Từng làm ở Viện ISDS, nhiều năm cộng tác với CDC Thái Nguyên triển khai dự án phòng chống HIV/AIDS, 2 năm cộng tác với WHO.
Kim Toàn
17/09/2024
Mặc định
Lớn hơn
Trong quá trình mang thai, siêu âm đóng vai trò quan trọng giúp theo dõi sức khỏe thai nhi và hỗ trợ bác sĩ đưa ra các chẩn đoán, đánh giá cần thiết. Một trong những chỉ số quan trọng được bác sĩ sử dụng để đánh giá thai nhi là BPD. Vậy chỉ số đo đường kính lưỡng đỉnh - BPD trong siêu âm thai là gì? Theo dõi bài viết dưới đây để có câu trả lời nhé!
Trong hành trình mang thai kỳ diệu, theo dõi sức khỏe thai nhi là niềm quan tâm hàng đầu của mỗi người mẹ. Siêu âm thai đóng vai trò quan trọng trong việc chẩn đoán và theo dõi sự phát triển của thai nhi, và một trong những chỉ số quan trọng thu được từ siêu âm là BPD. Vậy hãy cùng Nhà thuốc Long Châu tìm hiểu xem chỉ số BPD trong siêu âm thai là gì trong bài viết dưới đây nhé!
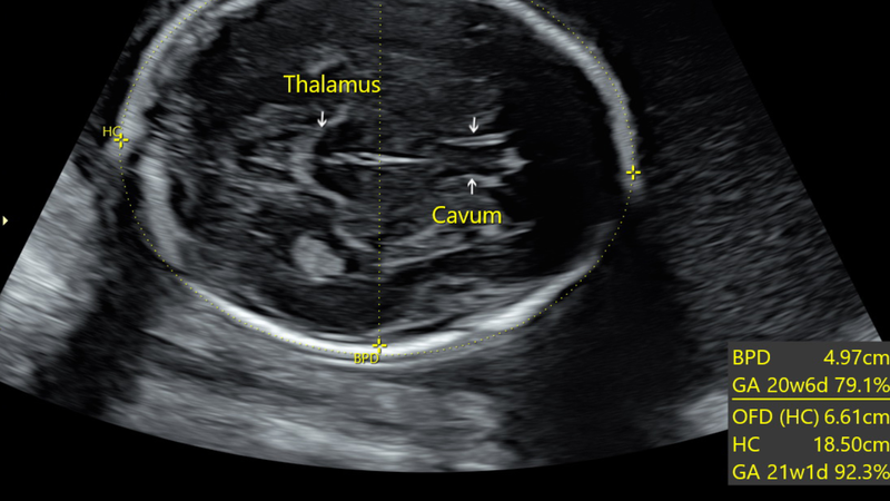
Chỉ số BPD trong siêu âm thai là gì, đây là vấn đề được nhiều mẹ bầu quan tâm. Trong thai kỳ, siêu âm là phương pháp quan trọng giúp theo dõi sức khỏe thai nhi và hỗ trợ bác sĩ đưa ra chẩn đoán, đánh giá thai phát triển. Một trong những chỉ số quan trọng được sử dụng để đánh giá kích thước đầu thai nhi là BPD (Biparietal Diameter) - đường kính lưỡng đỉnh.
BPD được đo từ mặt cắt lớn nhất của trán ra sau gáy hộp sọ thai nhi, giống như đường kính đầu của bé. Nhiều người thường nhầm lẫn BPD với HC (Head Circumference) - chu vi đầu, tuy nhiên hai chỉ số này hoàn toàn khác nhau. BPD chỉ đo đường kính, trong khi HC đo chu vi vòng đầu thai nhi.

Như vậy chúng ta đã tìm hiểu về chỉ số BPD trong siêu âm thai là gì. Vậy chỉ số này có ý nghĩa gì, hãy cùng Nhà thuốc Long Châu tìm hiểu ngay sau đây.
BPD (Biparietal Diameter) - đường kính lưỡng đỉnh là một trong những chỉ số quan trọng được sử dụng trong siêu âm thai, mang đến nhiều thông tin hữu ích về sự phát triển của thai nhi. Dưới đây là một số ứng dụng phổ biến nhất của chỉ số BPD:
Chỉ số BPD (Biparietal Diameter) - đường kính lưỡng đỉnh là một thước đo quan trọng trong việc theo dõi sự phát triển của thai nhi, đặc biệt là sự phát triển của não bộ. Việc đo BPD được thực hiện bằng phương pháp siêu âm, thường bắt đầu từ tuần thứ 13 của thai kỳ.
Các nghiên cứu đã chỉ ra rằng, độ chính xác của phép đo BPD cao nhất trong khoảng tuần 13 đến 20 thai kỳ. Sau giai đoạn này, do đầu thai nhi phát triển nhanh và thay đổi hình dạng, độ chính xác của phép đo có thể giảm đi.

Chỉ số BPD (Biparietal Diameter) - đường kính lưỡng đỉnh là một thước đo quan trọng trong việc theo dõi sự phát triển của thai nhi, đặc biệt là sự phát triển của não bộ. Tuy nhiên, trong một số trường hợp, chỉ số BPD có thể cho thấy những dấu hiệu bất thường, đòi hỏi sự theo dõi và đánh giá cẩn thận từ phía bác sĩ.
Dấu hiệu bất thường của BPD:

Lưu ý: Chẩn đoán không thể chỉ dựa trên chỉ số BPD trong siêu âm thai. Bác sĩ cần xem xét tổng hợp các dữ liệu khác như chiều dài xương đùi, chu vi vòng đầu,... để đánh giá tình trạng hệ thống não bộ của thai nhi một cách chính xác. Các xét nghiệm chuyên sâu như siêu âm Doppler màu, chọc ối,... có thể được thực hiện để chẩn đoán chính xác nguyên nhân và đưa ra phương pháp điều trị phù hợp.
Chỉ số BPD (đường kính lưỡng đỉnh) đóng vai trò quan trọng trong việc theo dõi sự phát triển của thai nhi, đặc biệt là sự phát triển của não bộ. Để đảm bảo chỉ số BPD nằm trong phạm vi bình thường, mẹ bầu cần chú trọng thực hiện các biện pháp sau:

Hy vọng qua bài viết trên đã giúp bạn đọc hiểu hơn về chỉ số BPD trong siêu âm thai là gì. Chỉ số BPD (Biparietal Diameter) - đường kính lưỡng đỉnh là một thước đo quan trọng trong việc theo dõi sự phát triển của thai nhi, đặc biệt là sự phát triển của não bộ. Việc theo dõi BPD qua các lần siêu âm cùng với các chỉ số thai nhi khác giúp bác sĩ đánh giá tổng thể sự phát triển của bé, phát hiện sớm các vấn đề bất thường và đưa ra phương pháp điều trị phù hợp.
Xem thêm:
Dược sĩ Đại học Nguyễn Tuấn Trịnh
Từng làm ở Viện ISDS, nhiều năm cộng tác với CDC Thái Nguyên triển khai dự án phòng chống HIV/AIDS, 2 năm cộng tác với WHO.