Tốt nghiệp Khoa Dược trường Đại học Nam Cần Thơ. Có nhiều năm kinh nghiệm công tác trong lĩnh vực Dược phẩm. Hiện đang giảng viên cho Dược sĩ tại Nhà thuốc Long Châu.
Thanh Hương
04/09/2024
Mặc định
Lớn hơn
Những nốt mụn bỗng nhiên xuất hiện trong khoang miệng có thể khiến không ít người lo lắng. Vậy nổi mụn trắng trong miệng không đau là dấu hiệu bệnh gì? Cùng tìm hiểu nguyên nhân của những nốt mụn trắng trong miệng ngay trong bài viết dưới đây!
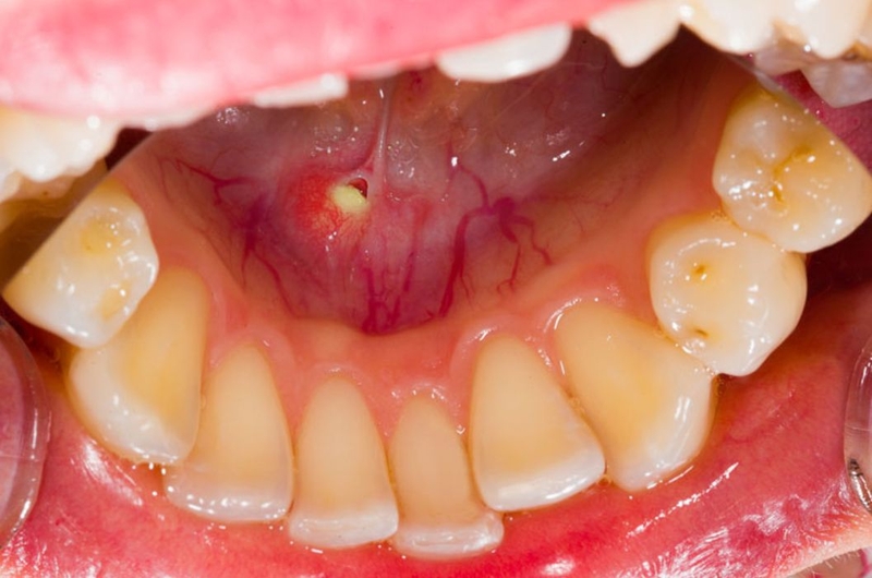
Có mụn nổi trong miệng không phải tình trạng hiếm gặp. Trong hầu hết các trường hợp, mụn trắng trong miệng có thể gây đau kèm sốt nhưng không quá đáng lo. Tuy nhiên, đôi khi những nốt mụn trắng cũng có thể dấu hiệu cảnh báo một tình trạng sức khỏe cần theo dõi. Vậy nổi mụn trắng trong miệng không đau là dấu hiệu bệnh gì? Có đáng lo không?
Trong hầu hết các trường hợp, mụn mọc trong miệng dù là mụn gì cũng đều gây đau. Lý do là bởi miệng thực hiện chức năng nhai nuốt thức ăn, chức năng giao tiếp, phát âm nhiều lần trong ngày. Mỗi khi miệng thực hiện chức năng của mình, các tổ chức bên trong khoang miệng sẽ bị tác động ít nhiều, trong đó có cả các nốt mụn. Nên chắc chắn, nếu có mụn trong khoang miệng bạn sẽ cảm nhận được cảm giác đau ở các mức độ khác nhau. Ngoài ra, các acid trong khoang miệng cũng sẽ tác động đến đầu mụn hay vết loét của mụn và gây đau.

Trường hợp phát hiện nổi mụn trắng trong miệng không đau có thể là do các nốt mụn mới hình thành, kích thước còn nhỏ, chưa bị sưng viêm, chưa bị loét. Trong trường hợp này là mụn chưa phát triển đến mức độ gây đau chứ không phải không đau. Cũng có trường hợp nốt mụn trắng không gây đau nhưng người bệnh lại gặp các triệu chứng khác như đau họng, ho kéo dài, sốt… Vậy nguyên nhân nổi mụn hay nổi cục màu trắng trong miệng có thể là gì?
Hầu hết chúng ta đều chỉ phát hiện các nốt mụn trắng trong miệng khi có cảm giác đau, vướng hoặc các triệu chứng khác như đau ngứa họng, ho nhiều. Một số nguyên nhân gây nổi mụn trắng trong miệng như:
Nổi mụn trắng trong miệng không đau cũng có thể là dấu hiệu của mụn rộp sinh dục - bệnh do virus Herpes gây nên. Ban đầu, trong miệng xuất hiện những nốt mụn nước màu hồng đơn lẻ. Nhưng sau đó, chúng sẽ lan rộng, thường khu trú ở lưỡi, nướu, môi, vòm miệng. Khi các nốt mụn này vỡ ra sẽ tạo thành vết loét và chúng ta quan sát thấy màu trắng.
Bệnh viêm họng hạt đặc trưng bởi các hạt màu trắng trong khoang miệng, nhất là vị trí gần cổ họng. Những hạt trắng này nhìn giống như những nốt mụn, to bằng hạt gạo hoặc hơn. Chúng có thể liên kết với mạch máu xung quanh, có thể gây ngứa ngáy, khó chịu khiến người bệnh muốn khạc nhổ liên tục.
Viêm nhiễm ở vùng nướu, lưỡi, má trong,... có thể gây nhiệt miệng với biểu hiện là các nốt màu trắng hoặc vàng xuất hiện tại bất kỳ vị trí nào của khoang miệng. Khi nốt nhiệt miệng loét ra có thể gây đau, xót. Nếu xuất hiện nhiều nốt nhiệt miệng cùng lúc và các vết này bị loét rộng, người bệnh có thể bị đau nhiều, sốt cao, nổi hạch trong góc hàm.

