Dược sĩ Đại học có nhiều năm kinh nghiệm trong việc tư vấn Dược phẩm và hỗ trợ giải đáp thắc mắc về Bệnh học. Hiện đang là giảng viên cho Dược sĩ tại Nhà thuốc Long Châu.
Thu Thủy
23/09/2025
Mặc định
Lớn hơn
Nướu răng đóng vai trò quan trọng trong việc bảo vệ và duy trì sức khỏe răng miệng, nhưng không phải ai cũng hiểu rõ về cấu tạo và chức năng của nó. Nếu không được chăm sóc đúng cách, các bệnh lý liên quan đến nướu răng có thể gây ảnh hưởng nghiêm trọng đến chất lượng cuộc sống. Hãy cùng tìm hiểu chi tiết hơn về nướu và cách chăm sóc hiệu quả tại nhà trong bài viết dưới đây nhé!
Nướu răng là phần mô mềm bao quanh xương ổ răng và chân răng. Bộ phận này không chỉ có chức năng cố định mà còn giúp liên kết các răng lại với nhau. Theo thống kê, hơn 50% người trưởng thành gặp vấn đề về nướu răng, từ viêm nhẹ đến các bệnh lý nghiêm trọng như viêm nha chu. Việc hiểu rõ về cấu tạo, chức năng đến cách chăm sóc nướu sẽ giúp bạn phòng ngừa các bệnh lý và duy trì hàm răng khỏe mạnh. Tham khảo ngay bài viết dưới đây nhé!
Nướu răng hay còn gọi là lợi, là mô mềm bao quanh chân răng và xương ổ răng trong khoang miệng. Đây là một phần của niêm mạc miệng, có màu hồng nhạt hoặc đậm tùy thuộc vào cơ địa từng người.
Nướu răng đóng vai trò như một hàng rào bảo vệ, ngăn cách vi khuẩn và các tác nhân gây hại từ môi trường bên ngoài xâm nhập vào chân răng và xương hàm. Một nướu răng khỏe mạnh sẽ giúp răng luôn chắc khỏe và mang đến nụ cười tự tin hơn.

Nướu răng đảm nhận nhiều chức năng quan trọng trong khoang miệng như:
Nướu răng có cấu tạo phức tạp bao gồm nhiều lớp mô khác nhau, mỗi lớp lại đảm nhận một vai trò riêng biệt. Dưới đây là chi tiết về cấu tạo của nướu:
Nướu tự do là phần nướu bao quanh cổ răng, không bám chặt vào bề mặt răng. Phần này tạo thành khe nướu, nơi dễ tích tụ mảng bám và vi khuẩn nếu không vệ sinh đúng cách. Nướu tự do thường mỏng, dễ bị tổn thương khi chải răng quá mạnh.
Nướu dính là phần nướu bám chặt vào xương ổ răng và bề mặt răng, nằm ngay dưới nướu tự do. Phần này thường có kết cấu dày hơn, màu hồng nhạt và ít nhạy cảm hơn nướu tự do. Nướu dính giúp bảo vệ xương hàm và tạo độ bền vững cho răng.
Nướu liên gai là phần mô nằm giữa các răng, có hình dạng tam giác, lấp đầy khoảng trống giữa các chân răng. Phần này giúp ngăn thức ăn mắc kẹt và duy trì sự ổn định của răng. Nướu liên gai khỏe mạnh có độ đàn hồi tốt, không bị tụt hoặc phì đại, góp phần tạo nên đường viền nướu thẩm mỹ.

Nướu sừng là phần nướu kéo dài từ bờ viền nướu đến phần tiếp giáp giữa niêm mạc và nướu. Lớp này giúp nướu chịu được áp lực từ hoạt động nhai và chải răng. Nướu sừng khỏe mạnh có độ bền cao, chống lại sự xâm nhập của vi khuẩn và tổn thương cơ học.
Lõm nướu là vùng lõm nhỏ ở bề mặt nướu, có vị trí nằm giữa các răng trong vùng nướu dính. Nếu lõm nướu sâu hoặc kèm theo chảy máu, cần thăm khám nha sĩ để đánh giá tình trạng.
Nướu răng dễ bị tổn thương nếu không được chăm sóc đúng cách, dẫn đến nhiều bệnh lý phổ biến. Dưới đây là các bệnh lý thường gặp ở nướu như:
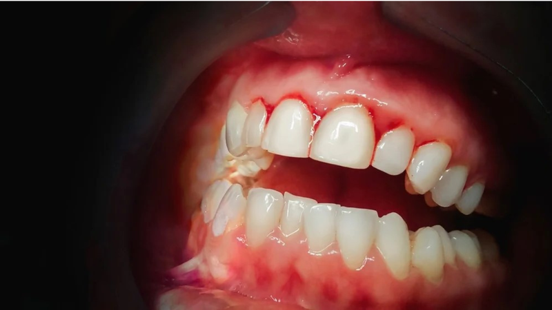
Sưng nướu răng thường do mảng bám hoặc cao răng tích tụ, gây kích ứng mô nướu. Triệu chứng bao gồm nướu đỏ, sưng, đau khi chạm, và đôi khi chảy máu khi đánh răng. Nếu không điều trị, sưng nướu có thể tiến triển thành viêm nha chu.
Viêm nướu là tình trạng viêm nhẹ ở nướu, thường do vệ sinh răng miệng kém. Nướu trở nên đỏ, sưng, dễ chảy máu và có thể kèm hơi thở hôi. Viêm nướu có thể được cải thiện bằng cách vệ sinh đúng cách, nhưng nếu để lâu sẽ gây tổn thương nghiêm trọng hơn.
Ung thư nướu là bệnh lý hiếm gặp nhưng nguy hiểm, thường liên quan đến hút thuốc lá, uống rượu bia hoặc nhiễm virus HPV. Triệu chứng bao gồm nướu sưng, loét không lành, đau kéo dài hoặc xuất hiện khối u bất thường. Việc phát hiện sớm sẽ góp phần giúp tăng hiệu quả điều trị.
Chảy máu chân răng là dấu hiệu phổ biến của viêm nướu hoặc thiếu vitamin C. Triệu chứng thường xuất hiện khi đánh răng, dùng chỉ nha khoa hoặc ăn đồ cứng. Nếu không xử lý, chảy máu kéo dài có thể dẫn đến viêm nha chu hoặc mất răng.

