Dược sĩ Đại học có nhiều năm kinh nghiệm trong việc tư vấn Dược phẩm và hỗ trợ giải đáp thắc mắc về Bệnh học. Hiện đang là giảng viên cho Dược sĩ tại Nhà thuốc Long Châu.
Ngọc Trang
11/04/2024
Mặc định
Lớn hơn
U cơ tuyến túi mật chủ yếu xảy ra ở nam giới từ 50 tuổi trở lên. Đây là một thực thể lành tính, thường được phát hiện tình cờ qua chẩn đoán hình ảnh. Khi bệnh gây ra các triệu chứng hoặc không phân biệt với ung thư túi mật thì phẫu thuật cắt bỏ túi mật là phương pháp điều trị phổ biến, thường được thực hiện bằng phẫu thuật nội soi.
Túi mật là một cơ quan nhỏ hình quả lê ở trong bụng có chức năng lưu trữ và cô đặc dịch mật được sản xuất từ trong gan. Túi mật phân hủy chất béo để hỗ trợ tiêu hóa. Một trong số những tình trạng có thể ảnh hưởng đến túi mật là u cơ tuyến túi mật, khiến thành túi mật dày lên.
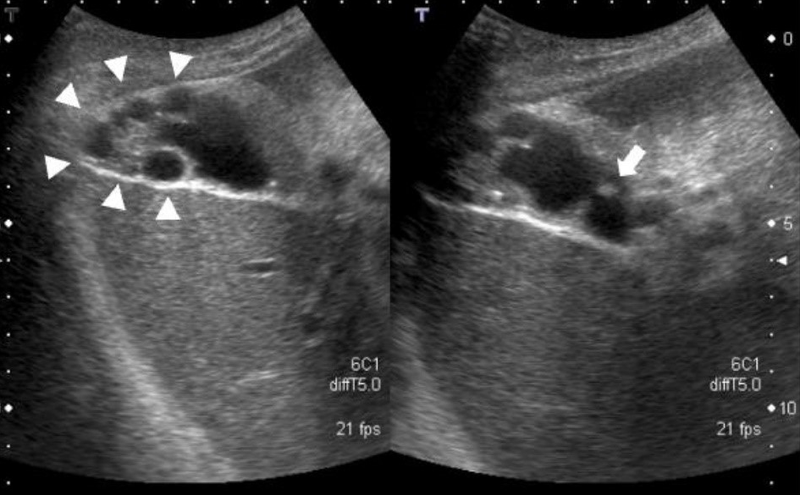
U cơ tuyến túi mật là một dạng tổn thương lành tính với biểu hiện đặc trưng là sự phì đại biểu mô, niêm mạc và cơ trơn. Lúc này, thành túi mật dày lên đôi khi hơn 10mm, có chứa túi thừa hoặc túi thừa giả (xoang Rokitansky-Aschoff) xâm lấn rất sâu, liên quan trực tiếp đến hiện tượng thành túi mật dày lên, đôi khi có thể lan ra ngoài lớp cơ.
Có 3 dạng u cơ tuyến túi mật gồm:

Khi bị u cơ tuyến túi mật, người bệnh thường không gặp triệu chứng gì. Bệnh được phát hiện tình cờ qua giải phẫu bệnh của bệnh phẩm cắt túi mật hoặc qua kết quả chẩn đoán hình ảnh. Trường hợp rất hiếm gặp là khối u có thể gây ra cơn đau quặn mật ở vùng hạ sườn phải. Cơn đau chỉ kéo dài từ vài phút đến vài giờ và sau đó tự khỏi. Người bệnh có thể gặp trường hợp bị rối loạn tiêu hóa không đặc hiệu như không dung nạp thức ăn béo, buồn nôn, nôn, đầy hơi,… và tần suất của tình trạng này tăng theo thời gian. Các đợt viêm túi mật không do sỏi có thể là biểu hiện của u cơ tuyến túi mật.
Nếu tình trạng u cơ tuyến túi mật không được chẩn đoán và điều trị sớm có thể dẫn đến các biến chứng sau:

