Tốt nghiệp Khoa Dược trường Đại học Võ Trường Toản. Có nhiều năm kinh nghiệm trong ngành Dược. Hiện đang là giảng viên cho Dược sĩ tại Nhà thuốc Long Châu.
Nga Linh
28/12/2023
Mặc định
Lớn hơn
Phương pháp phẫu thuật kết hợp xương là một liệu pháp phổ biến được sử dụng rộng rãi trong việc điều trị gãy xương hiện nay. Điều này mang lại nhiều ưu điểm, bao gồm hiệu quả cao, ít gặp phải biến chứng và giúp bệnh nhân hồi phục sức khỏe một cách nhanh chóng.
Phương pháp kết hợp xương đang được ưu tiên sử dụng là một phương tiện điều trị gãy xương tối ưu, nhờ vào những lợi ích đối với sức khỏe của bệnh nhân. Phẫu thuật kết hợp xương áp dụng các vật liệu cơ học chuyên biệt để cố định các đầu xương gãy, tạo điều kiện thuận lợi cho quá trình liền xương.
Phương pháp phẫu thuật kết hợp xương là một phương tiện phổ biến hiện nay để điều trị gãy xương mà ít gây xâm lấn, thường được áp dụng trong những trường hợp gãy thành nhiều mảnh, mảnh xương lệch khỏi vị trí ban đầu, hoặc gãy ở nhiều vị trí khác nhau. Phương pháp này bao gồm đầy đủ các kỹ thuật ít xâm lấn như nắn kín, sử dụng đinh hoặc nẹp vít.
Mục tiêu của phẫu thuật kết hợp xương là cố định xương, đưa chúng trở lại vị trí chính xác hoặc thay thế những phần xương bị gãy, vỡ hoặc mất ở các vị trí rộng lớn như xương sọ, xương bả vai, xương chậu mà không cần đến các biện pháp phẫu thuật lớn.
Sau khoảng 3 - 4 tuần từ thời điểm phẫu thuật, tại vị trí đã được cố định bằng đinh hoặc nẹp vít, tế bào xương, tế bào sụn và sợi collagen sẽ bắt đầu lấp đầy những khoảng trống nhỏ giữa hai đầu xương gãy, tạo điều kiện cho xương liền lại.

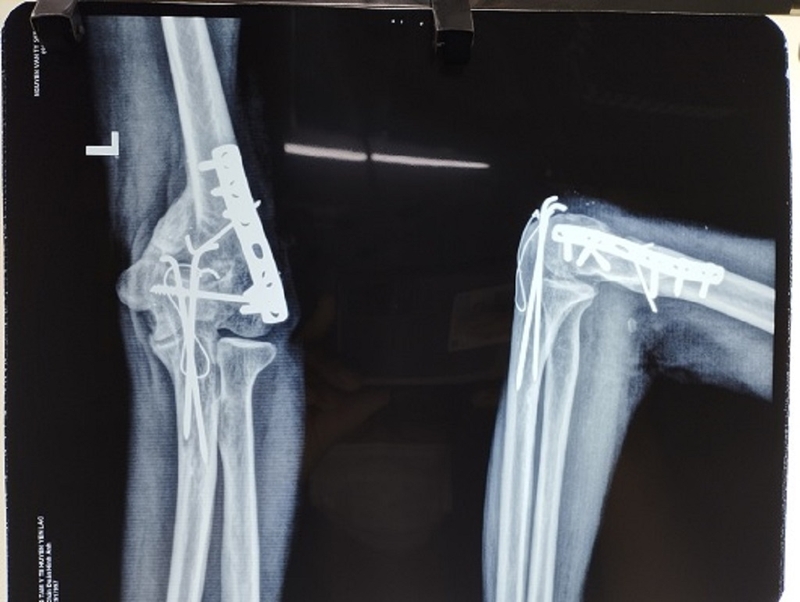
Có hai phương pháp chính thường được sử dụng trong phẫu thuật kết hợp xương, đó là kết hợp xương bằng đinh nội tủy và sử dụng nẹp vít.
Chủ yếu áp dụng khi có ổ gãy tại những vị trí như xương chậu, xương đòn, đầu xa xương chày, đầu xa xương cánh tay, với tình trạng gãy đầu xương, gãy thụt vào khớp, hoặc gãy nát nhiều tầng thân xương, đòi hỏi việc bắt nhiều vít để cố định. Trong quá trình phẫu thuật, nẹp vít được sử dụng làm từ thép không gỉ hoặc titanium.
Phương pháp này thường được ưu tiên áp dụng cho người lớn vì theo thời gian, quá trình lão hóa của xương diễn ra và quá trình tái tạo xương chậm dần. Trong trường hợp này, việc sử dụng nẹp vít giúp "kết nối" các mảnh xương gãy, thúc đẩy quá trình liền xương diễn ra nhanh chóng, đặc biệt là khi thời gian liền xương sau gãy kéo dài.

Thường được ưu tiên áp dụng cho bệnh nhân gãy từ 1/3 thân xương chi dưới, đặc biệt là ở những xương ống dài như xương đùi, xương chày, do đinh nội tủy có khả năng chịu lực tỷ lớn, mà chi dưới phải chịu đựng trọng lực lớn khi cơ thể thực hiện các hoạt động vận động và đi lại.
Ngoài ra, phương pháp này cũng được áp dụng trong các trường hợp gãy xương ở trẻ em, đặc biệt là khi có độ di lệch lớn và không thể điều trị bằng băng nẹp hoặc bó bột. Quyết định sử dụng loại đinh nội tủy cụ thể như Kuntscher, đinh Rush, đinh SIGN, đinh Metaizeau sẽ phụ thuộc vào tình trạng cụ thể của vết thương và thời gian từ khi xảy ra tình trạng gãy xương.
Nhờ sự kết hợp của máy móc, công nghệ hiện đại và các kỹ thuật tiên tiến, phẫu thuật kết hợp xương mang lại nhiều lợi ích hơn so với các phương pháp phẫu thuật truyền thống.

Sau phẫu thuật, quan trọng nhất là phải tiếp tục theo dõi phản ứng và tình trạng sức khỏe của người bệnh, đặc biệt là vị trí của phẫu thuật, để có thể xử lý kịp thời mọi biến chứng có thể xảy ra. Các biến chứng mà người bệnh có thể phải đối mặt sau phẫu thuật kết hợp xương bao gồm:

Vậy là qua bài viết này của Nhà thuốc Long Châu, chắc hẳn bạn đọc đã có thêm những kiến thức hữu ích về phương pháp phẫu thuật kết hợp xương. Hiện nay, rủi ro xảy ra trong quá trình phẫu thuật kết hợp xương là hiếm, với đa số các ca phẫu thuật này đạt tỷ lệ thành công khá cao. Để đảm bảo sự thành công và an toàn của quá trình điều trị, người bệnh cần tuân thủ đúng các chỉ định và yêu cầu chăm sóc vết thương, cũng như tuân thủ chế độ dinh dưỡng được đề xuất bởi bác sĩ. Đồng thời, việc kết hợp với tập vật lý trị liệu phù hợp sẽ hỗ trợ thúc đẩy quá trình phục hồi chức năng của xương một cách hiệu quả.
Xem thêm:
Dược sĩ Đại họcTừ Vĩnh Khánh Tường
Tốt nghiệp Khoa Dược trường Đại học Võ Trường Toản. Có nhiều năm kinh nghiệm trong ngành Dược. Hiện đang là giảng viên cho Dược sĩ tại Nhà thuốc Long Châu.