Viêm nha chu là tình trạng viêm nhiễm nghiêm trọng, ảnh hưởng đến nướu, dây chằng nha chu và xương ổ răng. Triệu chứng bao gồm nướu tụt, răng lung lay, hơi thở hôi và mủ ở chân răng. Bệnh có thể dẫn đến mất răng nếu không điều trị kịp thời.
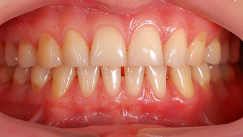
Nướu răng khỏe mạnh là dấu hiệu của sức khỏe răng miệng tốt, giúp bảo vệ răng và tăng thẩm mỹ nụ cười. Hiểu rõ đặc điểm của nướu khỏe mạnh sẽ giúp bạn nhận biết sớm các bất thường và chăm sóc nướu tốt hơn. Dưới đây là các đặc điểm của nướu răng khỏe mạnh.
Nướu khỏe mạnh có màu hồng nhạt hoặc hồng san hô, đều màu, không có đốm trắng hoặc đỏ bất thường. Ở một số người có sắc tố da sẫm, nướu có thể có màu nâu nhẹ nhưng vẫn đều và không loét.
Bề mặt nướu khỏe mạnh mịn, không sưng, không sần sùi và có kết cấu giống vỏ cam khi nhìn gần. Nướu không bị viêm sẽ ôm sát chân răng, không có mủ hoặc mảng bám.
Nướu khỏe mạnh có hình dạng đều, ôm sát cổ răng, với phần nướu liên gai hình tam giác rõ nét giữa các răng. Nướu không tụt hoặc phì đại, tạo đường viền hài hòa với răng.

Khe nướu (khoảng cách giữa nướu tự do và răng) khỏe mạnh có độ sâu khoảng 1 – 3 mm, không chảy máu khi thăm khám bằng dụng cụ nha khoa. Khe nướu quá sâu có thể là dấu hiệu của viêm nha chu.
Nướu khỏe mạnh có độ đàn hồi tốt, không dễ chảy máu hoặc tổn thương khi chải răng nhẹ nhàng. Nướu bền giúp bảo vệ chân răng và xương hàm khỏi vi khuẩn xâm nhập.
Chăm sóc nướu răng đúng cách tại nhà sẽ giúp ngăn ngừa các bệnh lý và duy trì sức khỏe răng miệng. Dưới đây là những biện pháp đơn giản nhưng hiệu quả mà bạn có thể áp dụng hàng ngày như:
Đánh răng ít nhất 2 lần/ngày (sáng và tối) bằng bàn chải lông mềm và kem đánh răng chứa fluor. Nhẹ nhàng chải răng theo góc 45 độ để tránh làm tổn thương nướu. Thời gian chải răng tốt nhất nên kéo dài khoảng 2 phút.
Chỉ nha khoa giúp loại bỏ mảng bám và thức ăn mắc kẹt giữa các răng, nơi bàn chải không thể tiếp cận. Sử dụng chỉ nha khoa ít nhất 1 lần/ngày, nhẹ nhàng để không làm tổn thương nướu.
Súc miệng bằng nước muối sinh lý (0,9%) hoặc dung dịch súc miệng không cồn 1 – 2 lần/ngày giúp giảm vi khuẩn và làm dịu nướu viêm. Tránh súc miệng quá mạnh để không kích ứng nướu.

Hạn chế thực phẩm chứa đường, đồ chiên rán và bổ sung thực phẩm giàu vitamin C và canxi để tăng sức đề kháng cho nướu. Đồng thời, nhớ uống đủ nước để giữ khoang miệng sạch sẽ.
Thăm khám nha sĩ 6 tháng/lần để kiểm tra sức khỏe nướu và lấy cao răng. Phát hiện sớm các vấn đề như viêm nướu hoặc viêm nha chu giúp điều trị hiệu quả hơn.
Hy vọng bài viết này đã giúp bạn hiểu rõ hơn về cấu tạo, chức năng đến các bệnh lý liên quan và cách chăm sóc nướu răng hiệu quả. Việc duy trì thói quen vệ sinh răng miệng đúng cách và thăm khám định kỳ sẽ giúp bạn bảo vệ nướu răng, ngăn ngừa bệnh lý và giữ nụ cười luôn rạng rỡ.
Dược sĩ Đại họcNguyễn Mỹ Huyền
Dược sĩ Đại học có nhiều năm kinh nghiệm trong việc tư vấn Dược phẩm và hỗ trợ giải đáp thắc mắc về Bệnh học. Hiện đang là giảng viên cho Dược sĩ tại Nhà thuốc Long Châu.