ đứng hoặc nằm trên một bệ chứa tia X và hình ảnh phổi sẽ được chụp từ máy X quang. Kỹ thuật này cho phép bác sĩ xem qua các bộ phận nội tạng để phát hiện sự tổn thương, viêm nhiễm hoặc bất thường khác có trong phổi. Nhờ đó dễ dàng phát hiện ra các bệnh liên quan.

Chụp X quang viêm phổi ngoài sử dụng để đánh giá tình trạng phổi thì phương pháp này cũng cho phép đánh giá bóng tim, mạch máu và cấu trúc xương sườn của người bệnh để đưa ra chẩn đoán và xác định các tình trạng sau:
Dưới hình ảnh chụp X quang viêm phổi, bác sĩ có thể phát hiện và xác định một số bệnh liên quan đến phổi và các tạng gần đó:

Khi chuẩn bị và thực hiện chụp X quang, có một số lưu ý quan trọng bạn cần nắm để đảm bảo quá trình diễn ra an toàn và hiệu quả. Dưới đây là những điểm cần lưu ý khi chụp X-quang:

Như vậy thông bài viết trên, Long Châu hy vọng có thể giúp bạn giải đáp những thắc mắc về chụp X quang viêm phổi. Chụp X quang viêm phổi sẽ giúp phát hiện ra những tổn thương bất thường ở phổi và từ đó bác sĩ có thể đưa ra được những phương pháp chữa trị phù hợp và kịp thời.
Dược sĩ Đại họcNguyễn Thanh Hải
Tốt nghiệp Đại học Dược Hà Nội, với hơn 10 năm kinh nghiệm trong lĩnh vực Dược phẩm. Hiện là giảng viên giảng dạy các môn Dược lý, Dược lâm sàng,...