Tốt nghiệp Khoa Dược trường Đại học Nam Cần Thơ. Có nhiều năm kinh nghiệm công tác trong lĩnh vực Dược phẩm. Hiện đang giảng viên cho Dược sĩ tại Nhà thuốc Long Châu.
Thanh Hương
23/02/2024
Mặc định
Lớn hơn
Tim là trung tâm của hệ tuần hoàn, là cơ quan quan trọng hàng đầu của cơ thể. Tim cung cấp máu đi nuôi tất cả các cơ quan trong cơ thể. Bất cứ vấn đề nào xảy ra ở tim đều gây ảnh hưởng đến cơ thể. Và để theo dõi sức khỏe của tim, chúng ta cần có các chỉ số đánh giá chức năng của tim.
Tim là cơ quan quan trọng bậc nhất trong cơ thể của chúng ta. Tim giúp duy trì sự sống bằng cách bơm máu và oxy nuôi dưỡng tất cả các tế bào trong cơ thể. Tim bơm khoảng 5 - 6 lít máu mỗi phút và có thể co bóp liên tục đến 100.000 lần mỗi ngày. Vì vậy, bất cứ vấn đề bất thường nào xảy ra ở tim đều gây ảnh hưởng đến cơ thể con người theo nhiều cách khác nhau. Để tìm ra những bất thường đó, các bác sĩ sẽ căn cứ vào các chỉ số đánh giá chức năng của tim.
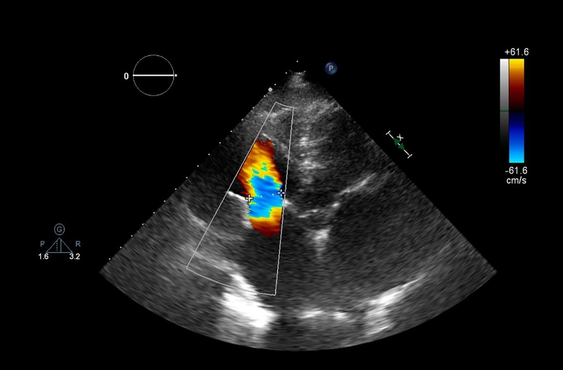
Để có các chỉ số quan trọng phục vụ cho mục đích đánh giá chức năng tim, các bác sĩ sẽ chỉ định thực hiện siêu âm tim. Siêu âm tim là kỹ thuật chẩn đoán hình ảnh tim không xâm lấn nhằm mục đích khảo sát chức năng, hình thái, huyết động học của tim (gồm buồng tim, màng ngoài tim, mạch máu lớn nối với tim, vách tim).
Các phương pháp chẩn đoán bệnh lý liên quan đến tim không ngừng phát triển. Siêu âm tim không phải kỹ thuật mới nhưng vẫn luôn là chỉ định đầu tay khi cần theo dõi sức khỏe tim mạch. Khi nghi ngờ các bất thường hay bệnh lý về tim, các bác sĩ vẫn thường chỉ định siêu âm tim đầu tiên sau đó mới đến các xét nghiệm bổ sung hoặc chuyên sâu khác. Siêu âm tim để có các chỉ số đánh giá chức năng của tim có các loại như:

Để có thể đánh giá chức năng tim, chúng ta cần đánh giá cấu trúc giải phẫu và hoạt động sinh lý của tim. Chức năng của tim được thể hiện qua các chỉ số gồm:
Cách đo các chỉ số quan trọng này trong siêu âm tim cụ thể là:

Trong các cách đo chỉ số đánh giá chức năng của tim, siêu âm tim có vai trò vô cùng quan trọng. Đây là phương pháp khảo sát đơn giản, không xâm lấn, thực hiện nhanh chóng nhưng lại đưa ra kết quả chính xác có độ tin cậy cao. Siêu âm tim giúp bác sĩ có được các chỉ số cần thiết để đánh giá hình thái, chức năng, huyết động học của các mạch máu lớn nối với tim, màng ngoài tim, buồng tim, vách tim. Qua đó, bác sĩ có thể chẩn đoán được các vấn đề liên quan đến sức khỏe tim mạch và đưa ra phương án điều trị kịp thời.
Siêu âm giúp bác sĩ quan sát được hình ảnh tim, nhìn thấy cách tim đập và bơm máu thế nào. Kết quả các chỉ số chức năng có được sẽ giúp bác sĩ tìm ra nhiều bất thường trong cơ tim và tim như:

Việc siêu âm để đánh giá các chỉ số đánh giá chức năng của tim thường được chỉ định hay thực hiện khi:
Siêu âm tim để thu thập chỉ số chức năng tim không xâm lấn, không phức tạp nhưng lại cực hiệu quả trong phát hiện các bất thường về tim nên vẫn đang được sử dụng vô cùng phổ biến. Các bất thường về tim đôi khi không biểu hiện thành triệu chứng nhưng có thể bộc lộ qua nhịp tim, kích cỡ tim, cách thở bất thường… Vì vậy, việc kiểm tra các chỉ số đánh giá chức năng của tim định kỳ hay khi có bất cứ triệu chứng bất thường nào là việc chúng ta nên làm ngay hôm nay. Phát hiện sớm các bất thường về tim giúp việc điều trị bệnh tim mạch dễ dàng và hiệu quả hơn nhiều.
Xem thêm:
Dược sĩ Đại họcNguyễn Thị Thảo Nguyên
Tốt nghiệp Khoa Dược trường Đại học Nam Cần Thơ. Có nhiều năm kinh nghiệm công tác trong lĩnh vực Dược phẩm. Hiện đang giảng viên cho Dược sĩ tại Nhà thuốc Long Châu.