Vẫn chưa xác định chính xác cơ chế bệnh sinh của u cơ tuyến túi mật. Ngoài ra, cơ chế bệnh sinh ở trẻ sơ sinh cũng khác với người lớn. Một số nguyên nhân có thể liên quan gồm:
Do u cơ tuyến túi mật không gây triệu chứng cụ thể nên chẩn đoán hình ảnh giữ vai trò rất quan trọng trong việc phân biệt chính xác tình trạng này với các tổn thương liên quan như ung thư túi mật, polyp túi mật, u tuyến, viêm túi mật cấp tính, viêm túi mật mạn tính, u hạt vàng, suy tim, giảm protein máu, viêm tụy cấp, viêm quanh gan,… Các phương pháp chẩn đoán được áp dụng phổ biến bao gồm: Chụp X-quang, siêu âm nội soi, chụp CT, chụp cộng hưởng từ (MRI).
Bác sĩ sẽ chỉ định phương pháp điều trị phù hợp tùy vào từng trường hợp bệnh lý, cụ thể như sau:
Trường hợp nghi ngờ u cơ tuyến túi mật nhưng không chắc chắn
Khi chẩn đoán u cơ tuyến túi mật, mặc dù đã chụp MRI gan mật, nhưng không chắc chắn, bác sĩ sẽ đề nghị phẫu thuật cắt túi mật để loại trừ trường hợp ung thư biểu mô túi mật. Để đưa kết quả mô học chính xác, bác sĩ cũng sẽ tiến hành xẻ mẫu bệnh phẩm cắt túi mật. Trường hợp thành túi mật dày lên do u cơ tuyến túi mật, người bệnh không cần điều trị thêm. Ngược lại, người bệnh cần được điều trị chuyên khoa càng sớm càng tốt nếu nguyên nhân do ung thư biểu mô túi mật.

U cơ tuyến túi mật có xuất hiện triệu chứng
Bác sĩ sẽ chỉ định phẫu thuật cắt túi mật đối với u cơ tuyến túi mật có triệu chứng, đi kèm có hoặc không có sỏi túi mật. Tuy nhiên, điều quan trọng là đã chụp MRI đường mật để chẩn đoán chính xác và loại bỏ các nguyên nhân gây đau bụng khác. Trong trường hợp này, ưu tiên phẫu thuật nội soi.
U cơ tuyến túi mật dạng đáy không xuất hiện triệu chứng
Trong điều trị u cơ tuyến túi mật dạng đáy không có triệu chứng, cho dù kích thước nào, phẫu thuật cắt túi mật không được khuyến cáo.
U cơ tuyến túi mật dạng phân thùy hoặc lan tỏa, không xuất hiện triệu chứng
Bác sĩ có thể chỉ định phẫu thuật cắt túi mật trong trường hợp này nhưng cần cân nhắc giữa lợi ích và nguy cơ tiến triển thành ung thư dựa theo các yếu tố sau: Giới tính, độ tuổi, tiền sử gia đình, dấu hiệu bất thường liên quan đến đường nối mật - tụy,… Trường hợp này ưu tiên phẫu thuật nội soi cắt túi mật.
Bất thường chỗ nối mật - tụy liên quan đến u cơ tuyến túi mật, không triệu chứng
Phẫu thuật cắt túi mật dự phòng cũng cần được thực hiện ngay cả khi đường mật không giãn để ngăn nguy cơ diễn tiến thành ung thư túi mật. Không cần cân nhắc loại u cơ tuyến túi mật trong trường hợp này.
U cơ tuyến túi mật ở trẻ em
Không có khuyến nghị chính thức cho trường hợp này do hiếm khi xảy ra. Phương pháp điều trị phẫu thuật cắt bỏ túi mật vẫn là tối ưu.
Để làm giảm nguy cơ mắc u tuyến túi mật cũng như các vấn đề bệnh lý liên quan như sỏi túi mật, viêm túi mật, từ đó bảo vệ túi mật khỏe mạnh, mỗi người nên chủ động thực hiện các biện pháp cần thiết sau đây:

Tóm lại, do khi bị u cơ tuyến túi mật, người bệnh thường không gặp triệu chứng gì nên rất dễ chủ quan, dẫn đến phát hiện bệnh trễ. Do đó, nếu phát hiện dấu hiệu gì bất thường, bạn nên đi khám bệnh ngay để tránh biến chứng nguy hiểm.
Dược sĩ Đại họcNguyễn Mỹ Huyền
Dược sĩ Đại học có nhiều năm kinh nghiệm trong việc tư vấn Dược phẩm và hỗ trợ giải đáp thắc mắc về Bệnh học. Hiện đang là giảng viên cho Dược sĩ tại Nhà thuốc Long Châu.