Bạn phát hiện viền chân răng của mình bị ố đen, điều này khiến bạn mất tự tin trong giao tiếp? Bạn e ngại mỗi cười? Bạn băn khoăn không biết nguyên nhân do đâu, cách khắc phục tình trạng viền chân răng bị đen như thế nào? Tất cả sẽ được giải đáp qua bài viết dưới đây.
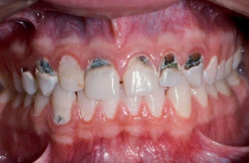
1. Nguyên nhân dẫn đến viền chân răng bị đen?
Nếu bạn chưa biết thì viền chân răng bị đen là dấu hiệu cho thấy việc chăm sóc sức khỏe răng miệng của bạn chưa tốt. Một số nguyên nhân phổ biến có thể kể đến như sau:
- Cao răng: Cao răng là những cặn vôi hóa cứng bám trên răng, chúng được hình thành khi vi khuẩn trong miệng kết hợp với phần thức ăn thừa trong các kẽ răng tạo thành mảng bám có màu vàng, trắng ngà hoặc nâu đen. Nhiều mảng bám tích tụ dẫn đến cao răng xuất hiện và hình thành trên kẽ chân răng, làm cho viền chân răng bị đen.
- Sâu răng: Sâu răng chính là lớp men răng bị vi khuẩn tấn công, phá hủy khiến men răng bị bào mòn, hư hỏng, dẫn đến chân răng có xuất hiện các vùng xám đen. Sâu răng cũng là một trong những loại bệnh nguy hiểm nhất đối với sức khỏe răng miệng của chúng ta.
- Mão răng quá cũ: Mão răng (các loại răng giả như răng sứ/ kim loại) quá cũ cũng là tác nhân khiến cho viền chân răng bị đen. Khi lớp kim loại bên trong mỏng dần do bị oxy hóa theo môi trường của khoang miệng hoặc do khoáng chất trong thức ăn thì cũng là lúc các viền đen của kim loại bị lộ ra, dẫn đến viền chân răng bị đen.
- Bệnh viêm nướu: Viêm nướu (hay còn gọi là bệnh nha chu) là bệnh có thể xảy ra với tất cả mọi người, tuy nhiên thường gặp ở người trưởng thành. Viêm nướu gây sưng đỏ, chảy máu nướu răng, nếu không điều trị sẽ dẫn đến bệnh tụt lợi, thậm chí là mất răng. Đây cũng là một trong những nguyên nhân khiến viền chân răng bị đen vì nướu bị ăn mòn dần và để lộ phần chân răng.

Nguyên nhân dẫn đến viền chân răng bị đen
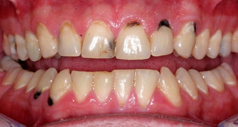
2. Cách khắc phục viền chân răng bị đen?
- Khám nha khoa định kỳ: Khi nhận thấy chân răng của mình bị đen, bạn nên đến phòng khám nha khoa càng sớm càng tốt. Bởi tình trạng sức khỏe răng miệng này không chỉ gây mất thẩm mỹ mà còn là dấu hiệu cảnh báo nhiều vấn đề khác nhau.
- Cao răng: Nếu để tình trạng này kéo dài sẽ làm tăng nguy cơ hôi miệng, ê buốt, sâu răng. Cao răng khiến cho các triệu chứng bệnh ở người bị tiểu đường và tim mạch diễn tiến nặng hơn. Có nhiều cách để lấy cao răng, bạn có thể lấy cao răng tại nhà bằng những nguyên liệu quen thuộc hoặc đi đến các phòng khám nha khoa uy tín để được hỗ trợ.
- Sâu răng: Nếu nha sĩ xác định viền chân răng của bạn bị đen là do răng bị sâu, bạn cần phải điều trị sâu răng càng sớm càng tốt. Tùy vào mức độ răng bị sâu nặng hay nhẹ sẽ có cách điều trị phù hợp như: Điều trị bằng florua, trám răng, làm mão răng, lấy tủy răng, thậm chí là nhổ răng và trồng răng giả thay thế.
- Mão răng đã quá cũ: Cách giải quyết tốt nhất cho trường hợp này là tháo bỏ mão răng cũ thay mão răng mới bằng lõi titan hoặc răng sứ mới với cấu tạo hoàn toàn bằng sứ.
- Bệnh nướu và nha chu: Khi mắc phải bệnh này, thân răng sẽ dài hơn vì nướu đang có xu hướng tụt ra và nếu không chữa trị kịp thời thì sẽ dẫn đến bệnh tụt nướu (teo rút nướu). Từ đó, người mắc bệnh sẽ gặp phải tình trạng chân răng có viền đen sẫm màu. Tùy vào mức độ nặng nhẹ của bệnh viêm nha chu mà nha sĩ sẽ đưa ra những cách điều trị phù hợp.

Cách khắc phục viền chân răng bị đen
3. Cách chăm sóc sức răng miệng sau khi khắc phục được tình trạng viền chân răng đen
Dừng ngay thói quen sử dụng tăm xỉa răng, thay vào đó hãy sử dụng chỉ nha khoa hoặc tăm nước để lấy những mảnh vụn thức ăn, nhằm hạn chế nguy cơ hình thành cao răng và tổn thương men răng.
Khám nha khoa sĩ định kỳ 6 tháng/lần để kịp thời phát hiện, ngăn chặn và chữa trị các vấn đề về răng miệng.
Đánh răng ít nhất 2 ngày/lần. Số lần này sẽ tăng lên nếu bạn thường xuyên ăn vặt. Sử dụng bàn chải mềm và thay mới sau 3-4 tháng sử dụng. Thêm vào đó, thói quen sử dụng nước súc miệng sẽ giúp loại bỏ những mảng bám giữa các kẽ răng.
Hạn chế tiêu thụ thực phẩm với lượng đường cao, thức uống có tính axit… để giảm thiểu nguy cơ men răng bị ăn mòn giúp răng luôn khỏe mạnh.

Cách chăm sóc sức răng miệng sau khi khắc phục được tình trạng viền chân răng đen
Trên đây là bài viết về triệu chứng viền chân răng bị đen. Khi gặp phải tình trạng này, bạn nên đến phòng khám nha khoa gần nhất để được chẩn đoán và đưa ra cách điều trị phù hợp nhất nhé!
Thủy Phan
(Nguồn: Tổng Hợp)