• Thực phẩm chức năng

  • Dược mỹ phẩm

  • Thuốc

  • Chăm sóc cá nhân

  • Thiết bị y tế

  • Tiêm chủng

  • Bệnh & Góc sức khỏe

  • Hệ thống nhà thuốc

    1. /
    2. Góc sức khỏe/
    3. Tin tức sức khỏe

    Trẻ nhiễm virus hợp bào hô hấp đang gia tăng

    27/05/2025

    Kích thước chữ

    Hơn 1.000 trẻ nhiễm virus hợp bào hô hấp (RSV) từ đầu năm đến nay được ghi nhận tại Bệnh viện Nhi Trung Ương (Hà Nội). Tính riêng từ ngày 1 - 5/3 đã có 157 bệnh nhi nhiễm RSV. Số ca nhiễm RSV phát hiện tại Bệnh viện Nhi Trung Ương đang có xu hướng gia tăng và diễn biến nặng ở nhóm trẻ nhỏ và có bệnh lý nền.

    Theo Bệnh viện Nhi Trung Ương, RSV là căn nguyên phổ biến toàn cầu gây ra các nhiễm trùng đường hô hấp dưới ở trẻ nhỏ. Bệnh thường xuất hiện vào thời điểm giao mùa, đặc biệt là mùa thu - đông hoặc xuân - hè (từ tháng 10 đến tháng 3 hằng năm).

    Cảnh báo gia tăng trẻ nhiễm virus hợp bào hô hấp (RSV)

    Virus là một trong những tác nhân quan trọng gây viêm đường hô hấp cấp ở trẻ em, trong đó đứng đầu là RSV, có thể chiếm 20 - 30% các ca nặng nhập viện.

    Trẻ nhiễm RSV thường có những dấu hiệu khởi phát là ho, hắt hơi, sổ mũi… Giai đoạn toàn phát: Trẻ khò khè, ho, thở nhanh. Trẻ sơ sinh có thể tím tái hoặc có cơn ngừng thở. Bệnh thường gặp ở nhóm dưới 2 tuổi, đặc biệt là dưới 6 tháng tuổi.

    Các bác sĩ khuyến cáo: Khi thấy trẻ có một trong các dấu hiệu nặng như: Bỏ bú, ăn kém, thở nhanh rút lõm lồng ngực, tím tái, sốt cao, co giật, cha mẹ cần đưa trẻ đến ngay cơ sở y tế để được điều trị kịp thời.

    Theo chuyên gia hô hấp của Bệnh viện Nhi Trung Ương , bệnh do RSV gây ra không có thuốc điều trị đặc hiệu. Khi trẻ mắc bệnh, cần cho trẻ uống nhiều nước, dùng thuốc hạ sốt và đảm bảo chế độ dinh dưỡng tốt, giàu vitamin…

    Trẻ có thể tự khỏi, nhưng cần theo dõi sát để phát hiện dấu hiệu nặng và đưa trẻ tới bệnh viện kịp thời. Lưu ý cha mẹ không tự mua thuốc cho con uống mà phải tới cơ sở y tế để thăm khám. Bởi cha mẹ sẽ không thể nhận định được trẻ chỉ bị nhiễm virus thông thường hay đã bị nhiễm khuẩn đường hô hấp dưới để quyết định sử dụng thuốc một cách hợp lý.

    Nên cho trẻ uống nhiều nước hơn để tránh thiếu nước vì thiếu nước sẽ làm đờm trở nên cô đặc và làm bệnh nặng hơn. Uống nhiều nước giúp trẻ loãng đờm và dịu ho. Tuy nhiên, không nên cho trẻ uống nước giải khát hoặc nước trái cây pha loãng vì chúng thường có nhiều đường, ít năng lượng hoặc thiếu sự cân bằng chất điện giải.

    Trẻ nhiễm virus hợp bào hô hấp đang gia tăng1Hình ảnh biến chứng khi mắc virus hợp bào hô hấp (RSV)

    Tìm hiểu về virus RSV gây viêm phổi ở trẻ

    Hầu hết các trẻ em thường nhiễm virus hợp bào hô hấp trước 2 tuổi. Ngoài ra, virus RSV cũng có thể gây lây nhiễm cho người lớn. Một người sau khi bị nhiễm virus RSV có thể sau 2 - 8 ngày mới biểu hiện triệu chứng. Ở người lớn và trẻ khỏe mạnh, các triệu chứng sau nhiễm virus RSV thường nhẹ, giống cảm lạnh thông thường và có thể áp dụng các biện pháp tự chăm sóc tại nhà để giảm nhẹ những biểu hiện khó chịu.

