Hiền Lương
29/12/2023
Mặc định
Lớn hơn
Tràn dịch phổi có chữa được không? Ngày nay có rất nhiều phương pháp điều trị khi bị tràn dịch phổi. Nhưng để điều trị hiệu quả thì cần phát hiện kịp thời những dấu hiệu liên quan đến bệnh.
Tràn dịch phổi có thể xảy ra ở cả người lớn và trẻ em. Bệnh sẽ để lại những biến chứng nặng nề nếu không điều trị kịp thời. Vậy tràn dịch phổi có chữa được không? Theo dõi bài viết để trả lời câu hỏi trên.
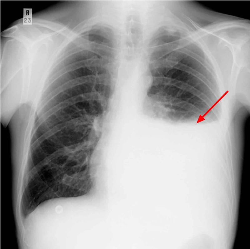
Trước khi giải đáp tràn dịch phổi có chữa được không, hãy cùng chúng tôi tìm hiểu về những dấu hiệu tràn dịch màng phổi mà bạn cần biết. Tùy thuộc vào nguyên nhân và mức độ tràn dịch màng phổi, bệnh nhân có thể gặp các triệu chứng lâm sàng rất khác nhau. Các triệu chứng thường gặp:

Để trả lời cho thắc mắc tràn dịch phổi có chữa được không thì câu trả lời là có. Tình trạng này có khả năng kiểm soát tối đa nếu được chẩn đoán và điều trị sớm. Để điều trị tràn dịch màng phổi, bác sĩ sẽ xác định nguyên nhân gây tích tụ dịch trong khoang màng phổi và xác định chiến lược điều trị thích hợp.
Chọc hút dịch
Phương pháp này hiện nay là phương pháp điều trị phổ biến và giúp loại bỏ dịch ra khỏi cơ thể, giúp người bệnh dễ thở hơn.
Dẫn lưu dịch phổi
Phương pháp này được sử dụng khi bệnh nhân có dịch tiết mủ, tràn máu màng phổi hoặc tràn khí màng phổi. Một thiết bị hình ống đặc biệt (ống dẫn lưu), thường được làm bằng silicone, được đưa qua da vào khoang màng phổi và nối với hệ thống hút áp suất âm để dẫn lưu mủ và máu.
Điều trị nội khoa
Tùy vào nguyên nhân gây bệnh mà bác sĩ sẽ chỉ định phương pháp điều trị phù hợp.
Điều trị hỗ trợ

Hầu hết bệnh nhân tham gia điều trị đều hồi phục trong vòng vài tuần hoặc vài tháng, tùy thuộc vào nguyên nhân gây bệnh. Trong một số trường hợp, tràn dịch màng phổi có thể dẫn đến các biến chứng nghiêm trọng tùy thuộc vào mức độ nghiêm trọng của bệnh, nguyên nhân và phương pháp điều trị được sử dụng. Các biến chứng nghiêm trọng do tràn dịch màng phổi bao gồm:
Những biến chứng này có thể gây ra hậu quả tiêu cực và nghiêm trọng. Bác sĩ sẽ xác định phương án điều trị hiệu quả nhất và thảo luận về lợi ích cũng như rủi ro của việc điều trị với người bệnh. Vì vậy, để ngăn ngừa các biến chứng, người bệnh cần được xét nghiệm và điều trị kịp thời tại cơ sở hoặc bệnh viện chuyên khoa hô hấp.

Tràn dịch màng phổi là triệu chứng hoặc biến chứng của nhiều bệnh phổi khác nhau, bao gồm viêm phổi, khối u ác tính và ung thư phổi. Các bệnh khác bao gồm áp xe dưới cơ hoành, áp xe gan, xơ gan cổ trướng, suy thận và suy tim.
Vì vậy, các bệnh gây tràn dịch màng phổi cần được phát hiện sớm và điều trị hiệu quả. Ngoài ra, một số biện pháp có thể giúp ngăn ngừa nguy cơ:
Trên đây là những chia sẻ của chúng tôi về tràn dịch phổi có chữa được không. Đây là một trong những tình trạng nguy hiểm và ảnh hưởng đến sức khỏe của người bệnh nếu không được điều trị kịp thời. Chính vì thế nên người bệnh cần lưu ý về những dấu hiệu để đến bệnh viện điều trị kịp thời.
Xem thêm:
Cách điều trị tràn dịch màng phổi tại nhà