Tốt nghiệp loại giỏi trường Đại học Y Dược Huế. Từng tham gia nghiên cứu khoa học đề tài về Dược liệu. Nhiều năm kinh nghiệm làm việc trong lĩnh vực Dược phẩm. Hiện đang là giảng viên cho Dược sĩ tại Nhà thuốc Long Châu.
21/06/2023
Mặc định
Lớn hơn
Áp xe ngoài màng cứng là sự tích tụ mủ giữa màng cứng và hộp sọ. Các triệu chứng của áp xe ngoài màng cứng bao gồm sốt, đau đầu, nôn, mệt mỏi, thiếu sót thần kinh khu trú, động kinh và/hoặc hôn mê.
Áp xe ngoài màng cứng là một tập hợp mủ và vi khuẩn giữa các lớp ngoài của não, tủy sống và các xương của hộp sọ hoặc cột sống. Áp xe có thể khiến khu vực này sưng lên. Vậy nguyên nhân gây áp xe ngoài màng cứng là gì, hãy cùng Nhà Thuốc Long Châu tìm lời giải đáp trong bài viết dưới đây nhé!
Áp xe là một tổ chức viêm nhiễm, khu trú thành một khối. Đặc điểm nhận dạng lâm sàng của ổ áp xe là một khối mềm, lỏng lẻo, da vùng bị áp xe đỏ, nóng, sưng tấy và mềm. Ngoài ra, tùy theo vị trí của ổ áp xe mà có các triệu chứng kèm theo khác.
Áp xe có thể hình thành ở bất cứ đâu trên cơ thể và chia thành hai loại chính:
Dạng phổ biến nhất là nhọt, hậu bối. Thường gặp ở những vị trí như:
Áp xe cũng có thể xảy ra bên trong cơ thể, ở các cơ quan như áp xe gan, áp xe não, áp xe thận, áp xe vú,… hoặc ở các khoang giữa chúng.

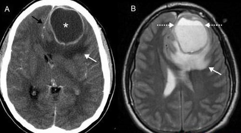
Áp xe ngoài màng cứng là một bệnh hiếm gặp do nhiễm trùng ở vùng giữa xương sọ hoặc cột sống và màng (màng não) bao phủ não và tủy sống. Nếu nhiễm trùng này nằm trong khu vực của hộp sọ, nó được gọi là áp xe ngoài màng cứng nội sọ. Nếu nó được tìm thấy ở khu vực cột sống, nó được gọi là áp xe ngoài màng cứng tủy sống. Phần lớn nằm ở cột sống.
Nhiễm trùng cột sống thường do vi khuẩn gây ra, nhưng chúng cũng có thể do nấm. Điều này có thể là do một bệnh nhiễm trùng khác trong cơ thể (đặc biệt là nhiễm trùng đường tiết niệu) hoặc vi khuẩn lây truyền qua đường máu. Tuy nhiên, ở một số người, nguyên nhân gây áp xe ngoài màng cứng vẫn chưa được xác định.
Áp xe trong hộp sọ được gọi là áp xe ngoài màng cứng nội sọ. Có thể do một số nguyên nhân dưới đây gây ra:
Ap xe ngoài màng cứng cột sống nó có thể xuất hiện ở những người có bất kỳ tình trạng nào sau đây:

Áp xe ngoài màng cứng cột sống có thể gây ra các triệu chứng sau:
Áp xe ngoài màng cứng trong sọ có thể gây ra các triệu chứng sau:
Các triệu chứng thần kinh phụ thuộc vào vị trí của áp xe và có thể bao gồm:
Khi đến các cơ sở y tế, bạn sẽ được các bác sĩ chỉ định thực hiện khám sức khỏe để tìm kiếm tình trạng mất chức năng, chẳng hạn như cử động hoặc cảm giác. Cụ thể:
Chữa khỏi nhiễm trùng và giảm nguy cơ tổn thương vĩnh viễn là mục tiêu của điều trị áp xe ngoài màng cứng. Các phương pháp điều trị thường được sử dụng là thuốc kháng sinh và phẫu thuật. Trong một số trường hợp, thuốc kháng sinh được sử dụng một mình..
Việc chẩn đoán và điều trị sớm giúp bệnh nhanh chóng cải thiện. Một khi yếu, tê liệt hoặc thay đổi cảm giác xảy ra, cơ hội lấy lại chức năng đã mất sẽ giảm đáng kể. Tổn thương thần kinh vĩnh viễn hoặc tử vong có thể xảy ra.

Các biến chứng có thể bao gồm:
Trên đây là những giải đáp của Nhà Thuốc Long Châu về bệnh áp xe ngoài màng cứng. Hy vọng qua bài viết, bạn đọc thể hiểu thêm về căn bệnh này.
Nguyễn Nhung
Nguồn tham khảo: Tổng hợp
Dược sĩ Đại họcNgô Kim Thúy
Tốt nghiệp loại giỏi trường Đại học Y Dược Huế. Từng tham gia nghiên cứu khoa học đề tài về Dược liệu. Nhiều năm kinh nghiệm làm việc trong lĩnh vực Dược phẩm. Hiện đang là giảng viên cho Dược sĩ tại Nhà thuốc Long Châu.