    Tuy nhiên, nhiễm virus hợp bào hô hấp cũng có thể nghiêm trọng trong một số trường hợp, đặc biệt là ở trẻ sinh non và trẻ sơ sinh có những vấn đề sức khỏe tiềm ẩn, gây viêm tiểu phế quản hoặc viêm phổi, suy thở nhanh, rất nguy hiểm cho trẻ. Ngoài ra, bệnh cũng có thể trở nên nghiêm trọng ở người lớn tuổi, người có bệnh về tim, phổi hoặc có hệ miễn dịch suy yếu.

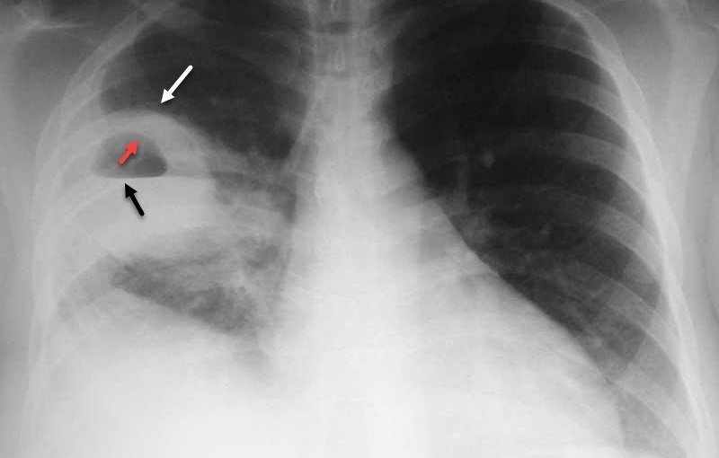
    Trẻ nhiễm virus hợp bào hô hấp đang gia tăng2Bệnh viêm phổi do virus RSV được nhìn thấy trên phim chụp X-quang

    Biểu hiện

    • Khó thở: Thở nhanh đi kèm triệu chứng rút lõm lồng ngực;
    • Thở khò khè và chảy nước mũi;
    • Ho nhiều;
    • Sốt cao;
    • Đau họng nhẹ;
    • Đau tai;
    • Thường quấy khóc, không nhanh nhẹn, người mệt mỏi, ngủ không ngon;
    • Bỏ bú hoặc bú kém, ăn kém;
    • Ngưng thở khoảng 15 - 20 giây, thường gặp ở trẻ sinh non và trẻ có tiền sử bệnh ngưng thở;
    • Có biểu hiện thiếu nước nghiêm trọng gồm: Khóc không có nước mắt, không đi tiểu suốt 6 giờ, mắt trũng, da nhăn nheo.

    Cách phòng bệnh

    • Để phòng bệnh, tránh đưa trẻ tới nơi công cộng, tiếp xúc với những người có biểu hiện ho, sốt, sổ mũi…
    • Cha mẹ, người chăm sóc trẻ cần rửa tay sạch trước khi chăm sóc trẻ và lưu ý thói quen hôn trẻ có thể làm lây lan virus. Virus có thể sống vài giờ trên mặt bàn, ghế, đồ chơi, bàn tay, do đó cần vệ sinh sạch các vật dụng cá nhân, đồ chơi, bề mặt thường tiếp xúc.
    • Lưu ý: Nếu phát hiện những dấu hiệu bất thường cần cho trẻ đi khám lại ngay. Trường hợp trẻ bị thở khò khè, ra nhiều dịch nhầy, ngăn cản không khí tới các phế nang của phổi thì cần nhập viện điều trị ngay. Những trường hợp bội nhiễm phổi cần phải uống thuốc kháng sinh, truyền dịch hoặc thậm chí là hỗ trợ thở oxy,...
    Trẻ nhiễm virus hợp bào hô hấp đang gia tăng3Cha mẹ cần nhanh chóng đưa trẻ đến khám tại bệnh viện để kịp thời điều trị

    Tóm lại, RSV có khả năng lây lan mạnh, nếu các gia đình chủ quan không cho con đi khám, không biết con nhiễm bệnh thì sẽ khiến bệnh tình của bé ngày càng nặng thêm, gây ra nhiều biến chứng cũng như dễ khiến loại virus này phát tán rộng trong cộng đồng.

    Xem thêm:

    Virus hợp bào hô hấp (RSV) là gì? Loại virus này nguy hiểm như thế nào?

    Virus RSV ủ bệnh bao lâu? Trong thời gian ủ bệnh virus RSV có lây không?

    Có thể bạn quan tâm

    Thông tin và sản phẩm gợi ý trong bài viết chỉ mang tính chất tham khảo, vui lòng liên hệ với Bác sĩ, Dược sĩ hoặc chuyên viên y tế để được tư vấn cụ thể. Xem thêm

    Dược sĩ Đại học Nguyễn Tuấn Trịnh

    Đã kiểm duyệt nội dung

    Từng làm ở Viện ISDS, nhiều năm cộng tác với CDC Thái Nguyên triển khai dự án phòng chống HIV/AIDS, 2 năm cộng tác với WHO.

    Xem thêm thông tin