Dược sĩ Đại học có nhiều năm kinh nghiệm trong việc tư vấn Dược phẩm và hỗ trợ giải đáp thắc mắc về Bệnh học. Hiện đang là giảng viên cho Dược sĩ tại Nhà thuốc Long Châu.
Phương Thảo
18/09/2025
Mặc định
Lớn hơn
Nhiệt miệng là tình trạng thường gặp, gây cảm giác đau rát và khó chịu trong sinh hoạt hằng ngày. Qua những hình ảnh nhiệt miệng từ thực tế, bạn sẽ dễ dàng nhận biết các dạng tổn thương trong miệng, từ đó có cách chăm sóc và phòng ngừa hiệu quả hơn.
Nhiệt miệng không chỉ gây ảnh hưởng đến việc ăn uống, giao tiếp mà còn là dấu hiệu cảnh báo cơ thể đang thiếu hụt dưỡng chất hoặc gặp phải yếu tố gây hại từ bên ngoài. Việc quan sát các hình ảnh nhiệt miệng cụ thể giúp chúng ta phân biệt rõ các vết loét, nhận biết mức độ nghiêm trọng và tìm ra hướng xử lý phù hợp. Trong bài viết này, chúng ta sẽ cùng tìm hiểu chi tiết về đặc điểm của nhiệt miệng, những hình ảnh minh họa đi kèm và cách chăm sóc tại nhà để nhanh chóng cải thiện tình trạng này.
Việc hiểu rõ các giai đoạn tiến triển của nhiệt miệng sẽ giúp bạn có phương pháp chăm sóc phù hợp, từ đó rút ngắn thời gian lành thương và giảm cảm giác khó chịu.
Ở giai đoạn đầu, nhiệt miệng chỉ xuất hiện dưới dạng những chấm trắng li ti trên niêm mạc miệng. Người bệnh có thể cảm thấy nóng rát nhẹ, đôi lúc hơi ngứa nhưng chưa quá đau. Vùng tổn thương có thể hơi sưng khi chạm vào. Hình ảnh nhiệt miệng trong thời kỳ này còn khá mờ nhạt, dễ bị bỏ qua nếu không quan sát kỹ.

Sau vài ngày, vết loét bắt đầu to hơn, trung tâm có màu trắng hoặc vàng, xung quanh viền đỏ. Nhiệt miệng có thể xuất hiện đơn lẻ hoặc thành từng cụm, gây cảm giác đau rát rõ rệt khi ăn uống, đặc biệt khi dùng thực phẩm cay, mặn hay nóng. Kích thước vết loét có thể đạt đến 10mm. Ở giai đoạn này, hình ảnh bị nhiệt miệng trở nên rất rõ ràng, dễ nhận biết bằng mắt thường.

Sau khoảng 7 - 14 ngày, vết loét dần se lại, kích thước thu nhỏ và cơn đau giảm bớt. Lúc này, lớp niêm mạc bắt đầu tái tạo, bề mặt vết thương được bao phủ bởi một màng mỏng báo hiệu quá trình hồi phục. Hình ảnh nhiệt miệng ở giai đoạn này thường cho thấy viền đỏ viêm rõ rệt quanh vết loét nhưng đây cũng chính là tín hiệu tích cực cho thấy tổn thương đang dần lành lại.

Việc xác định đúng vị trí bị nhiệt miệng không chỉ giúp bạn chăm sóc sức khỏe hiệu quả hơn mà còn hạn chế tình trạng nhiệt miệng tái phát hoặc kéo dài dai dẳng.
Vết loét có thể xuất hiện ở mặt trên, mặt dưới hoặc hai bên mép lưỡi, gây cảm giác đau rát khi nhai hoặc trò chuyện. Hình ảnh nhiệt miệng ở lưỡi thường là những mảng trắng nhỏ, viền đỏ viêm tấy, đôi khi dễ bị nhầm lẫn với tổn thương do cắn phải.
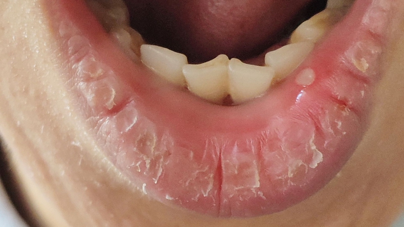
Khi vết loét xuất hiện tại môi hoặc mép miệng, người bệnh thường thấy khó chịu khi ăn uống, cử động miệng. Hình ảnh nhiệt miệng ở môi điển hình là vết loét tròn nhỏ, viền đỏ bao quanh, đôi khi kèm tình trạng môi khô và nứt nẻ. Nếu không được chăm sóc đúng cách, khu vực này rất dễ bị kích ứng và thời gian lành thương kéo dài hơn.

