Tốt nghiệp loại giỏi trường Đại học Y Dược Huế. Từng tham gia nghiên cứu khoa học đề tài về Dược liệu. Nhiều năm kinh nghiệm làm việc trong lĩnh vực Dược phẩm. Hiện đang là giảng viên cho Dược sĩ tại Nhà thuốc Long Châu.
10/11/2023
Mặc định
Lớn hơn
Việc lấy cao răng sẽ giúp bảo vệ răng miệng và duy trì chức năng ăn uống tốt nhất. Vậy khi nào nên lấy cao răng và quá trình lấy cao răng mất bao lâu? Bài viết dưới đây sẽ giúp bạn tìm lời giải đáp cho thắc mắc trên.
Mặc dù vẫn chải răng hàng ngày nhưng vẫn không thể loại bỏ hoàn toàn các mảng bám cao răng ở kẽ răng và chân răng. Chính vì vậy, việc khám và lấy cao răng định kỳ là rất quan trọng để giúp bảo vệ hàm răng luôn khỏe mạnh. Vậy lấy cao răng mất bao lâu và khi nào nên lấy cao răng? Hãy cùng tìm hiểu trong bài viết dưới đây nhé!
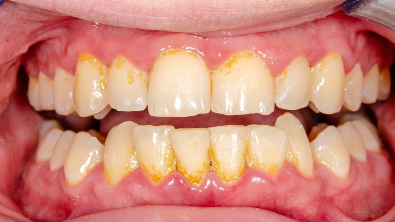
Để biết lấy cao răng mất bao lâu thì trước tiên cần phải tìm hiểu cao răng là gì? Cao răng là các mảng bám thành từng lớp ở bề mặt răng gần nướu, có màu trắng đục hoặc vàng nhạt. Thành phần của cao răng gồm có cacbonat, phosphate và vi khuẩn.

Ngoài ra, cao răng còn có chứa đọng sắt của huyết thanh trong máu. Đây là nơi mà các vi khuẩn phát triển và gây ra các bệnh răng miệng như:
Trên thực tế, thời gian lấy cao răng có thể dao động từ 30 phút đến 1 giờ đồng hồ tùy thuộc vào mức độ nhiều hay ít của cao răng và mảng bám. Trong quá trình điều trị, nha sĩ sẽ sử dụng một dung dịch tẩy trắng răng hoặc sử dụng tia laser để loại bỏ các vết ố vàng trên răng. Quá trình này sẽ được thực hiện cẩn thận để tránh làm tổn thương bề mặt răng.
Nếu bạn cảm thấy bị đau hoặc nhạy cảm khi nha sĩ đang tẩy trắng răng, hãy báo ngay cho họ để họ có thể điều chỉnh phương pháp điều trị để giảm đau hoặc nhạy cảm.
Khi cao răng xuất hiện, việc đầu tiên cần làm là tìm hiểu cách chăm sóc răng miệng và ăn uống phù hợp để giảm thiểu sự phát triển của cao răng. Điều quan trọng là phải đến nha sĩ ngay khi có thể để loại bỏ cao răng. Việc lấy cao răng là cần thiết để tránh các ảnh hưởng nghiêm trọng đến sức khỏe răng miệng. Các nha sĩ khuyên rằng, nên kiểm tra răng miệng định kỳ 3 - 6 tháng/lần để phát hiện và xử lý sớm các vấn đề về răng miệng, tránh tình trạng cao răng phát triển thành các mảng lớn hơn.

Lấy cao răng sẽ giúp loại bỏ các vết ố vàng, bám bụi, mảng bám và cả màu sắc không đẹp trên bề mặt răng. Để lấy cao răng, các phòng khám nha khoa hiện đại đang sử dụng máy móc hiện đại như máy siêu âm. Phương pháp lấy cao răng bằng máy siêu âm là phương pháp loại bỏ cao răng triệt để và không gây đau nhức cho bệnh nhân. Tuy nhiên, đây không phải là phương pháp duy nhất để lấy cao răng.
Để giữ cho răng miệng của mình luôn khỏe mạnh, nha sĩ khuyên nên thực hiện vệ sinh răng miệng đúng cách và đến nha sĩ định kỳ để duy trì tình trạng răng miệng tốt. Việc này sẽ giúp phòng tránh mảng bám răng và các vấn đề khác liên quan đến sức khỏe răng miệng.
Sau khi lấy cao răng, bạn có thể cảm thấy răng nhạy cảm và đau nhẹ trong một vài ngày đầu tiên. Trong trường hợp đau quá mức hoặc răng của bạn bị đau quá lâu sau khi điều trị, hãy liên hệ ngay với nha sĩ của bạn để được tư vấn.
Cạo vôi răng bao lâu thì ăn được? Để đảm bảo quá trình phục hồi diễn ra tốt nhất, bạn cần tuân thủ các hướng dẫn sau đây:
Trước khi quyết định điều trị lấy cao răng, bạn cần hỏi ý kiến của bác sĩ nha khoa của mình để đảm bảo rằng bạn đủ điều kiện để thực hiện phương pháp này. Nếu bạn có răng bị sâu hoặc viêm nhiễm, bạn sẽ cần điều trị răng trước khi lấy cao răng.

Sau khi điều trị, bạn có thể cảm thấy đau và nhạy cảm trong một vài ngày đầu tiên, nhưng cảm giác này sẽ dần dần giảm đi. Ngoài ra, bạn cũng cần lưu ý đến những điều sau đây khi điều trị lấy cao răng:
Trên đây là tổng hợp một số thông tin xoay quanh vấn đề lấy cao răng mất bao lâu và khi nào nên lấy cao răng. Hy vọng bài viết sẽ giúp bạn tìm được lời giải đáp và hiểu rõ hơn trong việc chăm sóc sức khỏe răng miệng nhé!
Xem thêm: 5 cách lấy cao răng bằng dấm đạt hiệu quả nhanh chóng ngay tại nhà
Nhật Lệ
Nguồn tham khảo: Tổng hợp
Dược sĩ Đại họcNgô Kim Thúy
Tốt nghiệp loại giỏi trường Đại học Y Dược Huế. Từng tham gia nghiên cứu khoa học đề tài về Dược liệu. Nhiều năm kinh nghiệm làm việc trong lĩnh vực Dược phẩm. Hiện đang là giảng viên cho Dược sĩ tại Nhà thuốc Long Châu.