Chân tay miệng thường gặp nhất ở trẻ em dưới 6 tuổi với đặc trưng là các nốt trắng trong khoang miệng, bàn tay, bàn chân. Ban đầu, các mụn nước này không gây đau, nhưng khi chúng vỡ ra, tiếp xúc với nước bọt và bị cọ xát trong khoang miệng chúng sẽ gây đau. Khi đó, trẻ bị bệnh sẽ có biểu hiện khó nhai nuốt và khó nói.
Bạch sản niêm mạc là tình trạng tăng sinh các mô tế bào trong khoang miệng. Ban đầu, các mô bị tăng sinh sẽ dẫn đến hình thành mụn nước màu trắng. Chúng lây lan nhanh và khi bị vỡ ra sẽ hình thành vết loét màu trắng. Diện tích vết loét màu trắng có thể tăng dần lên thành từng đám. Bề mặt vết loét có thể dày, cứng, sưng lên.
Nổi mụn trắng trong miệng không đau cũng có thể do sỏi nước bọt. Khi thấy nổi hạt trong miệng, bạn có thể nghĩ đến bệnh sỏi tuyến nước bọt. Đây là tình trạng các thành phần vô cơ và hữu cơ trong tuyến nước bọt bị tích tụ lại. Nếu sỏi hình thành ở đầu ra của ống dẫn, bạn có thể nhìn thấy những hạt màu trắng. Thành phần của sỏi nước bọt gồm canxi photphat, magie và cacbonat.

Trường hợp này hiếm khi xảy ra nhưng chúng ta cũng không thể bỏ qua không nhắc tới. Các u cục nhỏ khi mới hình thành có thể không gây đau. Nhưng khi kích thước của chúng tăng dần, dễ bị cọ xát với răng, thức ăn… sẽ gây tổn thương khó lành. Các u sẽ cứng dần và lớn dần lên gây đau và khó nuốt.
Như đã nói ở trên, nổi mụn trắng trong miệng không đau là khi mụn mới xuất hiện. Vì vậy, việc điều trị sẽ nhanh chóng và đơn giản hơn khi nốt mụn gây đau. Tùy đối tượng bị nổi mụn, tình trạng mụn nhiều hay ít và các triệu chứng kèm theo, chúng ta sẽ áp dụng các biện pháp điều trị khác nhau.
Nếu mụn trắng nổi ít, không gây đau, không kèm theo bất kỳ triệu chứng nào khác, bạn chỉ cần chăm sóc tại nhà bằng cách:

Nổi mụn trắng trong miệng không đau nhưng mụn có xu hướng lây lan, xuất hiện nhiều hơn bạn nên dùng thuốc bôi tại chỗ hoặc thuốc uống. Tuy nhiên, bạn chỉ nên sử dụng các thuốc không kê đơn dưới sự tư vấn của dược sĩ. Các loại thuốc kê đơn cần dùng theo đúng chỉ định của bác sĩ. Một số loại thuốc như Oracortia, Kamistad, Orrepaste có tác dụng kháng khuẩn tại chỗ có thể hữu ích trong việc kiểm soát mụn lây lan.
Trường hợp các nốt mụn trắng bắt đầu gây đau, lan nhanh trong miệng và kèm triệu chứng khác như ho, ngứa họng, sốt, đau họng, sưng hạch… bạn nên đến gặp bác sĩ. Không nên để mụn trắng trong miệng kéo dài hơn 15 ngày mà không đi khám. Khi đó, bác sĩ sẽ tùy từng triệu chứng lâm sàng để khám và chỉ định thực hiện các xét nghiệm cần thiết hỗ trợ chẩn đoán bệnh. Tùy từng nguyên nhân cụ thể, bác sĩ sẽ chỉ định dùng thuốc hoặc tư vấn cách điều trị phù hợp.
Nổi mụn trắng trong miệng không đau hầu hết đều là tình trạng không nguy hiểm. Vì vậy, ngay khi phát hiện các vết mụn trắng, bạn nên tăng cường vệ sinh răng miệng, sát khuẩn khoang miệng và theo dõi sự tiến triển của mụn. Nếu mụn gia tăng, đau hơn và kèm các triệu chứng khác, bạn nên đi khám sớm.
Xem thêm:
Dược sĩ Đại họcNguyễn Thị Thảo Nguyên
Tốt nghiệp Khoa Dược trường Đại học Nam Cần Thơ. Có nhiều năm kinh nghiệm công tác trong lĩnh vực Dược phẩm. Hiện đang giảng viên cho Dược sĩ tại Nhà thuốc Long Châu.