Vết loét ở nướu thường khiến việc nhai trở nên đau đớn, dễ nhầm lẫn với bệnh viêm lợi hoặc áp xe răng. Hình ảnh nhận biết nhiệt miệng ở nướu thường là vết trắng nhỏ nằm trên mô nướu, xung quanh có viền đỏ tấy. Việc vệ sinh răng miệng kém có thể khiến tình trạng này kéo dài và ảnh hưởng đến sức khỏe răng lợi.
Đây là vị trí gây nhiều bất tiện khi ăn uống, đặc biệt là lúc nuốt thức ăn. Hình ảnh nhiệt miệng ở má trong hoặc vòm họng thường cho thấy vết loét màu trắng đục, có viền đỏ viêm. Do thường xuyên tiếp xúc với thức ăn và đồ uống, khu vực này dễ bị kích ứng khiến vết loét chậm hồi phục hơn.

Thông thường, nhiệt miệng là tình trạng lành tính và có thể tự khỏi. Tuy nhiên, nếu vết loét kéo dài hơn 2 tuần mà không thuyên giảm, bạn cần thận trọng. Đặc biệt, những vết loét có kích thước lớn hơn 1cm, gây đau rát dữ dội có thể là dấu hiệu cảnh báo vấn đề nghiêm trọng hơn. Trường hợp kèm theo sốt cao, nổi hạch ở cổ hoặc dưới cằm, nguy cơ vết loét đã bị nhiễm trùng là rất cao.
Ở giai đoạn này, nhiệt miệng thường cho thấy vết loét sâu, viền đỏ sưng tấy rõ rệt, thậm chí có thể chảy dịch. Vì vậy, mặc dù nhiệt miệng khá phổ biến, bạn vẫn cần theo dõi sát sao. Nếu nhận thấy biểu hiện bất thường hoặc tình trạng tái phát nhiều lần, hãy đến cơ sở y tế để được bác sĩ thăm khám và đưa ra hướng điều trị phù hợp.

Nhiệt miệng thường không nguy hiểm và có thể tự khỏi sau 1 - 2 tuần. Tuy nhiên, việc chăm sóc đúng cách tại nhà sẽ giúp giảm đau, ngăn viêm nhiễm và rút ngắn thời gian lành vết loét. Bạn có thể tham khảo những biện pháp dưới đây:
Việc kết hợp những cách chăm sóc này sẽ giúp vết loét nhanh se lại, giảm đau rát và ngăn ngừa nguy cơ tái phát.

Nhiệt miệng là tình trạng phổ biến, tuy không nguy hiểm nhưng gây nhiều khó chịu trong sinh hoạt hằng ngày. Qua những hình ảnh nhiệt miệng và thông tin chi tiết trong bài, bạn có thể dễ dàng nhận diện các giai đoạn, vị trí thường gặp cũng như áp dụng cách chăm sóc tại nhà đúng cách để vết loét nhanh hồi phục. Nếu tình trạng kéo dài trên 2 tuần, tái phát nhiều lần hoặc kèm theo dấu hiệu bất thường, bạn nên đến cơ sở y tế để được thăm khám và tư vấn kịp thời.
Xem thêm:
Dược sĩ Đại họcNguyễn Mỹ Huyền
Dược sĩ Đại học có nhiều năm kinh nghiệm trong việc tư vấn Dược phẩm và hỗ trợ giải đáp thắc mắc về Bệnh học. Hiện đang là giảng viên cho Dược sĩ tại Nhà thuốc Long Châu.